Primary Antibodies
Secondary Antibodies
Proteins & Peptides
ELISA Kits
About Us
Contact Us
Sign In/Register
0
ISO 9001:2015 Certified
Live Customer Support
4.5/5 on Trustpilot
100% Quality Guarantee
Home
Primary Antibodies
TFF2 Antibodies
Anti-TFF2 Antibody (A46733)
Anti-TFF2 Antibody (A46733)
Overview
Specifications
Images
Enlarge Image
Enlarge Image
$405
Rabbit polyclonal antibody to TFF2 for IHC.
100% Guarantee
Price Match Guarantee
Product Size:
100µl
Quantity:
1
2
3
4
5
6
7
8
9
10
Add To Cart
Request a Quotation
Custom or Bulk Request
Shipping Information
Freight/Packing Charges:
$40
Dispatched from St. Louis, MO.
Lead Time: 6-9 business days.
Specifications
Name
Anti-TFF2 Antibody
Description
Rabbit polyclonal antibody to TFF2
Specificity
The antibody detects endogenous levels of total TFF2 protein.
Applications
IHC
Reactivity
Human
Immunogen
Fusion protein corresponding to a region derived from internal residues of human trefoil factor 2
Host
Rabbit
Clonality
Polyclonal
Conjugate
Unconjugated
Purification
Antigen affinity purification.
Concentration
1.2 mg/ml
Formulation
Rabbit IgG in pH7.3 PBS, 0.05% NaN3, 50% Glycerol.
Storage
Store at -20˚C
Synonyms
SML1, SP, Spasmolysin, Spasmolytic polypeptide, Trefoil factor 2
Suitable Secondaries
Goat Anti-Rabbit IgG H&L Antibody (AP) (A294874)
Goat Anti-Rabbit IgG H&L Antibody (Biotin) (A294795)
Goat Anti-Rabbit IgG H&L Antibody (FITC) (A294887)
Goat Anti-Rabbit IgG H&L Antibody (HRP) (A294888)
See all Anti-Rabbit IgG Secondaries →
Disclaimer
This product is for research use only. It is not intended for diagnostic or therapeutic use.
Scientific Validation Data
Validation Data
(2)
Enlarge Image
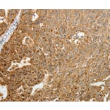
Immunohistochemistry - Anti-TFF2 Antibody (A46733)
Immunohistochemical analysis of paraffin-embedded Human tonsil cancer tissue using #35952 at dilution 1/40.
Enlarge Image
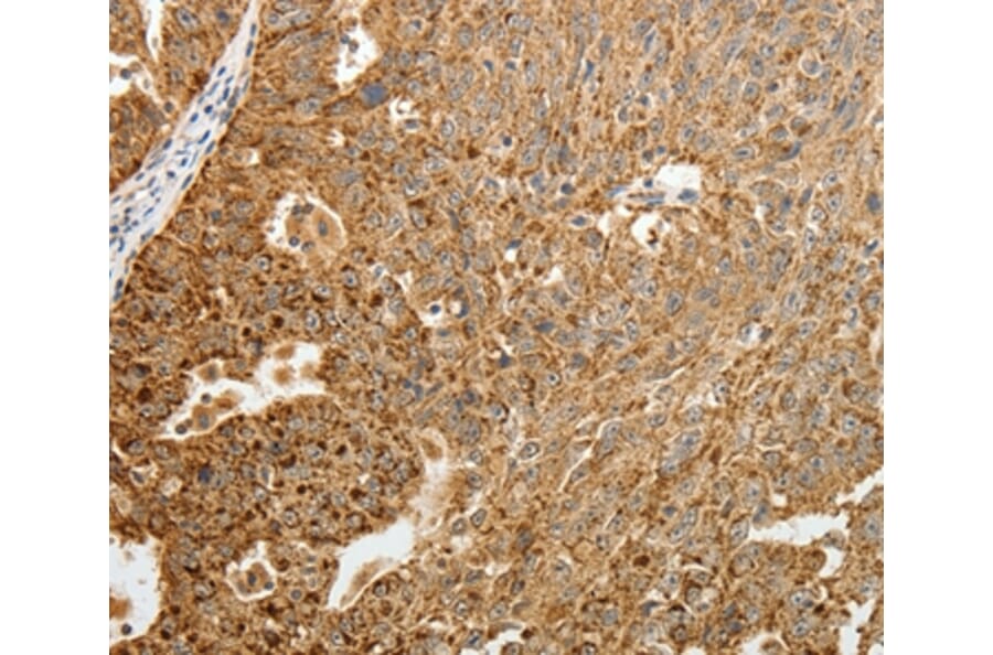
Immunohistochemistry - Anti-TFF2 Antibody (A46733)
Immunohistochemical analysis of paraffin-embedded Human ovarian cancer tissue using #35952 at dilution 1/40.
Publishing research using Anti-TFF2 Antibody (A46733)? Please
let us know
so that we can list the citation on this page.
Alternative products to Anti-TFF2 Antibody (A46733)
A28573
Anti-Spasmolysin Antibody
Rabbit polyclonal antibody to Spasmolysin for WB.
A29260
Anti-TFF2 Antibody
Rabbit polyclonal antibody to TFF2 for WB.
A101655
Anti-SP Antibody
Rabbit polyclonal antibody to SP for WB and ELISA.
A9708
Anti-TFF2 Antibody
Rabbit polyclonal antibody to TFF2 for WB.
A251066
Anti-Trefoil Factor 2 Antibody [GE16C]
Mouse monoclonal [GE16C] antibody to Trefoil Factor 2 for ELISA.
A254343
Anti-Trefoil Factor 2 Antibody [GE16C] - BSA and Azide free
Mouse monoclonal [GE16C] antibody to Trefoil Factor 2 for ELISA.
A28573
Anti-Spasmolysin Antibody
Rabbit polyclonal antibody to Spasmolysin for WB.
A29260
Anti-TFF2 Antibody
Rabbit polyclonal antibody to TFF2 for WB.
A101655
Anti-SP Antibody
Rabbit polyclonal antibody to SP for WB and ELISA.
A9708
Anti-TFF2 Antibody
Rabbit polyclonal antibody to TFF2 for WB.
A251066
Anti-Trefoil Factor 2 Antibody [GE16C]
Mouse monoclonal [GE16C] antibody to Trefoil Factor 2 for ELISA.
A254343
Anti-Trefoil Factor 2 Antibody [GE16C] - BSA and Azide free
Mouse monoclonal [GE16C] antibody to Trefoil Factor 2 for ELISA.
See all TFF2 Antibodies
Proteins predicted to interact with TFF2
Predicted protein interactions based upon String database. Revelancy score correlates with probability of interaction.
MUC5AC Antibodies
92.7% Relevancy Score
Gastric Mucin Antibodies
89.8% Relevancy Score
CXCR4 Antibodies
81.7% Relevancy Score
GKN2 Antibodies
78.5% Relevancy Score
Gastrin Antibodies
75.2% Relevancy Score
Intrinsic Factor Antibodies
70.2% Relevancy Score
Annexin A10 Antibodies
69.2% Relevancy Score
Gastrokine 1 Antibodies
66% Relevancy Score
MUC2 Antibodies
64.6% Relevancy Score
Top