Rat monoclonal [23c] antibody to TCP1 alpha / CCTA.
Specificity
This antibody also detects ~92 kDa. The addition of an alanine (LDDA COOH) prevents binding in ELISA assays to immobilized synthetic peptide sequences. This antibody recognizes other proteins, most notably the p102B' COP subunit of Golgi coatomer. It does not react with human HSP60 protein.
Applications
WB, ICC/IF, IP
Dilutions
WB: 1:1,000, ICC/IF: 1:100
Reactivity
Human, Mouse, Rat, Sheep, Rabbit, Hamster, Canine, Bovine
Immunogen
Purified recombinant mouse TCP1 alpha construct encoding the C-terminal half of the 1.8 kb full-length Tcp 1b gene expressed in E. coli. Detects the COOH group
Host
Rat
Clonality
Monoclonal
Clone ID
23c
Isotype
IgG2c
Conjugate
Unconjugated
Purification
Protein G purification.
Concentration
1 mg/ml
Molecular Weight
~60 kDa
Product Form
Liquid
Formulation
Supplied in Phosphate Buffered Saline, pH 7.4, with 50% Glycerol and 0.1% Sodium Azide
Storage
Shipped at 4°C. Upon delivery aliquot and store at -20°C. Avoid freeze / thaw cycles.
Immunocytochemistry/Immunofluorescence analysis of human heat shocked cervical cancer cell line (HeLa), fixed in 2% formaldehyde for 20 minutes at room temperature, using Anti-TCP1 alpha / CCTA Antibody [23c] (A305132), at 1:100 for 12 hours at 4°C. The secondary antibody used was FITC Goat Anti-Rat (green) at 1:200 for 2 hours at room temperature. Counterstain: DAPI (blue) nuclear stain at 1:40000 for 2 hours at room temperature. Localization: Cytoplasm. Centrosome. Magnification: 20x. Heat Shocked at 42°C for 1h.
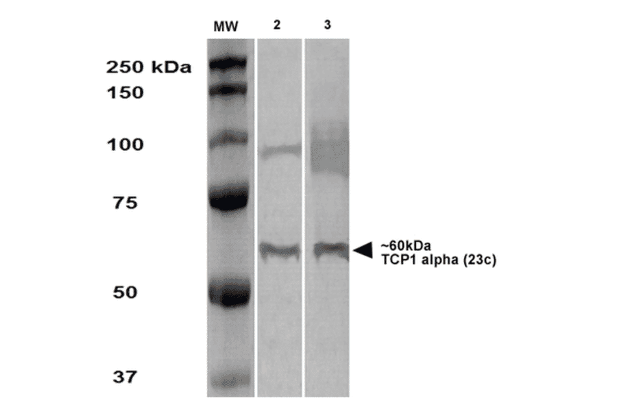
Western Blot - Anti-TCP1 alpha / CCTA Antibody [23c] (A305132)
Western blot analysis of human A431 and HEK293 cell lysates showing detection of TCP1 alpha protein using Anti-TCP1 alpha / CCTA Antibody [23c] (A305132) at 1:1,000.
Immunocytochemistry/Immunofluorescence analysis of human heat shocked cervical cancer cell line (HeLa), fixed in 2% formaldehyde for 20 minutes at room temperature, using Anti-TCP1 alpha / CCTA Antibody [23c] (A305132), at 1:100 for 12 hours at 4°C. The secondary antibody used was R-PE Goat Anti-Rat (yellow) at 1:200 for 2 hours at room temperature. Counterstain: DAPI (blue) nuclear stain at 1:40000 for 2 hours at room temperature. Localization: Cytoplasm. Centrosome. Magnification: 100x.(A) DAPI (blue) nuclear stain. (B) Anti-TCP1-alpha Antibody. (C) Composite. Heat Shocked at 42°C for 1h.
Publishing research using Anti-TCP1 alpha / CCTA Antibody [23c] (A305132)? Please let us know so that we can list the citation on this page.