ISO 9001:2015 Certified
Live Customer Support
4.5/5 on Trustpilot
100% Quality Guarantee

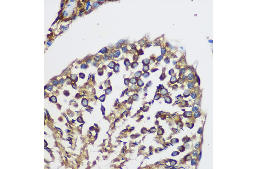
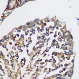
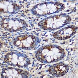
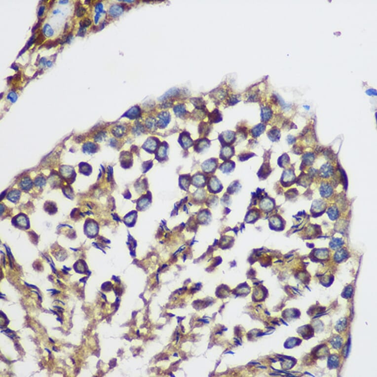
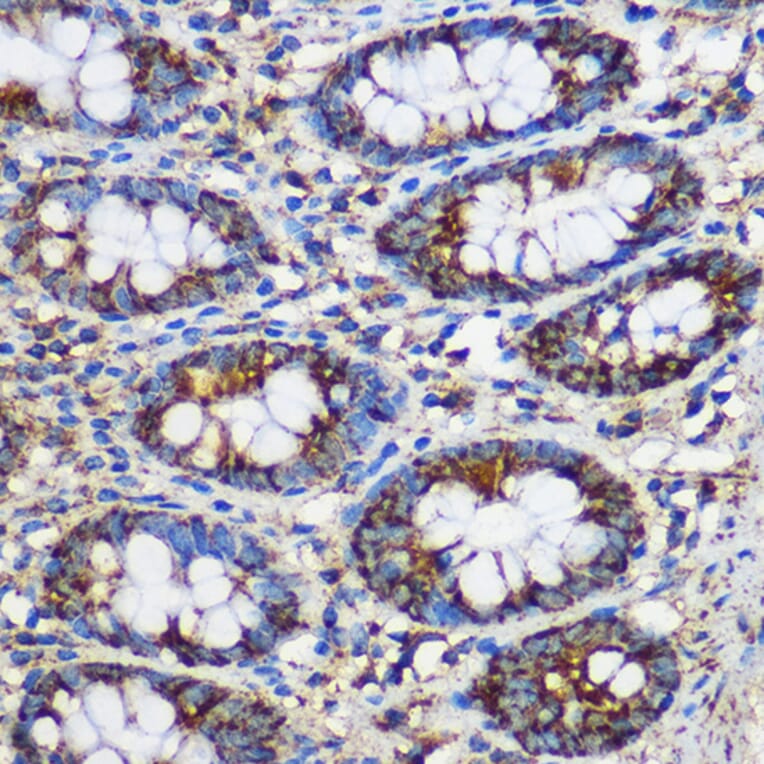
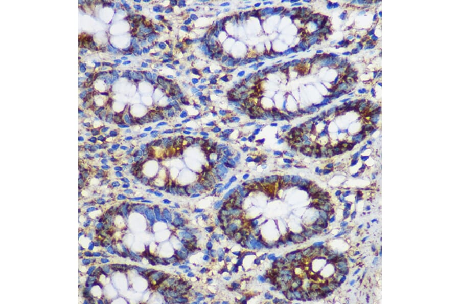
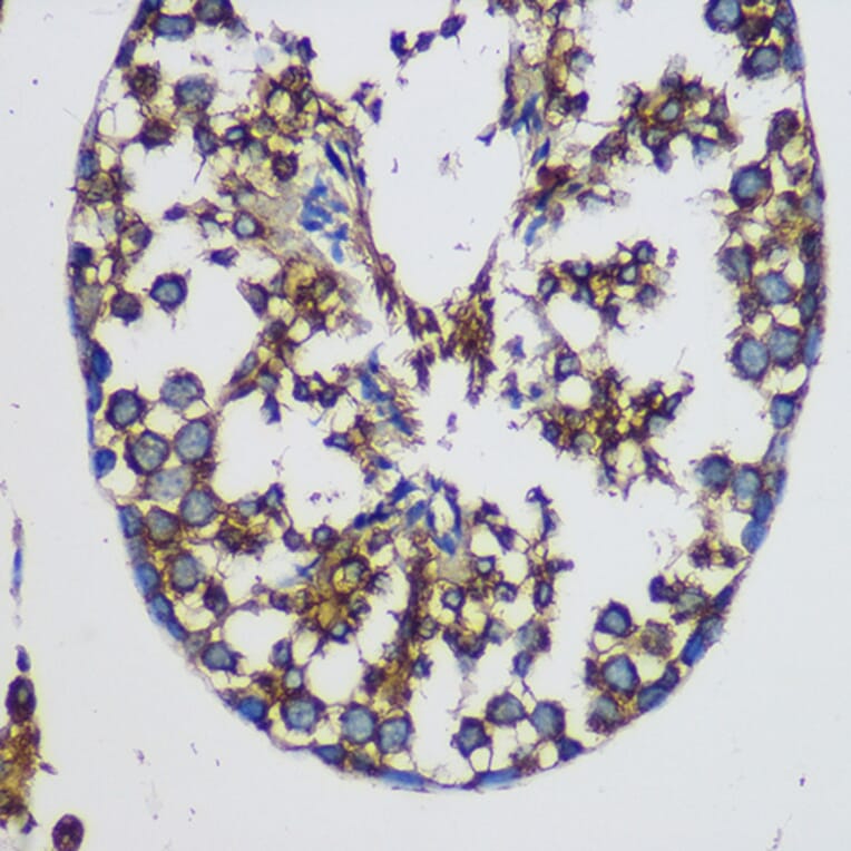
Anti-TEX101 Antibody (A306768)

