ISO 9001:2015 Certified
Live Customer Support
4.5/5 on Trustpilot
100% Quality Guarantee

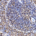
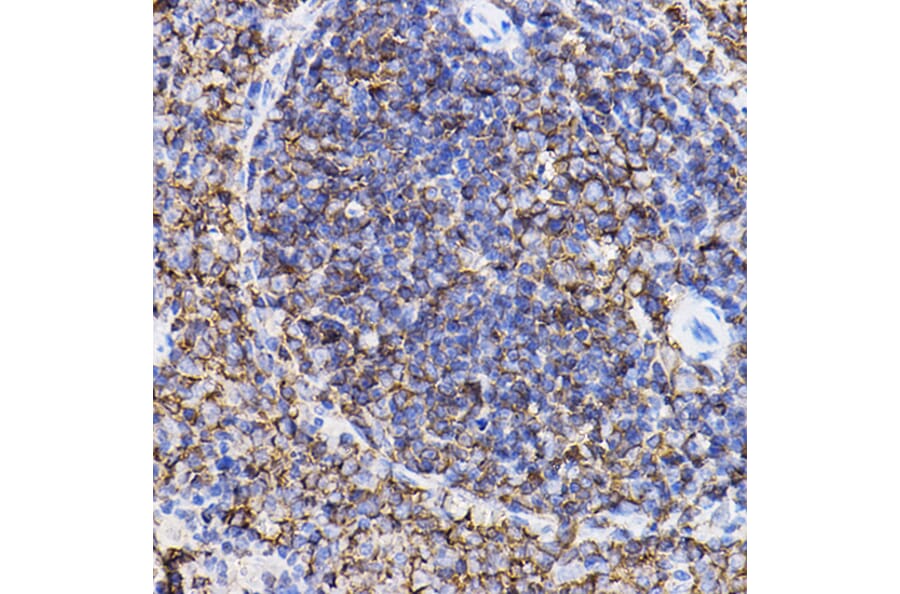
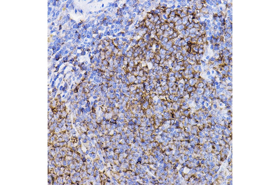
Anti-TGF beta Receptor II Antibody (A80719)

Rabbit polyclonal antibody to TGF beta Receptor II for WB and IHC.

Shipping Information

$40
Dispatched from St. Louis, MO.
Lead Time: 7-10 business days.
Name
Anti-TGF beta Receptor II Antibody
Description
Rabbit polyclonal antibody to TGF beta Receptor II.
Applications
WB, IHC
Dilutions
WB: 1:500-1:1,000, IHC: 1:50-1:200
Reactivity
Human, Mouse, Rat
Immunogen
Recombinant fusion protein containing a sequence corresponding to amino acids 237-549 of human TGF beta Receptor II (TGFBR2) (NP_003233.4).
Sequence
HNTELLPIELDTLVGKGRFAEVYKAKLKQNTSEQFETVAVKIFPYEEYASWKTEKDIFSDINLKHENILQFLTAEERKTELGKQYWLITAFHAKGNLQEYLTRHVISWEDLRKLGSSLARGIAHLHSDHTPCGRPKMPIVHRDLKSSNILVKNDLTCCLCDFGLSLRLDPTLSVDDLANSGQVGTARYMAPEVLESRMNLENVESFKQTDVYSMALVLWEMTSRCNAVGEVKDYEPPFGSKVREHPCVESMKDNVLRDRGRPEIPSFWLNHQGIQMVCETLTECWDHDPEARLTAQCVAERFSELEHLDRLSG
Host
Rabbit
Clonality
Polyclonal
Isotype
IgG
Conjugate

Unconjugated

Purification
Affinity purification.
Concentration
Lot Specific
Molecular Weight
90 kDa
Product Form
Liquid
Formulation
Supplied in Phosphate Buffered Saline, pH 7.3, with 50% Glycerol and 0.01% Thiomersal.
Storage
Shipped at 4°C. Upon delivery aliquot and store at -20°C. Avoid freeze/thaw cycles.
Synonyms
AAT3, FAA3, LDS1B, LDS2, LDS2B, MFS2, RIIC, TAAD2, TbetaR II, TbetaR-II, TGF beta receptor type 2, TGF beta receptor type II, TGF beta receptor type IIB, TGF beta type II receptor, TGF-beta receptor type II, TGF-beta receptor type-2, TGF-beta type II receptor, TGF-beta-R2, TGFB R2, TGFbeta - RII, TGFbeta RII, Tgfbr2, TGFR-2, TGFR2_HUMAN, Transforming growth factor beta receptor II, Transforming growth factor beta receptor type II, Transforming growth factor beta receptor type IIC, Transforming growth factor, beta receptor II (70/80kDa), transforming growth factor, beta receptor II alpha, transforming growth factor, beta receptor II beta, transforming growth factor, beta receptor II delta, transforming growth factor, beta receptor II epsilon, transforming growth factor, beta receptor II gamma, Transforming growth factor-beta receptor type II
Disclaimer
This product is for research use only. It is not intended for diagnostic or therapeutic use.
Publishing research using Anti-TGF beta Receptor II Antibody (A80719)? Please let us know so that we can list the citation on this page.

Alternative products to Anti-TGF beta Receptor II Antibody (A80719)