Western Blot - Anti-TBX15 + TBX18 Antibody (A94857)
Western blot analysis of lysates from HUVEC, HeLa, and Jurkat cells using Anti-TBX15 + TBX18 Antibody. The right hand lane represents a negative control, where the antibody is blocked by the immunising peptide.
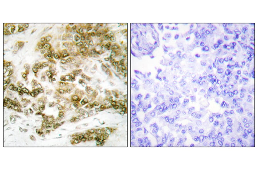
Immunohistochemical analysis of paraffin-embedded human breast carcinoma tissue using Anti-TBX15 + TBX18 Antibody. The right hand panel represents a negative control, where the antibody was pre-incubated with the immunising peptide.
Immunofluorescence analysis of HeLa cells using Anti-TBX15 + TBX18 Antibody. The right hand panel represents a negative control, where the antibody was pre-incubated with the immunising peptide.