Unconjugated
Painful diabetic neuropathy commonly affects the peripheral nervous system in individuals with diabetes. However, the pathological processes and mechanisms underlying diabetic neuropathic pain remain unclear. We aimed to identify the overall profiles and screen for genes potentially involved in pain mechanisms using transcriptome analysis of the dorsal root ganglion of diabetic mice treated with streptozotocin (STZ). Using RNA sequencing, we identified differentially expressed genes between streptozotocin-treated diabetic mice and controls, focusing on altered GABAergic neuron-related genes and inflammatory pathways. Behavioral and molecular analyses revealed a marked reduction in GABAergic neuronal markers (GAD65, GAD67, VGAT) and increased pro-inflammatory cytokines (TNF-a, IL-1ß, IL-6) in the diabetic group compared with controls. Intrathecal administration of lentiviral vectors expressing transcription factors Ascl1 and Lhx6 reversed pain hypersensitivity and restored normal expression of GABAergic genes and inflammatory mediators. Protein-protein interaction network analysis revealed five key proteins influenced by Ascl1 and Lhx6 treatment, including those in the JunD/FosB/C-fos signaling pathway. These findings suggest that Ascl1 and Lhx6 mitigate diabetic neuropathic pain by modulating GABAergic neuronal function, pro-inflammatory responses, and pain-related channels (TRPV1, Nav1.7). These results provide a basis for developing transcription factor-based therapies targeting GABAergic neurons for diabetic neuropathic pain relief.
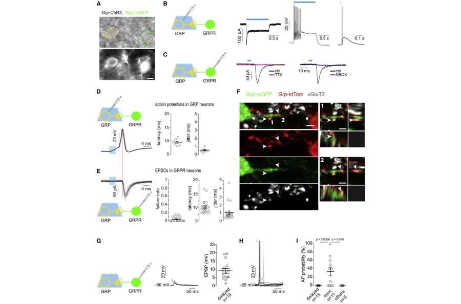
Spinal transmission of pruritoceptive (itch) signals requires transneuronal signaling by gastrin-releasing peptide (GRP) produced by a subpopulation of dorsal horn excitatory interneurons. These neurons also express the glutamatergic marker vGluT2, raising the question of why glutamate alone is insufficient for spinal itch relay. Using optogenetics together with slice electrophysiology and mouse behavior, we demonstrate that baseline synaptic coupling between GRP and GRP receptor (GRPR) neurons is too weak for suprathreshold excitation. Only when we mimicked the endogenous firing of GRP neurons and stimulated them repetitively to fire bursts of action potentials did GRPR neurons depolarize progressively and become excitable by GRP neurons. GRPR but not glutamate receptor antagonism prevented this action. Provoking itch-like behavior by optogenetic activation of spinal GRP neurons required similar stimulation paradigms. These results establish a spinal gating mechanism for itch that requires sustained repetitive activity of presynaptic GRP neurons and postsynaptic GRP signaling to drive GRPR neuron output.
Copyright © 2019 The Author(s). Published by Elsevier Inc. All rights reserved.