Primary Antibodies
Secondary Antibodies
Proteins & Peptides
ELISA Kits
About Us
Contact Us
Sign In/Register
0
ISO 9001:2015 Certified
Live Customer Support
4.5/5 on Trustpilot
100% Quality Guarantee
Home
Primary Antibodies
TBX2 Antibodies
Anti-TBX2 Antibody (A46835)
Anti-TBX2 Antibody (A46835)
Overview
Specifications
Images
Enlarge Image
Enlarge Image
$430
Product Datasheet
Rabbit polyclonal antibody to TBX2 for IHC.
100% Guarantee
Price Match Guarantee
Product Size:
100µl
Quantity:
1
2
3
4
5
6
7
8
9
10
Add To Cart
Request a Quotation
Custom or Bulk Request
Shipping Information
Freight/Packing Charges:
$40
Dispatched from St. Louis, MO.
Lead Time: 6-9 business days.
Specifications
Name
Anti-TBX2 Antibody
Description
Rabbit polyclonal antibody to TBX2
Specificity
The antibody detects endogenous levels of total TBX2 protein.
Applications
IHC
Reactivity
Human, Mouse
Immunogen
Synthetic peptide corresponding to residues near the C terminal of human T-box 2
Host
Rabbit
Clonality
Polyclonal
Conjugate
Unconjugated
Purification
Antigen affinity purification.
Concentration
1.6 mg/mL
Formulation
Supplied in PBS, pH 7.3, containing 0.05% sodium azide and 50% glycerol.
Storage
Shipped at 4°C. Upon delivery aliquot and store at -20°C. Avoid freeze/thaw cycles.
Synonyms
T-box protein 2, T-box transcription factor TBX2
Suitable Secondaries
Goat Anti-Rabbit IgG H&L Antibody (AP) (A294874)
Goat Anti-Rabbit IgG H&L Antibody (Biotin) (A294795)
Goat Anti-Rabbit IgG H&L Antibody (FITC) (A294887)
Goat Anti-Rabbit IgG H&L Antibody (HRP) (A294888)
See all Anti-Rabbit IgG Secondaries →
Disclaimer
This product is for research use only. It is not intended for diagnostic or therapeutic use.
Scientific Validation Data
Validation Data
(2)
Enlarge Image
Immunohistochemistry - Anti-TBX2 Antibody (A46835)
Immunohistochemical analysis of paraffin-embedded Human brain tissue using #36873 at dilution 1/32.
Enlarge Image
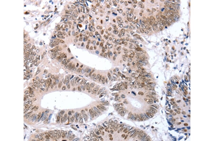
Immunohistochemistry - Anti-TBX2 Antibody (A46835)
Immunohistochemical analysis of paraffin-embedded Human colon cancer tissue using #36873 at dilution 1/32.
Publishing research using Anti-TBX2 Antibody (A46835)? Please
let us know
so that we can list the citation on this page.
Alternative products to Anti-TBX2 Antibody (A46835)
(2)
A99348
Anti-TBX2 Antibody
Rabbit polyclonal antibody to TBX2 for WB, IHC, IF and ELISA.
A26018
Anti-TBX2 (N280) Antibody
Rabbit polyclonal antibody to TBX2 (N280) for WB and IHC.
A8561
Anti-Tbx2 Antibody
Rabbit polyclonal antibody to Tbx2 for WB.
A115659
Anti-Tbx2 Antibody [4D6]
Mouse monoclonal [4D6] antbody to Tbx2 for IP and WB.
(2)
A99348
Anti-TBX2 Antibody
Rabbit polyclonal antibody to TBX2 for WB, IHC, IF and ELISA.
A26018
Anti-TBX2 (N280) Antibody
Rabbit polyclonal antibody to TBX2 (N280) for WB and IHC.
A8561
Anti-Tbx2 Antibody
Rabbit polyclonal antibody to Tbx2 for WB.
A115659
Anti-Tbx2 Antibody [4D6]
Mouse monoclonal [4D6] antbody to Tbx2 for IP and WB.
Proteins predicted to interact with TBX2
Predicted protein interactions based upon String database. Revelancy score correlates with probability of interaction.
NKX2.5 Antibodies
84.2% Relevancy Score
HAND2 Antibodies
75.8% Relevancy Score
Islet 1 Antibodies
72.1% Relevancy Score
GJA5 Antibodies
72.1% Relevancy Score
ANP Antibodies
71.3% Relevancy Score
MSX2 Antibodies
65% Relevancy Score
BCAS3 Antibodies
63.8% Relevancy Score
PHOX2B Antibodies
63.5% Relevancy Score
BMP2 Antibodies
62.6% Relevancy Score
Top