Western blot analysis of extracts of Mouse spleen, using Anti-TGF beta 1 Antibody (A92358) at 1:1,000 dilution. The secondary antibody was Goat Anti-Rabbit IgG H&L Antibody (HRP) at 1:10,000 dilution. Lysates/proteins were present at 25µg per lane. The blocking buffer used was 3% non-fat dry milk in TBST. Detection was with a ECL Basic Kit. Exposure time: 180s.
Immunohistochemistry analysis of paraffin-embedded human brain tissue using Anti-TGF beta 1 Antibody (A92358) at a dilution of 1:100 (40x lens). Perform high pressure antigen retrieval with 10 mM citrate buffer pH 6.0 before commencing with IHC staining protocol.
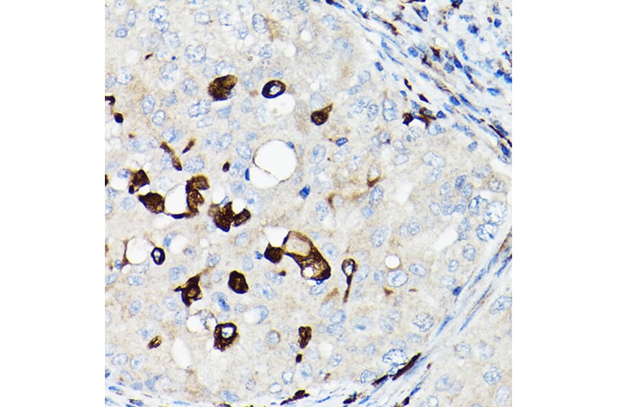
Immunohistochemistry analysis of paraffin-embedded human breast cancer tissue using Anti-TGF beta 1 Antibody (A92358) at a dilution of 1:100 (40x lens). Perform high pressure antigen retrieval with 10 mM citrate buffer pH 6.0 before commencing with IHC staining protocol.
Immunofluorescence analysis of A-549 cells using Anti-TGF beta 1 Antibody (A92358) at a dilution of 1:200 (40x lens). DAPI was used to stain the cell nuclei (blue).
Immunofluorescence analysis of K-562 cells using Anti-TGF beta 1 Antibody (A92358) at a dilution of 1:200 (40x lens). DAPI was used to stain the cell nuclei (blue).
Immunofluorescence analysis of NIH/3T3 cells using Anti-TGF beta 1 Antibody (A92358) at a dilution of 1:200 (40x lens). DAPI was used to stain the cell nuclei (blue).
Immunofluorescence analysis of PC-12 cells using Anti-TGF beta 1 Antibody (A92358) at a dilution of 1:200 (40x lens). DAPI was used to stain the cell nuclei (blue).
Recombinant human monoclonal antibody to TGF beta 1 for use as a research grade SRK-181 biosimilar for ELISA, Flow Cytometry, Functional Studies and in vivo Research.
Recombinant caninized monoclonal antibody to TGF beta 1 for use as a research grade Cirevetmab biosi for ELISA, Flow Cytometry, Functional Studies and in vivo Research.
Recombinant human monoclonal antibody to TGF beta 1 for use as a research grade Metelimumab biosimil for ELISA, Flow Cytometry, Functional Studies and in vivo Research.
Recombinant human monoclonal antibody to TGF beta 1 for use as a research grade SRK-181 biosimilar for ELISA, Flow Cytometry, Functional Studies and in vivo Research.
Recombinant caninized monoclonal antibody to TGF beta 1 for use as a research grade Cirevetmab biosi for ELISA, Flow Cytometry, Functional Studies and in vivo Research.
Recombinant human monoclonal antibody to TGF beta 1 for use as a research grade Metelimumab biosimil for ELISA, Flow Cytometry, Functional Studies and in vivo Research.