Primary Antibodies
Secondary Antibodies
Proteins & Peptides
ELISA Kits
About Us
Contact Us
Sign In/Register
0
ISO 9001:2015 Certified
Live Customer Support
4.5/5 on Trustpilot
100% Quality Guarantee
Home
Primary Antibodies
TEM4 Antibodies
Anti-TEM4 Antibody (A48390)
Anti-TEM4 Antibody (A48390)
Overview
Specifications
Images
Enlarge Image
Enlarge Image
$780
Product Datasheet
Rabbit polyclonal antibody to TEM4 for ELISA, WB and IHC.
100% Guarantee
Price Match Guarantee
Product Size:
100µl
Quantity:
1
2
3
4
5
6
7
8
9
10
Add To Cart
Request a Quotation
Custom or Bulk Request
Shipping Information
Freight/Packing Charges:
$40
Dispatched from St. Louis, MO.
Lead Time: 6-9 business days.
Specifications
Name
Anti-TEM4 Antibody
Description
Rabbit polyclonal antibody to TEM4
Applications
ELISA
,
WB
,
IHC
Reactivity
Human
Immunogen
Raised against a 18 amino acid peptide near the center of human TEM4.
Host
Rabbit
Clonality
Polyclonal
Conjugate
Unconjugated
Purification
Affinity chromatography purified via peptide column
Formulation
Supplied in phosphate-buffered saline with 0.02% Sodium Azide.
Storage
Shipped at 4°C. Upon delivery aliquot and store at -20°C. Avoid freeze/thaw cycles.
Synonyms
164 kDa Rho-specific guanine-nucleotide exchange factor, ARHGEF17, KIAA0337, p164-RhoGEF, p164RhoGEF, Rho guanine nucleotide exchange factor 17, Tumor endothelial marker 4
Suitable Secondaries
Goat Anti-Rabbit IgG H&L Antibody (AP) (A294874)
Goat Anti-Rabbit IgG H&L Antibody (Biotin) (A294795)
Goat Anti-Rabbit IgG H&L Antibody (FITC) (A294887)
Goat Anti-Rabbit IgG H&L Antibody (HRP) (A294888)
See all Anti-Rabbit IgG Secondaries →
Disclaimer
This product is for research use only. It is not intended for diagnostic or therapeutic use.
Scientific Validation Data
Validation Data
(2)
Enlarge Image
Anti-TEM4 Antibody (A48390)
Western blot analysis of TEM4 in Jurkat Cell lysate with TEM4 antibody at (A) 1 and (B) 2 µg/mL.
Enlarge Image
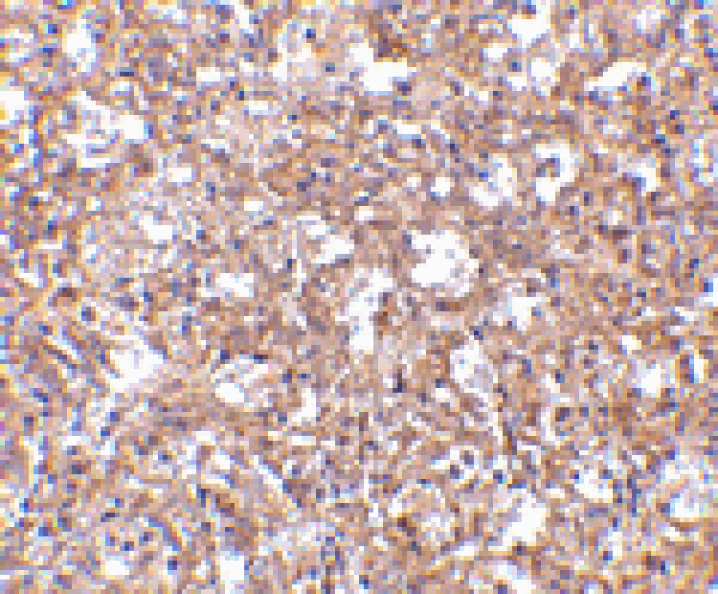
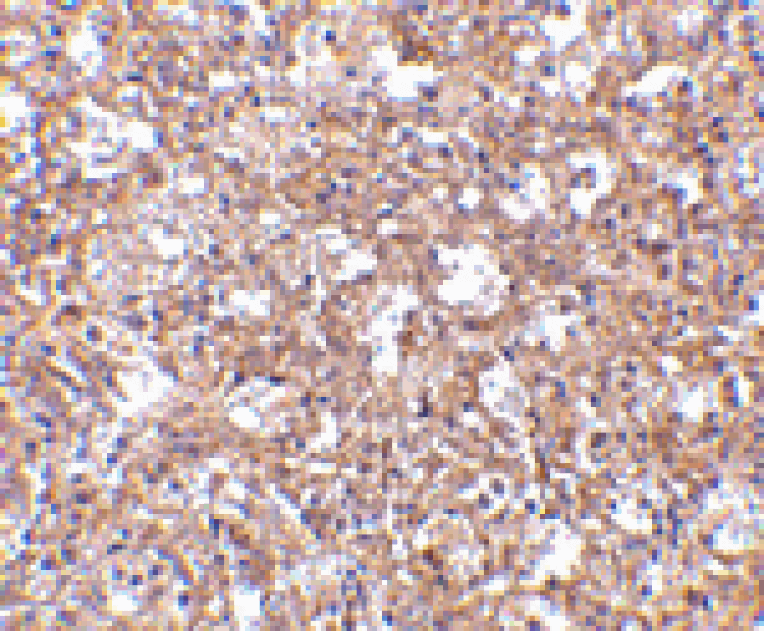
Immunohistochemistry - Anti-TEM4 Antibody (A48390)
Immunohistochemistry of TEM4 in human spleen tissue with TEM4 antibody at 2.5 µg/mL.
Publishing research using Anti-TEM4 Antibody (A48390)? Please
let us know
so that we can list the citation on this page.
Alternative products to Anti-TEM4 Antibody (A48390)
A96344
Anti-ARHGEF17 Antibody
Rabbit polyclonal antibody to ARHGEF17 for IHC, IF and ELISA.
A96344
Anti-ARHGEF17 Antibody
Rabbit polyclonal antibody to ARHGEF17 for IHC, IF and ELISA.
Proteins predicted to interact with TEM4
Predicted protein interactions based upon String database. Revelancy score correlates with probability of interaction.
RhoA Antibodies
84.1% Relevancy Score
CDC42 Antibodies
67.4% Relevancy Score
TEM7 Antibodies
64.3% Relevancy Score
Cadherin-17 Antibodies
63.7% Relevancy Score
RABIF Antibodies
63.4% Relevancy Score
RASD2 Antibodies
55.7% Relevancy Score
RhoC Antibodies
54.4% Relevancy Score
RhoB Antibodies
53.9% Relevancy Score
NUAK2 Antibodies
53% Relevancy Score
Top