Rabbit polyclonal antibody to TEX101 for WB and IHC.

Shipping Information

$40
Dispatched from St. Louis, MO.
Lead Time: 7-10 business days.
Name
Anti-TEX101 Antibody
Description
Rabbit polyclonal antibody to TEX101.
Applications
WB, IHC
Dilutions
WB: 1:500-1:2,000, IHC: 1:50-1:200
Reactivity
Human, Mouse, Rat
Immunogen
Recombinant fusion protein containing a sequence corresponding to amino acids 44-150 of human TEX101 (NP_113639.4).
Sequence
LYCQKGLSMTVEADPANMFNWTTEEVETCDKGALCQETILIIKAGTETAILATKGCIPEGEEAITIVQHSSPPGLIVTSYSNYCEDSFCNDKDSLSQFWEFSETTAS
Host
Rabbit
Clonality
Polyclonal
Isotype
IgG
Conjugate

Unconjugated

Purification
Affinity purification.
Concentration
Lot Specific
Molecular Weight
27 kDa
Product Form
Liquid
Formulation
Supplied in Phosphate Buffered Saline, pH 7.3, with 50% Glycerol and 0.01% Thiomersal.
Storage
Shipped at 4°C. Upon delivery aliquot and store at -20°C. Avoid freeze/thaw cycles.
Synonyms
Cell surface receptor NYD-SP8, Scleroderma-associated autoantigen, SGRG, Spermatogenesis-related gene protein, Testis-expressed protein 101
Disclaimer
This product is for research use only. It is not intended for diagnostic or therapeutic use.
Publishing research using Anti-TEX101 Antibody (A306768)? Please let us know so that we can list the citation on this page.

Proteins predicted to interact with TEX101

Predicted protein interactions based upon String database. Revelancy score correlates with probability of interaction.
81.6% Relevancy Score
81.5% Relevancy Score
81.1% Relevancy Score
59.8% Relevancy Score
58.2% Relevancy Score
55.7% Relevancy Score
55.6% Relevancy Score
54.5% Relevancy Score
54.5% Relevancy Score