ISO 9001:2015 Certified
Live Customer Support
4.5/5 on Trustpilot
100% Quality Guarantee

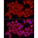
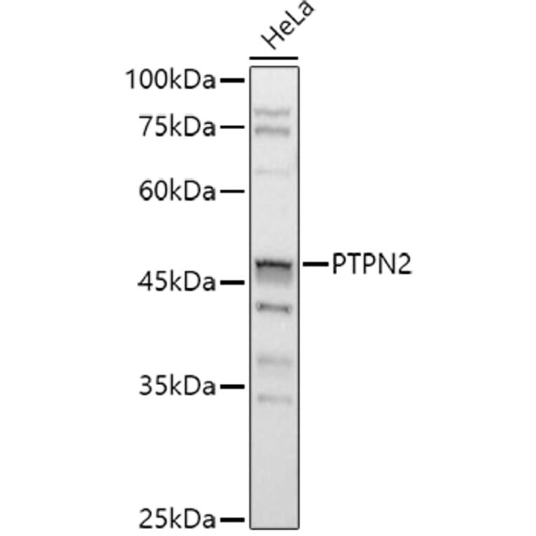
Anti-TCPTP Antibody (A13672)

Rabbit polyclonal antibody to TCPTP for WB and ICC/IF.

Shipping Information

$40
Dispatched from St. Louis, MO.
Lead Time: 7-10 business days.
Name
Anti-TCPTP Antibody
Description
Rabbit polyclonal antibody to TCPTP.
Applications
WB, ICC/IF
Dilutions
WB: 1:500-1:1,000, ICC/IF: 1:50-1:200
Reactivity
Human, Mouse, Rat
Immunogen
Recombinant fusion protein containing a sequence corresponding to amino acids 1-353 of human PTPN2 (P17706).
Sequence
MPTTIEREFEELDTQRRWQPLYLEIRNESHDYPHRVAKFPENRNRNRYRDVSPYDHSRVKLQNAENDYINASLVDIEEAQRSYILTQGPLPNTCCHFWLMVWQQKTKAVVMLNRIVEKESVKCAQYWPTDDQEMLFKETGFSVKLLSEDVKSYYTVHLLQLENINSGETRTISHFHYTTWPDFGVPESPASFLNFLFKVRESGSLNPDHGPAVIHCSAGIGRSGTFSLVDTCLVLMEKGDDINIKQVLLNMRKYRMGLIQTPDQLRFSYMAIIEGAKCIKGDSSIQKRWKELSKEDLSPAFDHSPNKIMTEKYNGNRIGLEEEKLTGDRCTGLSSKMQDTMEENSESALRKRI
Host
Rabbit
Clonality
Polyclonal
Isotype
IgG
Conjugate

Unconjugated

Purification
Affinity purification.
Concentration
Lot Specific
Molecular Weight
45 kDa
Product Form
Liquid
Formulation
Supplied in Phosphate Buffered Saline, pH 7.3, with 50% Glycerol and 0.01% Thiomersal.
Storage
Shipped at 4°C. Upon delivery aliquot and store at -20°C. Avoid freeze/thaw cycles.
Synonyms
PTPN2, PTPT, T-cell protein-tyrosine phosphatase, Tyrosine-protein phosphatase non-receptor type 2
Disclaimer
This product is for research use only. It is not intended for diagnostic or therapeutic use.
Publishing research using Anti-TCPTP Antibody (A13672)? Please let us know so that we can list the citation on this page.

Alternative products to Anti-TCPTP Antibody (A13672)

Proteins predicted to interact with TCPTP

Predicted protein interactions based upon String database. Revelancy score correlates with probability of interaction.
99% Relevancy Score
97.8% Relevancy Score
97.1% Relevancy Score
96.5% Relevancy Score
96.1% Relevancy Score
95.7% Relevancy Score
95.3% Relevancy Score
95.3% Relevancy Score
94.8% Relevancy Score