ISO 9001:2015 Certified
Live Customer Support
4.5/5 on Trustpilot
100% Quality Guarantee

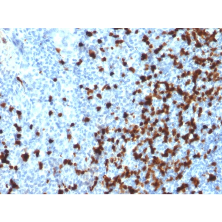
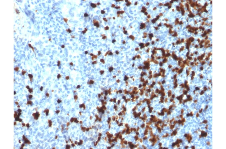
Anti-TCL1 Antibody [TCL1/2079] - BSA and Azide free (A253577)

Mouse monoclonal [TCL1/2079] antibody to TCL1 for WB and IHC-P.

Alternative Formats and ConjugatesAlternative Formats

Shipping Information

$40
Dispatched from St. Louis, MO.
Lead Time: 5-8 business days.
Name
Anti-TCL1 Antibody [TCL1/2079] - BSA and Azide free
Description
Mouse monoclonal [TCL1/2079] antibody to TCL1.
Specificity
T-cell leukemia/Lymphoma Protein 1A (TCL-1A), also known as p14TCL1 is a product of the TCL1 gene that is involved in T-cell prolymphocytic leukemia (TPLL). T-PLL is a rare form of mature T-cell leukemia, which is consistently associated with chromosomal rearrangements characterized by the juxtaposition of the TCRA locus on chromosome 14q11 and the TCL1A gene on 14q32.13. TCL1 is overexpressed in Burkitt lymphoma, the majority of AIDS-related non-Hodgkin lymphoma-designated immunoblastic plasmacytoid lymphoma, lymphoblastic lymphoma, chronic lymphocytic leukemia, mantle cell lymphoma, follicular lymphoma, diffuse large B-cell lymphoma, and primary cutaneous B-cell lymphoma.
Applications
WB, IHC-P
Dilutions
WB: 1-2 µg/ml, IHC-P: 1-2 µg/ml
Reactivity
Human
Immunogen
Recombinant fragment, around amino acids 2-109, of human TCL1 protein. The exact sequence is proprietary.
Host
Mouse
Clonality
Monoclonal
Clone ID
TCL1/2079
Isotype
IgG2a
Light Chains
kappa
Conjugate

Unconjugated

Purification
Protein A/G chromatography.
Concentration
1 mg/ml
Molecular Weight
14 kDa
Product Form
Liquid
Formulation
Supplied in 10mM Phosphate Buffered Saline; without Sodium Azide and carrier free.
Storage
Shipped at 4°C. Upon delivery aliquot and store at -20°C. Avoid freeze / thaw cycles.
General Notes
This monoclonal antibody is also available in a different formulation with BSA and Sodium Azide - Anti-TCL1 Antibody [TCL1/2079] (A250397).
Synonyms
Oncogene TCL-1, Oncogene TCL1, Protein p14 TCL1, T-cell leukemia/lymphoma protein 1A, TCL1A
Disclaimer
This product is for research use only. It is not intended for diagnostic or therapeutic use.
Publishing research using Anti-TCL1 Antibody [TCL1/2079] - BSA and Azide free (A253577)? Please let us know so that we can list the citation on this page.

Alternative products to Anti-TCL1 Antibody [TCL1/2079] - BSA and Azide free (A253577)

Proteins predicted to interact with TCL1

Predicted protein interactions based upon String database. Revelancy score correlates with probability of interaction.
99.5% Relevancy Score
96.9% Relevancy Score
95.2% Relevancy Score
94.4% Relevancy Score
93.6% Relevancy Score
88.7% Relevancy Score
83.7% Relevancy Score
83.6% Relevancy Score
74.6% Relevancy Score