Western blot analysis of U-138MG, using Anti-Tenascin C Antibody (A308041) at 1:1,000 dilution. The secondary antibody was Goat Anti-Rabbit IgG H&L Antibody (HRP) at 1:10,000 dilution. Lysates/proteins were present at 25µg per lane. The blocking buffer used was 3% non-fat dry milk in TBST. Detection was with a ECL Basic Kit. Exposure time: 30s.
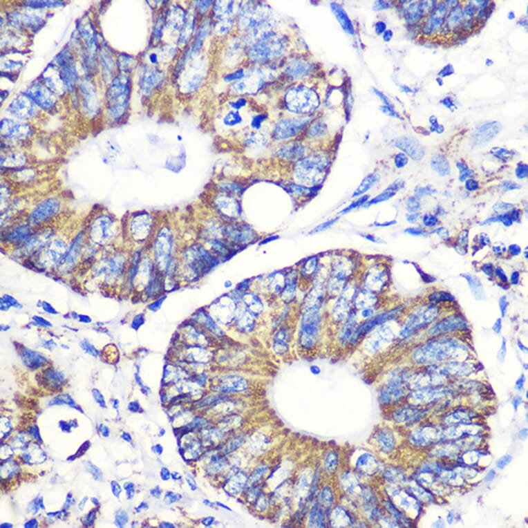
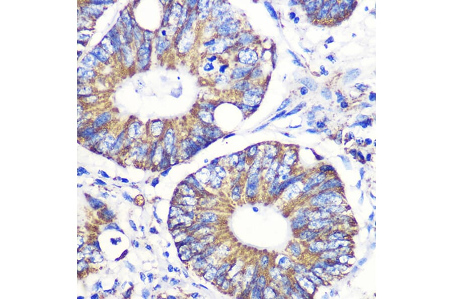
Immunohistochemistry - Anti-Tenascin C Antibody (A308041)
Immunohistochemistry analysis of paraffin-embedded human colon carcinoma tissue using Anti-Tenascin C Antibody (A308041) at a dilution of 1:100 (40x lens). Perform microwave antigen retrieval with 10 mM PBS buffer pH 7.2 before commencing with IHC staining protocol.
Immunofluorescence - Anti-Tenascin C Antibody (A308041)
Immunofluorescence analysis of U-87MG cells using Anti-Tenascin C Antibody (A308041) at a dilution of 1:50 (40x lens). DAPI was used to stain the cell nuclei (blue).
Publishing research using Anti-Tenascin C Antibody (A308041)? Please let us know so that we can list the citation on this page.
Recombinant human monoclonal antibody to Tenascin C for use as a research grade Neuradiab biosimilar for ELISA, Flow Cytometry, Functional Studies and in vivo Research.
Recombinant mouse monoclonal antibody to Tenascin C for use as a research grade Tenatumomab biosimil for ELISA, Flow Cytometry, Functional Studies and in vivo Research.
Recombinant human monoclonal antibody to Tenascin C for use as a research grade F16-131I biosimilar for ELISA, Flow Cytometry, Functional Studies and in vivo Research.
Recombinant human monoclonal antibody to Tenascin C for use as a research grade ST2485 biosimilar for ELISA, Flow Cytometry, Functional Studies and in vivo Research.
Recombinant human monoclonal antibody to Tenascin C for use as a research grade Neuradiab biosimilar for ELISA, Flow Cytometry, Functional Studies and in vivo Research.
Recombinant mouse monoclonal antibody to Tenascin C for use as a research grade Tenatumomab biosimil for ELISA, Flow Cytometry, Functional Studies and in vivo Research.
Recombinant human monoclonal antibody to Tenascin C for use as a research grade F16-131I biosimilar for ELISA, Flow Cytometry, Functional Studies and in vivo Research.
Recombinant human monoclonal antibody to Tenascin C for use as a research grade ST2485 biosimilar for ELISA, Flow Cytometry, Functional Studies and in vivo Research.