Western blot analysis of extracts of Mouse lung, using Anti-TAZ Antibody (A16113) at 1:500 dilution. The secondary antibody was Goat Anti-Rabbit IgG H&L Antibody (HRP) at 1:10,000 dilution. Lysates/proteins were present at 25µg per lane. The blocking buffer used was 3% non-fat dry milk in TBST. Detection was with a ECL Basic Kit. Exposure time: 30s.
Western blot analysis of extracts of Rat lung, using Anti-TAZ Antibody (A16113) at 1:1,000 dilution. The secondary antibody was Goat Anti-Rabbit IgG H&L Antibody (HRP) at 1:10,000 dilution. Lysates/proteins were present at 25µg per lane. The blocking buffer used was 3% non-fat dry milk in TBST. Detection was with a ECL Basic Kit. Exposure time: 180s.
Immunohistochemistry analysis of paraffin-embedded human placenta using Anti-TAZ Antibody (A16113) at a dilution of 1:50 (40x lens). Perform high pressure antigen retrieval with 10 mM citrate buffer pH 6.0 before commencing with IHC staining protocol.
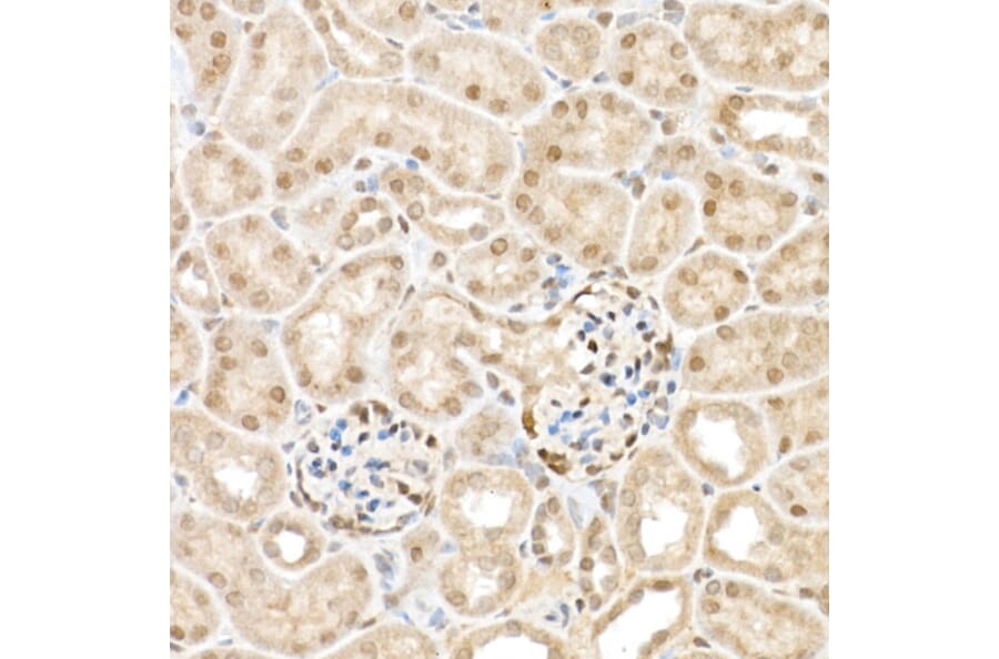
Immunohistochemistry analysis of paraffin-embedded mouse kidney using Anti-TAZ Antibody (A16113) at a dilution of 1:50 (40x lens). Perform high pressure antigen retrieval with 10 mM citrate buffer pH 6.0 before commencing with IHC staining protocol.
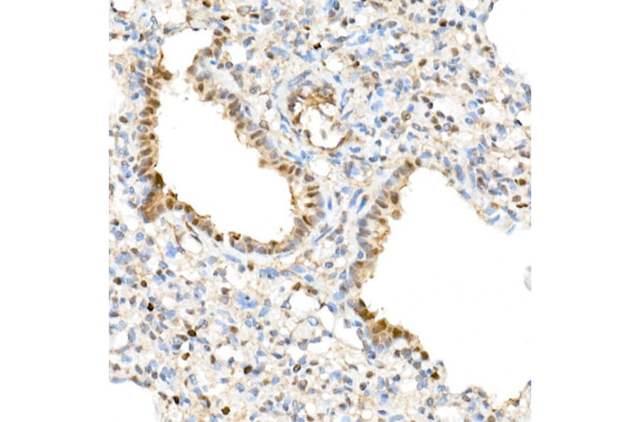
Immunohistochemistry analysis of paraffin-embedded rat lung using Anti-TAZ Antibody (A16113) at a dilution of 1:50 (40x lens). Perform high pressure antigen retrieval with 10 mM citrate buffer pH 6.0 before commencing with IHC staining protocol.
Immunohistochemistry analysis of paraffin-embedded rat ovary using Anti-TAZ Antibody (A16113) at a dilution of 1:50 (40x lens). Perform high pressure antigen retrieval with 10 mM citrate buffer pH 6.0 before commencing with IHC staining protocol.
Confocal immunofluorescence analysis of U-2 OS cells using Anti-TAZ Antibody (A16113) at a dilution of 1:100 (60x lens). DAPI was used to stain the cell nuclei (blue).
Immunofluorescence analysis of A-549 cells using Anti-TAZ Antibody (A16113) at a dilution of 1:100 (40x lens). DAPI was used to stain the cell nuclei (blue).