ISO 9001:2015 Certified
Live Customer Support
4.5/5 on Trustpilot
100% Quality Guarantee

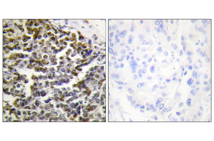
Anti-TCOF1 Antibody (A97171)

Rabbit polyclonal antibody to TCOF1 for WB, IHC, IF and ELISA.

Shipping Information

$40
Dispatched from St. Louis, MO.
Lead Time: 6-8 business days.
Name
Anti-TCOF1 Antibody
Description
Rabbit polyclonal antibody to TCOF1.
Applications
WB, IHC, IF, ELISA
Dilutions
WB: 1:500~1:1000, IHC: 1:50~1:100, ELISA: 1:10000
Reactivity
Human, Mouse
Cross Reactivity
No reported cross-reactivity.
Immunogen
Synthetic peptide derived from human TCOF1 (amino acids 41-90).
Host
Rabbit
Clonality
Polyclonal
Isotype
IgG
Conjugate

Unconjugated

Purification
Purified from rabbit serum by antigen affinity chromatography using the immunizing peptide.
Molecular Weight
152kDa
Product Form
Liquid
Formulation
Supplied in Phosphate Buffered Saline (without Mg2+ and Ca2+), pH 7.4, with 150mM NaCl, 0.02% Sodium Azide, and 50% Glycerol.
Storage
Shipped at 4°C. Upon delivery aliquot and store at -20°C. Avoid freeze / thaw cycles.
Synonyms
Treacher Collins syndrome protein, Treacle protein
Disclaimer
This product is for research use only. It is not intended for diagnostic or therapeutic use.
Publishing research using Anti-TCOF1 Antibody (A97171)? Please let us know so that we can list the citation on this page.

Alternative products to Anti-TCOF1 Antibody (A97171)

Proteins predicted to interact with TCOF1

Predicted protein interactions based upon String database. Revelancy score correlates with probability of interaction.
96.3% Relevancy Score
89.9% Relevancy Score
85.3% Relevancy Score
81.8% Relevancy Score
80.9% Relevancy Score
76.2% Relevancy Score
74.9% Relevancy Score
72.5% Relevancy Score
71.8% Relevancy Score