Primary Antibodies
Secondary Antibodies
Proteins & Peptides
ELISA Kits
About Us
Contact Us
Sign In/Register
0
ISO 9001:2015 Certified
Live Customer Support
4.5/5 on Trustpilot
100% Quality Guarantee
Home
Primary Antibodies
TFPI2 Antibodies
Anti-TFPI2 Antibody (A45926)
Anti-TFPI2 Antibody (A45926)
Overview
Specifications
Images
Enlarge Image
Enlarge Image
$430
Product Datasheet
Rabbit polyclonal antibody to TFPI2 for IHC.
100% Guarantee
Price Match Guarantee
Product Size:
100µl
Quantity:
1
2
3
4
5
6
7
8
9
10
Add To Cart
Request a Quotation
Custom or Bulk Request
Shipping Information
Freight/Packing Charges:
$40
Dispatched from St. Louis, MO.
Lead Time: 6-9 business days.
Specifications
Name
Anti-TFPI2 Antibody
Description
Rabbit polyclonal antibody to TFPI2
Specificity
The antibody detects endogenous levels of total TFPI2 protein.
Applications
IHC
Reactivity
Human
Immunogen
Fusion protein corresponding to a region derived from internal residues of human tissue factor pathway inhibitor 2
Host
Rabbit
Clonality
Polyclonal
Conjugate
Unconjugated
Purification
Antigen affinity purification.
Concentration
1.1 mg/mL
Formulation
Supplied in PBS, pH 7.3, containing 0.05% sodium azide and 50% glycerol.
Storage
Shipped at 4°C. Upon delivery aliquot and store at -20°C. Avoid freeze/thaw cycles.
Synonyms
Placental protein 5, PP5, TFPI-2, Tissue factor pathway inhibitor 2
Suitable Secondaries
Goat Anti-Rabbit IgG H&L Antibody (AP) (A294874)
Goat Anti-Rabbit IgG H&L Antibody (Biotin) (A294795)
Goat Anti-Rabbit IgG H&L Antibody (FITC) (A294887)
Goat Anti-Rabbit IgG H&L Antibody (HRP) (A294888)
See all Anti-Rabbit IgG Secondaries →
Disclaimer
This product is for research use only. It is not intended for diagnostic or therapeutic use.
Scientific Validation Data
Validation Data
(2)
Enlarge Image
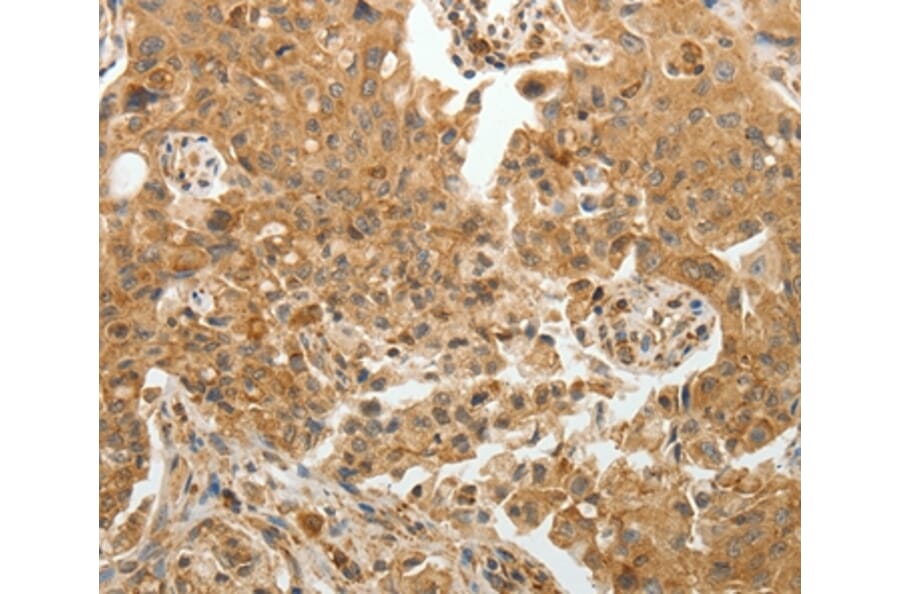
Immunohistochemistry - Anti-TFPI2 Antibody (A45926)
Immunohistochemical analysis of paraffin-embedded Human liver cancer tissue using #35956 at dilution 1/30.
Enlarge Image
Immunohistochemistry - Anti-TFPI2 Antibody (A45926)
Immunohistochemical analysis of paraffin-embedded Human lung cancer tissue using #35956 at dilution 1/30.
Publishing research using Anti-TFPI2 Antibody (A45926)? Please
let us know
so that we can list the citation on this page.
Alternative products to Anti-TFPI2 Antibody (A45926)
(2)
A100742
Anti-TFPI2 Antibody
Rabbit polyclonal antibody to TFPI2 for WB and ELISA.
A9817
Anti-TFPI2 Antibody
Rabbit polyclonal antibody to TFPI2 for WB and IHC.
A31153
Anti-TFPI2 Antibody
Rabbit polyclonal antibody to TFPI2 for WB and IHC.
(2)
A100742
Anti-TFPI2 Antibody
Rabbit polyclonal antibody to TFPI2 for WB and ELISA.
A9817
Anti-TFPI2 Antibody
Rabbit polyclonal antibody to TFPI2 for WB and IHC.
A31153
Anti-TFPI2 Antibody
Rabbit polyclonal antibody to TFPI2 for WB and IHC.
Proteins predicted to interact with TFPI2
Predicted protein interactions based upon String database. Revelancy score correlates with probability of interaction.
Tissue Factor Antibodies
90.1% Relevancy Score
BMP3 Antibodies
69.5% Relevancy Score
RASSF1 Antibodies
64.3% Relevancy Score
Plasminogen Antibodies
63.3% Relevancy Score
KLKB1 Antibodies
63% Relevancy Score
NDRG4 Antibodies
61% Relevancy Score
IGF2 Antibodies
59.6% Relevancy Score
Thrombomodulin Antibodies
54.1% Relevancy Score
Thrombospondin 1 Antibodies
52.8% Relevancy Score
Top