Primary Antibodies
Secondary Antibodies
Proteins & Peptides
ELISA Kits
About Us
Contact Us
Sign In/Register
0
ISO 9001:2015 Certified
Live Customer Support
4.5/5 on Trustpilot
100% Quality Guarantee
Home
Primary Antibodies
TBX22 Antibodies
Anti-TBX22 Antibody (A45895)
Anti-TBX22 Antibody (A45895)
Overview
Specifications
Images
Enlarge Image
$430
Product Datasheet
Rabbit polyclonal antibody to TBX22 for IHC.
100% Guarantee
Price Match Guarantee
Product Size:
100µl
Quantity:
1
2
3
4
5
6
7
8
9
10
Add To Cart
Request a Quotation
Custom or Bulk Request
Shipping Information
Freight/Packing Charges:
$40
Dispatched from St. Louis, MO.
Lead Time: 6-9 business days.
Specifications
Name
Anti-TBX22 Antibody
Description
Rabbit polyclonal antibody to TBX22
Specificity
The antibody detects endogenous levels of total TBX22 protein.
Applications
IHC
Reactivity
Human
Immunogen
Fusion protein corresponding to residues near the C terminal of human T-box 22
Host
Rabbit
Clonality
Polyclonal
Conjugate
Unconjugated
Purification
Antigen affinity purification.
Concentration
0.4 mg/mL
Formulation
Supplied in PBS, pH 7.3, containing 0.05% sodium azide and 50% glycerol.
Storage
Shipped at 4°C. Upon delivery aliquot and store at -20°C. Avoid freeze/thaw cycles.
Synonyms
T-box protein 22, T-box transcription factor TBX22, TBOX22
Suitable Secondaries
Goat Anti-Rabbit IgG H&L Antibody (AP) (A294874)
Goat Anti-Rabbit IgG H&L Antibody (Biotin) (A294795)
Goat Anti-Rabbit IgG H&L Antibody (FITC) (A294887)
Goat Anti-Rabbit IgG H&L Antibody (HRP) (A294888)
See all Anti-Rabbit IgG Secondaries →
Disclaimer
This product is for research use only. It is not intended for diagnostic or therapeutic use.
Scientific Validation Data
Validation Data
(1)
Enlarge Image
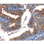
Immunohistochemistry - Anti-TBX22 Antibody (A45895)
Immunohistochemical analysis of paraffin-embedded Human cervical cancer tissue using #35741 at dilution 1/15.
Publishing research using Anti-TBX22 Antibody (A45895)? Please
let us know
so that we can list the citation on this page.
Alternative products to Anti-TBX22 Antibody (A45895)
A100746
Anti-TBX22 Antibody
Rabbit polyclonal antibody to TBX22 for WB, IHC, IF and ELISA.
A26082
Anti-TBX22 (A30) Antibody
Rabbit polyclonal antibody to TBX22 (A30) for WB and IHC.
A42180
Anti-TBX22 Antibody
Rabbit polyclonal antibody to TBX22 for WB.
A100746
Anti-TBX22 Antibody
Rabbit polyclonal antibody to TBX22 for WB, IHC, IF and ELISA.
A26082
Anti-TBX22 (A30) Antibody
Rabbit polyclonal antibody to TBX22 (A30) for WB and IHC.
A42180
Anti-TBX22 Antibody
Rabbit polyclonal antibody to TBX22 for WB.
Proteins predicted to interact with TBX22
Predicted protein interactions based upon String database. Revelancy score correlates with probability of interaction.
CLPP Antibodies
99.4% Relevancy Score
CLPX Antibodies
96.1% Relevancy Score
CLPS Antibodies
94% Relevancy Score
CLPB Antibodies
86.8% Relevancy Score
SP100 Antibodies
66.8% Relevancy Score
MSX1 Antibodies
64.1% Relevancy Score
IRF6 Antibodies
62% Relevancy Score
BARX1 Antibodies
61.9% Relevancy Score
SUMO1 Antibodies
60% Relevancy Score
Top