Primary Antibodies
Secondary Antibodies
Proteins & Peptides
ELISA Kits
About Us
Contact Us
Sign In/Register
0
ISO 9001:2015 Certified
Live Customer Support
4.5/5 on Trustpilot
100% Quality Guarantee
Home
Primary Antibodies
TEM1 Antibodies
Anti-TEM1 Antibody (A48387)
Anti-TEM1 Antibody (A48387)
Overview
Specifications
Images
Enlarge Image
Enlarge Image
$780
Product Datasheet
Rabbit polyclonal antibody to TEM1 for ELISA, WB and IHC.
100% Guarantee
Price Match Guarantee
Product Size:
100µl
Quantity:
1
2
3
4
5
6
7
8
9
10
Add To Cart
Request a Quotation
Custom or Bulk Request
Shipping Information
Freight/Packing Charges:
$40
Dispatched from St. Louis, MO.
Lead Time: 6-9 business days.
Specifications
Name
Anti-TEM1 Antibody
Description
Rabbit polyclonal antibody to TEM1
Specificity
At least two isoforms, of TEM1 are known to exist; this antibody recognizes only the larger isoform.
Applications
ELISA
,
WB
,
IHC
Reactivity
Human, Mouse, Rat
Immunogen
Raised against a 14 amino acid peptide near the amino terminus of the human TEM1.
Host
Rabbit
Clonality
Polyclonal
Conjugate
Unconjugated
Purification
Affinity chromatography purified via peptide column
Formulation
Supplied in phosphate-buffered saline with 0.02% Sodium Azide.
Storage
Shipped at 4°C. Upon delivery aliquot and store at -20°C. Avoid freeze/thaw cycles.
Synonyms
CD164L1, CD248, Endosialin, Tumor endothelial marker 1
Suitable Secondaries
Goat Anti-Rabbit IgG H&L Antibody (AP) (A294874)
Goat Anti-Rabbit IgG H&L Antibody (Biotin) (A294795)
Goat Anti-Rabbit IgG H&L Antibody (FITC) (A294887)
Goat Anti-Rabbit IgG H&L Antibody (HRP) (A294888)
See all Anti-Rabbit IgG Secondaries →
Disclaimer
This product is for research use only. It is not intended for diagnostic or therapeutic use.
Scientific Validation Data
Validation Data
(2)
Enlarge Image
Anti-TEM1 Antibody (A48387)
Western blot analysis of TEM1 in human colon tissue lysate with TEM1 antibody at (A) 0.5 and (B) 1 µg/mL.
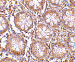
Enlarge Image
Immunohistochemistry - Anti-TEM1 Antibody (A48387)
Immunohistochemistry of TEM1 in human colon tissue with TEM1 antibody at 2.5 µg/mL.
Publishing research using Anti-TEM1 Antibody (A48387)? Please
let us know
so that we can list the citation on this page.
Alternative products to Anti-TEM1 Antibody (A48387)
(2)
A48386
Anti-TEM1 Antibody
Rabbit polyclonal antibody to TEM1 for ELISA, WB and IHC.
(2)
A323629
Ontuxizumab Biosimilar - Anti-TEM1 Antibody - Low endotoxin, Azide free
Recombinant chimeric monoclonal antibody to TEM1 for ELISA, FACS, Functional Assay and In Vivo.
(2)
A338640
Ontuxizumab Biosimilar - Anti-TEM1 Antibody - BSA and Azide free
Humanized monoclonal antibody to TEM1 Research grade Ontuxizumab biosimilar for ELISA, Flow Cytometry, Functional Studies and in vivo Research.
(2)
A87678
Anti-TEM1 Antibody
Rabbit polyclonal antibody to TEM1 for WB.
(2)
A101173
Anti-CD248 Antibody
Rabbit polyclonal antibody to CD248 for WB and ELISA.
(2)
A332160
Ontuxizumab Biosimilar - Anti-TEM1 Antibody
Recombinant chimeric humanized monoclonal antibody to TEM1 for ELISA and Flow Cytometry.
A28344
Anti-CD248 Antibody
Rabbit polyclonal antibody to CD248 for WB.
A293
Anti-Tem1 Antibody
Rabbit polyclonal antibody to Tem1 for WB and IP.
A40548
Anti-CD248 Antibody
Rabbit polyclonal antibody to CD248 for ELISA and WB.
A91293
Anti-TEM1 Antibody
Rabbit polyclonal antibody to TEM1 for WB and ELISA.
(2)
A48386
Anti-TEM1 Antibody
Rabbit polyclonal antibody to TEM1 for ELISA, WB and IHC.
(2)
A323629
Ontuxizumab Biosimilar - Anti-TEM1 Antibody - Low endotoxin, Azide free
Recombinant chimeric monoclonal antibody to TEM1 for ELISA, FACS, Functional Assay and In Vivo.
(2)
A338640
Ontuxizumab Biosimilar - Anti-TEM1 Antibody - BSA and Azide free
Humanized monoclonal antibody to TEM1 Research grade Ontuxizumab biosimilar for ELISA, Flow Cytometry, Functional Studies and in vivo Research.
(2)
A87678
Anti-TEM1 Antibody
Rabbit polyclonal antibody to TEM1 for WB.
(2)
A101173
Anti-CD248 Antibody
Rabbit polyclonal antibody to CD248 for WB and ELISA.
(2)
A332160
Ontuxizumab Biosimilar - Anti-TEM1 Antibody
Recombinant chimeric humanized monoclonal antibody to TEM1 for ELISA and Flow Cytometry.
A28344
Anti-CD248 Antibody
Rabbit polyclonal antibody to CD248 for WB.
A293
Anti-Tem1 Antibody
Rabbit polyclonal antibody to Tem1 for WB and IP.
A40548
Anti-CD248 Antibody
Rabbit polyclonal antibody to CD248 for ELISA and WB.
A91293
Anti-TEM1 Antibody
Rabbit polyclonal antibody to TEM1 for WB and ELISA.
See all TEM1 Antibodies
Proteins predicted to interact with TEM1
Predicted protein interactions based upon String database. Revelancy score correlates with probability of interaction.
Fibronectin Antibodies
96.8% Relevancy Score
RASD2 Antibodies
88.9% Relevancy Score
OXA1L Antibodies
88.2% Relevancy Score
KPC2 Antibodies
87.5% Relevancy Score
TEM7 Antibodies
82.4% Relevancy Score
PDGFR beta Antibodies
69.5% Relevancy Score
COL1A2 Antibodies
68.6% Relevancy Score
Karyopherin beta 3 Antibodies
67.5% Relevancy Score
Collagen I Antibodies
66.2% Relevancy Score
Top