ISO 9001:2015 Certified
Live Customer Support
4.5/5 on Trustpilot
100% Quality Guarantee

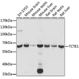
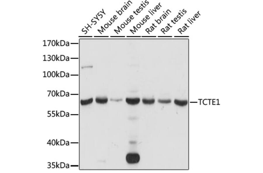
Anti-TCTE1 Antibody (A90867)

Rabbit polyclonal antibody to TCTE1 for WB.

Shipping Information

$40
Dispatched from St. Louis, MO.
Lead Time: 7-10 business days.
Name
Anti-TCTE1 Antibody
Description
Rabbit polyclonal antibody to TCTE1.
Applications
WB
Dilutions
WB: 1:500-1:2,000
Reactivity
Human, Mouse, Rat
Immunogen
Recombinant fusion protein containing a sequence corresponding to amino acids 1-300 of human TCTE1 (NP_872345.2).
Sequence
MQDTVTTSALLDPSHSSVSTQDNSSTGGHTSSTSPQLSKPSITPVPAKSRNPHPRANIRRMRRIIAEDPEWSLAIVPLLTELCIQHIIRNFQKNPILKQMLPEHQQKVLNHLSPDLPLAVTANLIDSENYWLRCCMHRWPVCHVAHHGGSWKRMFFERHLENLLKHFIPGTTDPAVILDLLPLCRNYVRRVHVDQFLPPVQLPAQLRPGDQSDSGSEGEMEEPTVDHYQLGDLVAGLSHLEELDLVYDVKDCGMNFEWNLFLFTYRDCLSLAAAIKACHTLKIFKLTRSKVDDDKARIII
Host
Rabbit
Clonality
Polyclonal
Isotype
IgG
Conjugate

Unconjugated

Purification
Affinity purification.
Concentration
Lot Specific
Molecular Weight
66 kDa
Product Form
Liquid
Formulation
Supplied in Phosphate Buffered Saline, pH 7.3, with 50% Glycerol and 0.01% Thiomersal.
Storage
Shipped at 4°C. Upon delivery aliquot and store at -20°C. Avoid freeze/thaw cycles.
Disclaimer
This product is for research use only. It is not intended for diagnostic or therapeutic use.
Publishing research using Anti-TCTE1 Antibody (A90867)? Please let us know so that we can list the citation on this page.