Primary Antibodies
Secondary Antibodies
Proteins & Peptides
ELISA Kits
About Us
Contact Us
Sign In/Register
0
ISO 9001:2015 Certified
Live Customer Support
4.5/5 on Trustpilot
100% Quality Guarantee
Home
Primary Antibodies
Anti-TCF3 Antibody (A48435)
Anti-TCF3 Antibody (A48435)
Overview
Specifications
Images
Enlarge Image
Enlarge Image
$780
Product Datasheet
Rabbit polyclonal antibody to TCF3 for ELISA, WB and IHC.
100% Guarantee
Price Match Guarantee
Product Size:
100µl
Quantity:
1
2
3
4
5
6
7
8
9
10
Add To Cart
Request a Quotation
Custom or Bulk Request
Shipping Information
Freight/Packing Charges:
$40
Dispatched from St. Louis, MO.
Lead Time: 6-9 business days.
Specifications
Name
Anti-TCF3 Antibody
Description
Rabbit polyclonal antibody to TCF3
Applications
ELISA
,
WB
,
IHC
Reactivity
Human, Mouse, Rat
Immunogen
Raised against a 17 amino acid peptide near the amino terminus of human TCF3.
Host
Rabbit
Clonality
Polyclonal
Conjugate
Unconjugated
Purification
Affinity chromatography purified via peptide column
Formulation
Supplied in phosphate-buffered saline with 0.02% Sodium Azide.
Storage
Shipped at 4°C. Upon delivery aliquot and store at -20°C. Avoid freeze/thaw cycles.
Suitable Secondaries
Goat Anti-Rabbit IgG H&L Antibody (AP) (A294874)
Goat Anti-Rabbit IgG H&L Antibody (Biotin) (A294795)
Goat Anti-Rabbit IgG H&L Antibody (FITC) (A294887)
Goat Anti-Rabbit IgG H&L Antibody (HRP) (A294888)
See all Anti-Rabbit IgG Secondaries →
Disclaimer
This product is for research use only. It is not intended for diagnostic or therapeutic use.
Scientific Validation Data
Validation Data
(2)
Enlarge Image
Anti-TCF3 Antibody (A48435)
Western blot analysis of TCF3 in Human brain tissue lysate with TCF3 antibody at 1 µg/mL in (A) the absence and (B) presence of peptide blocking.
Enlarge Image
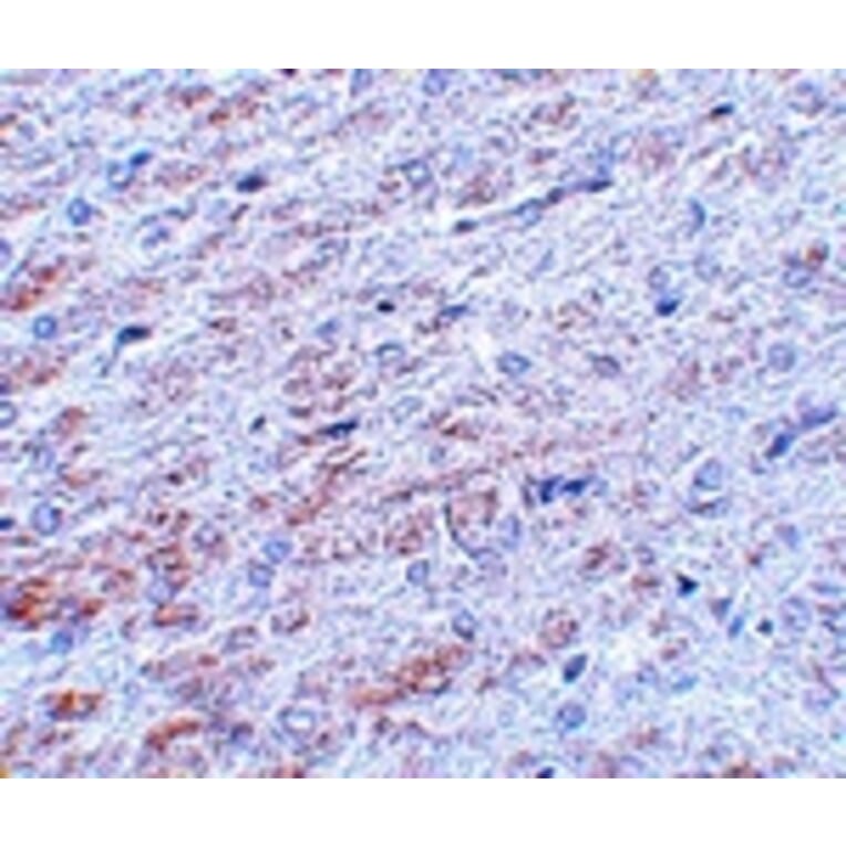
Immunohistochemistry - Anti-TCF3 Antibody (A48435)
Immunohistochemistry of TCF3 in rat liver tissue with TCF3 antibody at 5 µg/mL.
Publishing research using Anti-TCF3 Antibody (A48435)? Please
let us know
so that we can list the citation on this page.
Top