ISO 9001:2015 Certified
Live Customer Support
4.5/5 on Trustpilot
100% Quality Guarantee

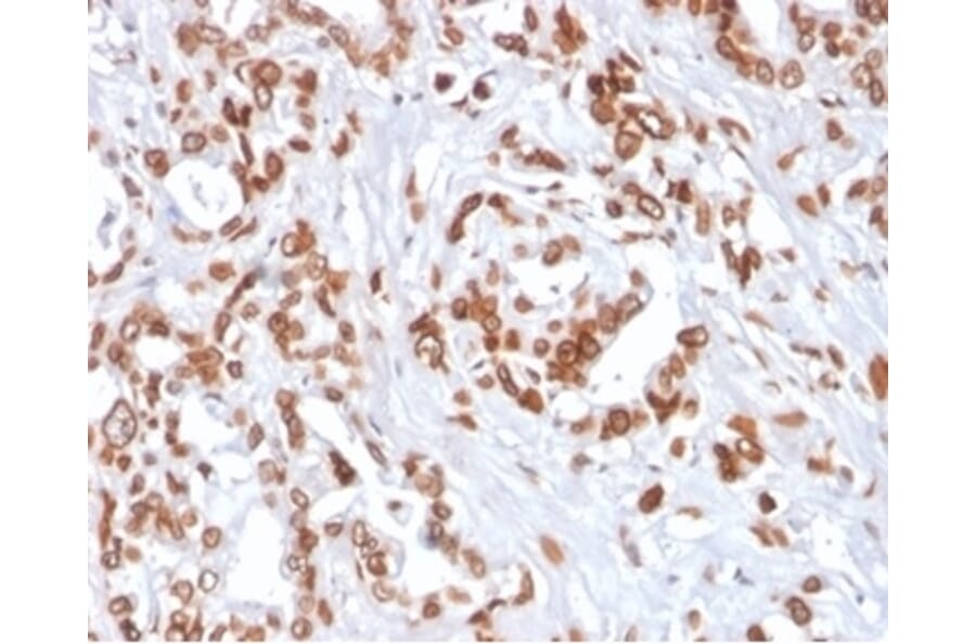
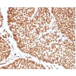
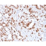
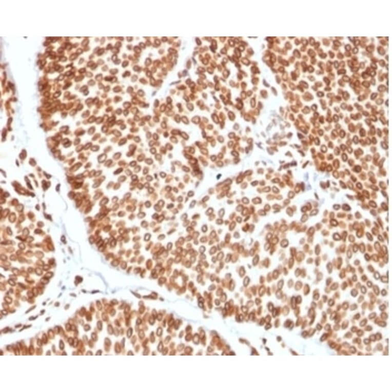
Anti-TCF4 Antibody [TCF4/2252] - BSA and Azide free (A278406)

Mouse monoclonal [TCF4/2252] antibody to TCF4 for ELISA and IHC-P.

Alternative Formats and ConjugatesAlternative Formats

Shipping Information

$40
Dispatched from St. Louis, MO.
Lead Time: 5-8 business days.
Name
Anti-TCF4 Antibody [TCF4/2252] - BSA and Azide free
Description
Mouse monoclonal [TCF4/2252] antibody to TCF4.
Specificity
This antibody recognizes a protein of 71kDa, identified as Transcription Factor 4 (TCF4). It is a basic helix-loop-helix transcription factor. The encoded protein This antibody recognizes an Ephrussi-box ('E-box') binding site ('CANNTG') - a motif first identified in immunoglobulin enhancers. This gene is broadly expressed and may play an important role in nervous system development. Defects in this gene are a cause of Pitt-Hopkins syndrome.
Applications
ELISA, IHC-P
Dilutions
IHC-P: 1-2 µg/ml
Reactivity
Human
Immunogen
Recombinant fragment, around amino acids 365-671, of human TCF4. The exact sequence is proprietary.
Host
Mouse
Clonality
Monoclonal
Clone ID
TCF4/2252
Isotype
IgG2c
Light Chains
kappa
Conjugate

Unconjugated

Purification
Protein A/G chromatography.
Concentration
1 mg/ml
Molecular Weight
60 kDa
Product Form
Liquid
Formulation
Supplied in 10mM Phosphate Buffered Saline; without Sodium Azide and carrier free.
Storage
Shipped at 4°C. Upon delivery aliquot and store at -20°C. Avoid freeze / thaw cycles.
General Notes
This monoclonal antibody is also available in a different formulation with BSA and Sodium Azide - Anti-TCF4 Antibody [TCF4/2252] (A277818).
Synonyms
BHLHB19, Class B basic helix-loop-helix protein 19, Immunoglobulin transcription factor 2, ITF-2, ITF2, SEF-2, SEF2, SL3-3 enhancer factor 2, TCF-4, Transcription factor 4
Disclaimer
This product is for research use only. It is not intended for diagnostic or therapeutic use.
Publishing research using Anti-TCF4 Antibody [TCF4/2252] - BSA and Azide free (A278406)? Please let us know so that we can list the citation on this page.

Alternative products to Anti-TCF4 Antibody [TCF4/2252] - BSA and Azide free (A278406)

Proteins predicted to interact with TCF4

Predicted protein interactions based upon String database. Revelancy score correlates with probability of interaction.
99.9% Relevancy Score
99.2% Relevancy Score
97.6% Relevancy Score
97.2% Relevancy Score
97.2% Relevancy Score
94.7% Relevancy Score
93.7% Relevancy Score
93.5% Relevancy Score
93.2% Relevancy Score