ISO 9001:2015 Certified
Live Customer Support
4.5/5 on Trustpilot
100% Quality Guarantee

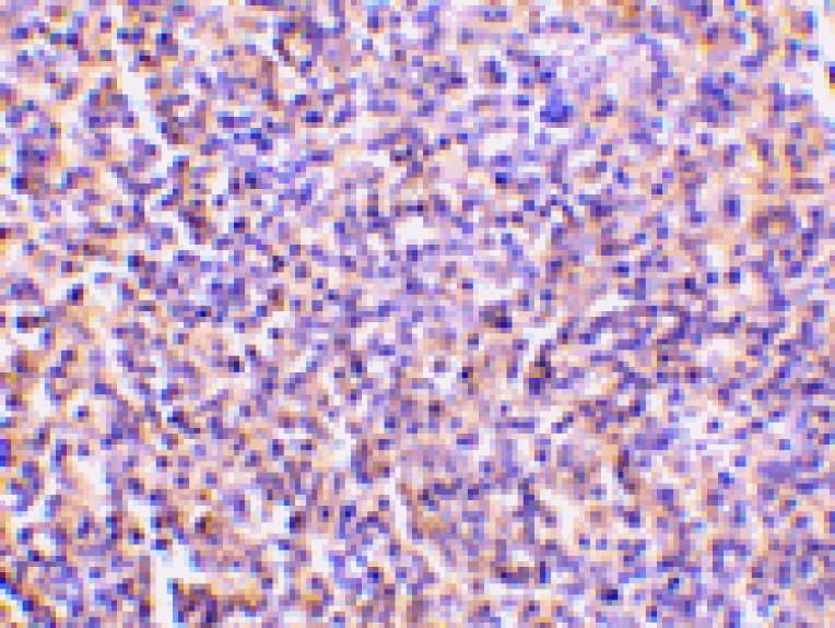
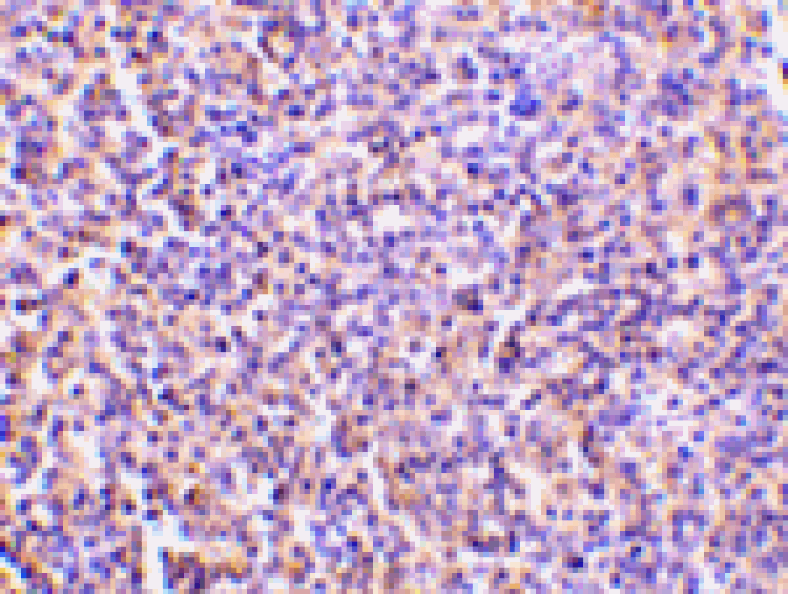
Anti-TCCR Antibody (A48305)

$780

Rabbit polyclonal antibody to TCCR for E, WB and IHC.

Shipping Information

$40
Dispatched from St. Louis, MO.
Lead Time: 6-9 business days.
Name
Anti-TCCR Antibody
Description
Rabbit polyclonal antibody to TCCR
Applications
E, WB, IHC
Reactivity
Human
Immunogen
Raised against a synthetic peptide corresponding to amino acids near the carboxy terminus of human TCCR precursor. This sequence is identical to that of mouse TCCR.
Host
Rabbit
Clonality
Polyclonal
Conjugate

Unconjugated

Purification
Affinity chromatography purified via peptide column
Formulation
Supplied in PBS containing 0.02% sodium azide.
Storage
Can be stored at -20˚C, stable for one year. As with all antibodies care should be taken to avoid repeated freeze thaw cycles. Antibodies should not be exposed to prolonged high temperatures.
Synonyms
CRL1, Cytokine receptor WSX-1, Cytokine receptor-like 1, IL-27 receptor subunit alpha, IL-27R subunit alpha, IL-27R-alpha, IL-27RA, IL27RA, Interleukin-27 receptor subunit alpha, Type I T-cell cytokine receptor, WSX1, ZcytoR1
Disclaimer
This product is for research use only. It is not intended for diagnostic or therapeutic use.
Publishing research using Anti-TCCR Antibody (A48305)? Please let us know so that we can list the citation on this page.

Alternative products to Anti-TCCR Antibody (A48305)

Proteins predicted to interact with WSX 1

Predicted protein interactions based upon String database. Revelancy score correlates with probability of interaction.
99.9% Relevancy Score
99.9% Relevancy Score
99.5% Relevancy Score
99.5% Relevancy Score
99% Relevancy Score
98.4% Relevancy Score
98.1% Relevancy Score
97.8% Relevancy Score
95.6% Relevancy Score