ISO 9001:2015 Certified
Live Customer Support
4.5/5 on Trustpilot
100% Quality Guarantee

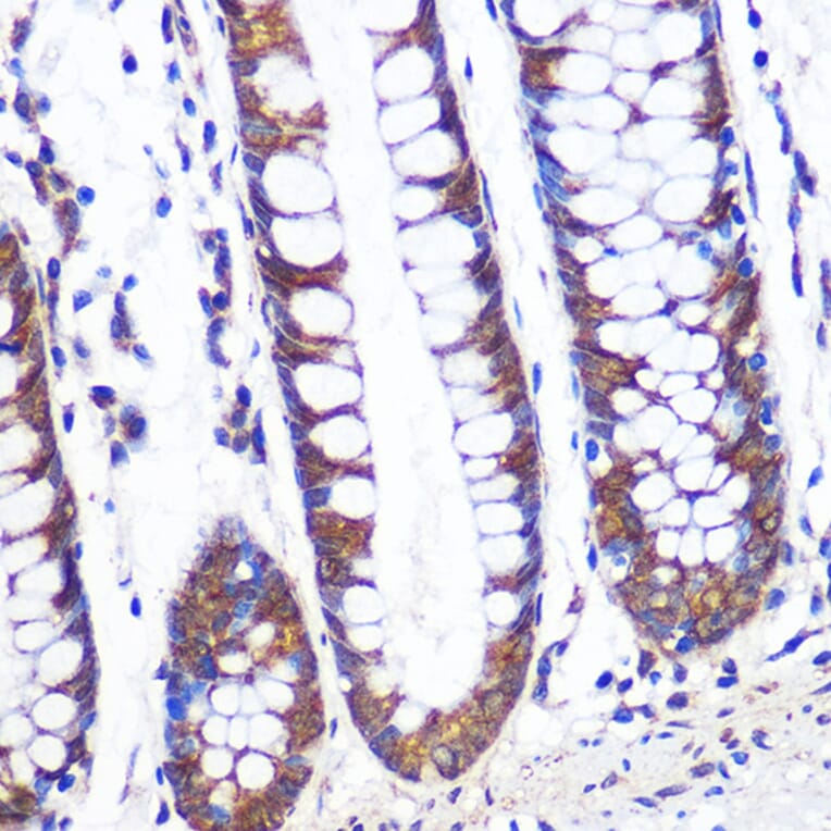
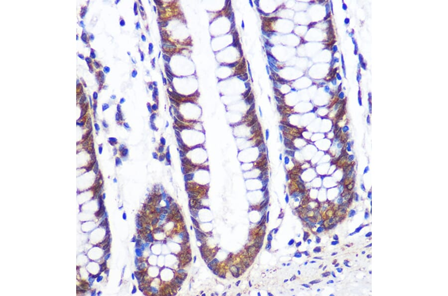
Anti-TCP1 alpha/CCTA Antibody [ARC0859] (A307231)

Rabbit monoclonal [ARC0859] antibody to TCP1 alpha/CCTA for WB and IHC.

Shipping Information

$40
Dispatched from St. Louis, MO.
Lead Time: 7-10 business days.
Name
Anti-TCP1 alpha/CCTA Antibody [ARC0859]
Description
Rabbit monoclonal [ARC0859] antibody to TCP1 alpha/CCTA.
Applications
WB, IHC
Dilutions
WB: 1:500-1:1,000, IHC: 1:50-1:200
Reactivity
Human
Immunogen
A synthetic peptide corresponding to a sequence within amino acids 1-100 of human TCP1 alpha (P17987).
Sequence
MEGPLSVFGDRSTGETIRSQNVMAAASIANIVKSSLGPVGLDKMLVDDIGDVTITNDGATILKLLEVEHPAAKVLCELADLQDKEVGDGTTSVVIIAAEL
Host
Rabbit
Clonality
Monoclonal
Clone ID
ARC0859
Isotype
IgG
Conjugate

Unconjugated

Purification
Affinity purification.
Concentration
Lot Specific
Molecular Weight
60 kDa
Product Form
Liquid
Formulation
Supplied in Phosphate Buffered Saline, pH 7.3, with 50% Glycerol, 0.05% BSA, and 0.02% Sodium Azide.
Storage
Shipped at 4°C. Upon delivery aliquot and store at -20°C. Avoid freeze/thaw cycles.
Disclaimer
This product is for research use only. It is not intended for diagnostic or therapeutic use.
Publishing research using Anti-TCP1 alpha/CCTA Antibody [ARC0859] (A307231)? Please let us know so that we can list the citation on this page.