ISO 9001:2015 Certified
Live Customer Support
4.5/5 on Trustpilot
100% Quality Guarantee

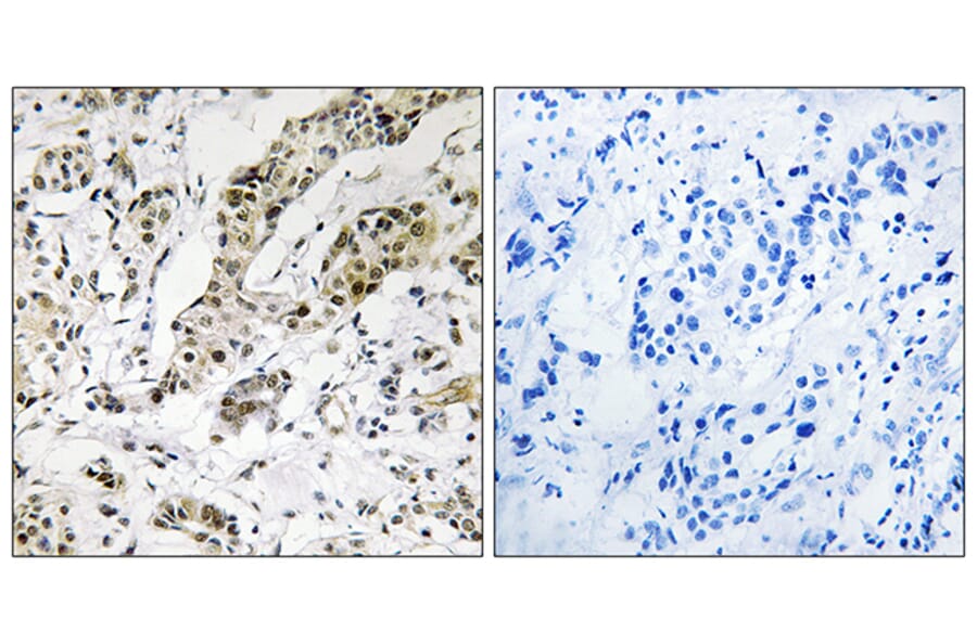
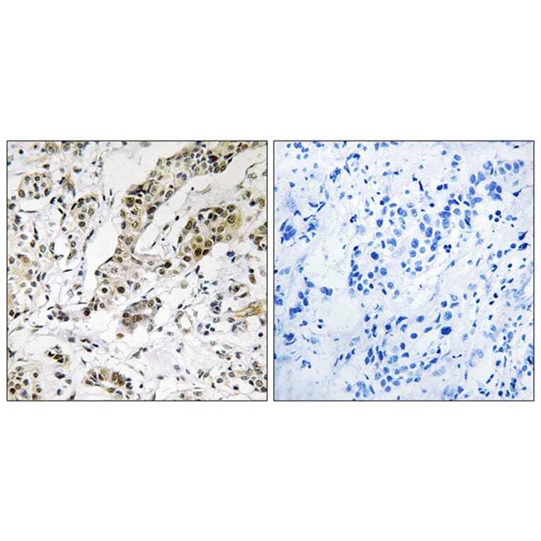
Anti-TCEAL3 + TCEAL5 + TCEAL6 Antibody (A95272)

Rabbit polyclonal antibody to TCEAL3 + TCEAL5 + TCEAL6 for IHC and ELISA.

Shipping Information

$40
Dispatched from St. Louis, MO.
Lead Time: 6-8 business days.
Name
Anti-TCEAL3 + TCEAL5 + TCEAL6 Antibody
Description
Rabbit polyclonal antibody to TCEAL3 + TCEAL5 + TCEAL6.
Applications
IHC, ELISA
Dilutions
WB: 1:500~1:1000, IHC: 1:50~1:100, ELISA: 1:10000
Reactivity
Human
Immunogen
Synthetic peptide derived from human TCEAL3 (amino acids 141-190).
Host
Rabbit
Clonality
Polyclonal
Isotype
IgG
Conjugate

Unconjugated

Purification
Purified from rabbit serum by antigen affinity chromatography using the immunizing phospho peptide.
Molecular Weight
22kDa
Product Form
Liquid
Formulation
Supplied in Phosphate Buffered Saline (without Mg2+ and Ca2+), pH 7.4, with 150mM NaCl, 0.02% Sodium Azide, and 50% Glycerol.
Storage
Shipped at 4°C. Upon delivery aliquot and store at -20°C. Avoid freeze / thaw cycles.
Disclaimer
This product is for research use only. It is not intended for diagnostic or therapeutic use.
Publishing research using Anti-TCEAL3 + TCEAL5 + TCEAL6 Antibody (A95272)? Please let us know so that we can list the citation on this page.