ISO 9001:2015 Certified
Live Customer Support
4.5/5 on Trustpilot
100% Quality Guarantee

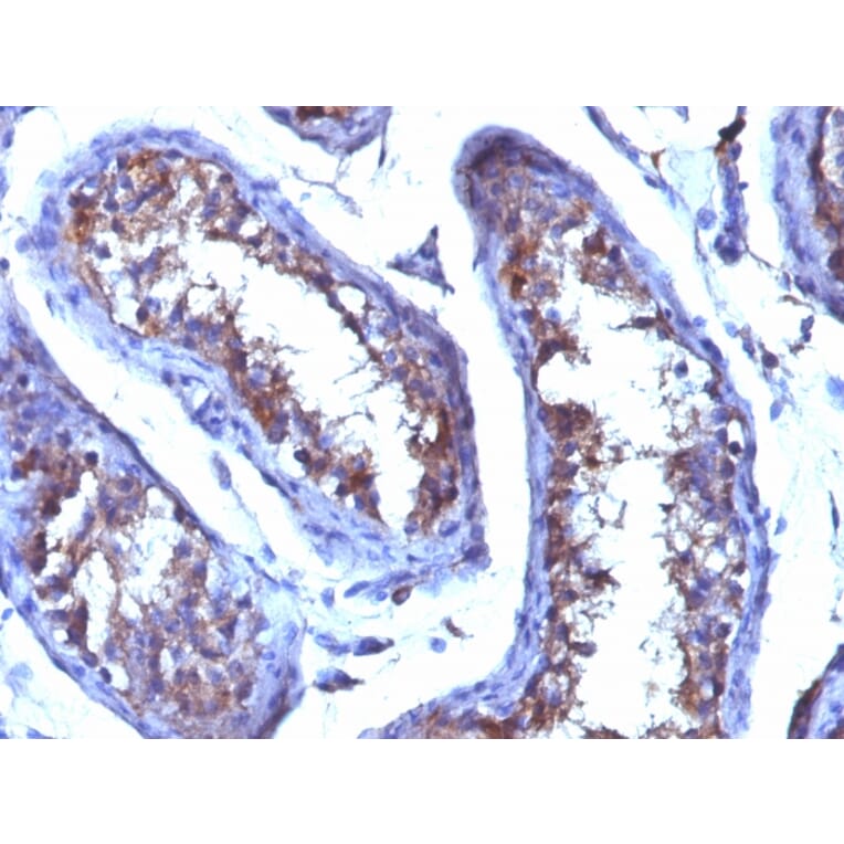
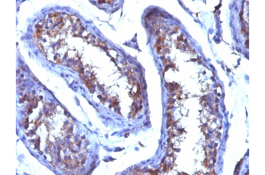
Anti-Testosterone Antibody [4E1G2] - BSA and Azide free (A254042)

Mouse monoclonal [4E1G2] antibody to Testosterone for ELISA, Radioimmunoassay and IHC-P.

Alternative Formats and ConjugatesAlternative Formats

Shipping Information

$40
Dispatched from St. Louis, MO.
Lead Time: 5-8 business days.
Name
Anti-Testosterone Antibody [4E1G2] - BSA and Azide free
Description
Mouse monoclonal [4E1G2] antibody to Testosterone.
Specificity
This antibody is highly specific to testosterone. Its affinity constant for testosterone is ~1010M-1. In competitive binding immunoassay, it reacts with testosterone 100%, 11-beta-hydroxy testosterone 3.3%, 17-alpha-methyl testosterone
Applications
ELISA, Radioimmunoassay, IHC-P
Dilutions
IHC-P: 0.25-0.5 µg/ml
Immunogen
Testosterone 3 CMO conjugated to BSA.
Host
Mouse
Clonality
Monoclonal
Clone ID
4E1G2
Isotype
IgG1
Light Chains
kappa
Conjugate

Unconjugated

Purification
Protein A/G chromatography.
Concentration
1 mg/ml
Molecular Weight
288.42Da
Product Form
Liquid
Formulation
Supplied in 10mM Phosphate Buffered Saline; without Sodium Azide and carrier free.
Storage
Shipped at 4°C. Upon delivery aliquot and store at -20°C. Avoid freeze / thaw cycles.
General Notes
This monoclonal antibody is also available in a different formulation with BSA and Sodium Azide - Anti-Testosterone Antibody [4E1G2] (A250862).
Disclaimer
This product is for research use only. It is not intended for diagnostic or therapeutic use.
Publishing research using Anti-Testosterone Antibody [4E1G2] - BSA and Azide free (A254042)? Please let us know so that we can list the citation on this page.

Alternative products to Anti-Testosterone Antibody [4E1G2] - BSA and Azide free (A254042)