ISO 9001:2015 Certified
Live Customer Support
4.5/5 on Trustpilot
100% Quality Guarantee

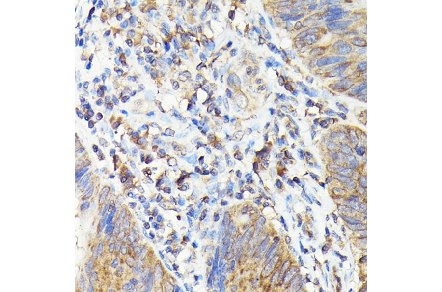
Anti-TAP2 Antibody (A13547)

Rabbit polyclonal antibody to TAP2 for WB, IHC and ICC/IF.

Shipping Information

$40
Dispatched from St. Louis, MO.
Lead Time: 7-10 business days.
Name
Anti-TAP2 Antibody
Description
Rabbit polyclonal antibody to TAP2.
Applications
WB, IHC, ICC/IF
Dilutions
WB: 1:100-1:500, IHC: 1:50-1:200, ICC/IF: 1:50-1:200
Reactivity
Human, Mouse, Rat
Immunogen
Recombinant fusion protein containing a sequence corresponding to amino acids 450-686 of human TAP2 (NP_001276972.1).
Sequence
QPNLPSPGTLAPTTLQGVVKFQDVSFAYPNRPDRPVLKGLTFTLRPGEVTALVGPNGSGKSTVAALLQNLYQPTGGQVLLDEKPISQYEHCYLHSQVVSVGQEPVLFSGSVRNNIAYGLQSCEDDKVMAAAQAAHADDFIQEMEHGIYTDVGEKGSQLAAGQKQRLAIARALVRDPRVLILDEATSALDVQCEQALQDWNSRGDRTVLVIAHRLQTVQRAHQILVLQEGKLQKLAQL
Host
Rabbit
Clonality
Polyclonal
Isotype
IgG
Conjugate

Unconjugated

Purification
Affinity purification.
Concentration
Lot Specific
Molecular Weight
75 kDa
Product Form
Liquid
Formulation
Supplied in Phosphate Buffered Saline, pH 7.3, with 50% Glycerol and 0.05% Proclin 300.
Storage
Shipped at 4°C. Upon delivery aliquot and store at -20°C. Avoid freeze/thaw cycles.
Synonyms
ABCB3, Antigen peptide transporter 2, APT2, ATP-binding cassette sub-family B member 3, Peptide supply factor 2, Peptide transporter involved in antigen processing 2, Peptide transporter PSF2, Peptide transporter TAP2, PSF-2, PSF2, Really interesting new gene 11 protein, RING11, Y1
Disclaimer
This product is for research use only. It is not intended for diagnostic or therapeutic use.
Publishing research using Anti-TAP2 Antibody (A13547)? Please let us know so that we can list the citation on this page.

Alternative products to Anti-TAP2 Antibody (A13547)

Proteins predicted to interact with TAP2

Predicted protein interactions based upon String database. Revelancy score correlates with probability of interaction.
99.9% Relevancy Score
98.9% Relevancy Score
96.3% Relevancy Score
94.8% Relevancy Score
92.7% Relevancy Score
92.4% Relevancy Score
91.7% Relevancy Score
77.6% Relevancy Score