ISO 9001:2015 Certified
Live Customer Support
4.5/5 on Trustpilot
100% Quality Guarantee

Anti-TATA Binding Protein Antibody (A82569)

Goat polyclonal antibody to TATA Binding Protein for ELISA and WB.

Shipping Information

$40
Dispatched from St. Louis, MO.
Lead Time: 7-10 business days.
Name
Anti-TATA Binding Protein Antibody
Description
Goat polyclonal antibody to TATA Binding Protein.
Applications
ELISA, WB
Dilutions
ELISA: 1:64,000, WB: 0.3-1µg/ml
Reactivity
Human
Immunogen
Synthetic peptide corresponding to the N terminal region of human TATA Binding Protein (Isoform 1).
Sequence
DQNNSLPPYAQ-C
Host
Goat
Clonality
Polyclonal
Isotype
IgG
Conjugate

Unconjugated

Purification
Purified from goat serum by ammonium sulphate precipitation followed by antigen affinity chromatography using the immunizing peptide.
Concentration
500 µg/ml
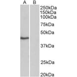
Molecular Weight
40 kDa
Predicted MW
37.7kDa
Product Form
Liquid
Formulation
Supplied in Tris Buffered Saline, pH 7.3, with 0.5% BSA and 0.02% Sodium Azide.
Storage
Shipped at 4°C. Upon delivery aliquot and store at -20°C. Avoid freeze/thaw cycles.
Isotype Controls
Disclaimer
This product is for research use only. It is not intended for diagnostic or therapeutic use.
Publishing research using Anti-TATA Binding Protein Antibody (A82569)? Please let us know so that we can list the citation on this page.