Western Blot - Anti-TCEB2/Elongin-B Antibody (A88455)
Western blot analysis of extracts of various cell lines, using Anti-TCEB2/Elongin-B Antibody (A88455) at 1:1,000 dilution. The secondary antibody was Goat Anti-Rabbit IgG H&L Antibody (HRP) at 1:10,000 dilution. Lysates/proteins were present at 25µg per lane. The blocking buffer used was 3% non-fat dry milk in TBST. Detection was with a ECL Basic Kit. Exposure time: 90s.
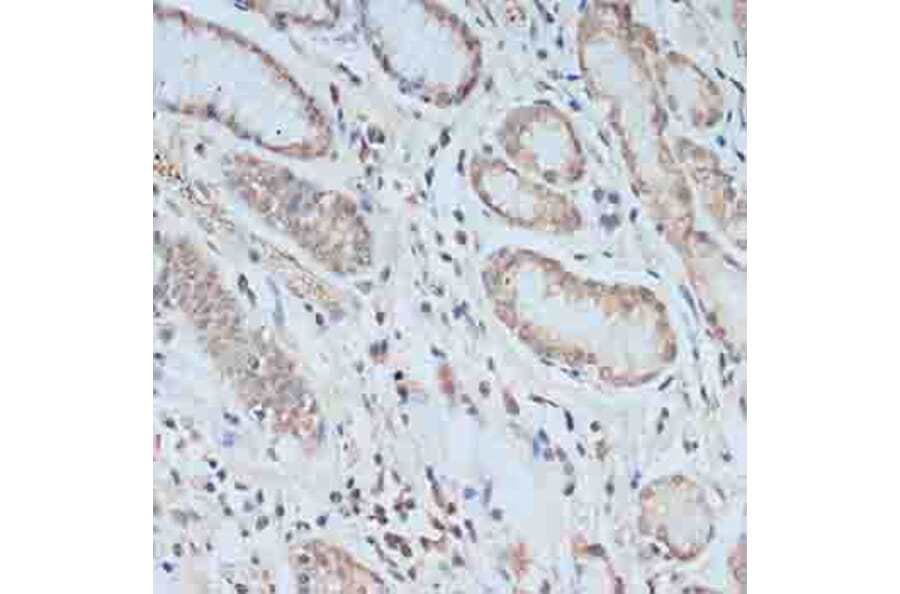
Immunohistochemistry analysis of paraffin-embedded human colon tissue using Anti-TCEB2/Elongin-B Antibody (A88455) at a dilution of 1:100 (40x lens). Perform microwave antigen retrieval with 10 mM PBS buffer pH 7.2 before commencing with IHC staining protocol.
Immunohistochemistry analysis of paraffin-embedded human esophagus using Anti-TCEB2/Elongin-B Antibody (A88455) at a dilution of 1:100 (40x lens). Perform microwave antigen retrieval with 10 mM PBS buffer pH 7.2 before commencing with IHC staining protocol.
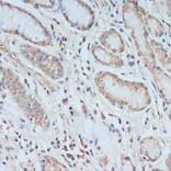
Immunohistochemistry analysis of paraffin-embedded human stomach using Anti-TCEB2/Elongin-B Antibody (A88455) at a dilution of 1:100 (40x lens). Perform microwave antigen retrieval with 10 mM PBS buffer pH 7.2 before commencing with IHC staining protocol.
Western Blot - Anti-TCEB2/Elongin-B Antibody (A88455)
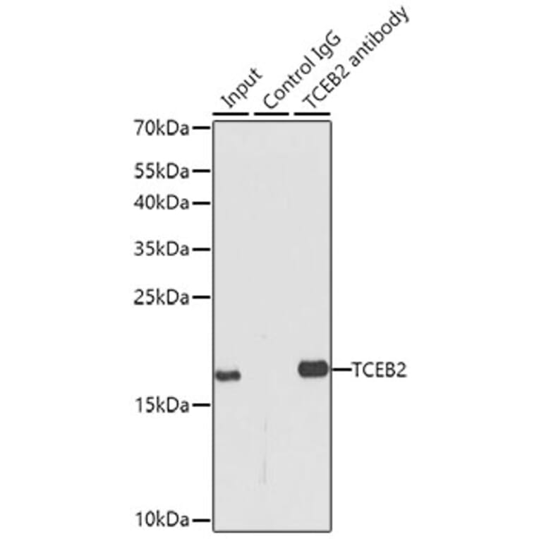
Immunoprecipitation analysis of 150µg extracts of MCF7 cells using 3µg of Anti-TCEB2/Elongin-B Antibody (A88455). This Western blot was performed on the immunoprecipitate using Anti-TCEB2/Elongin-B Antibody (A88455) at a dilution of 1:500.