Primary Antibodies
Secondary Antibodies
Proteins & Peptides
ELISA Kits
About Us
Contact Us
Sign In/Register
0
ISO 9001:2015 Certified
Live Customer Support
4.5/5 on Trustpilot
100% Quality Guarantee
Home
Primary Antibodies
Anti-TGF β3 Antibody (A36802)
Anti-TGF β3 Antibody (A36802)
Overview
Specifications
Images
Enlarge Image
Enlarge Image
$290
Product Datasheet
Rabbit polyclonal antibody to TGF β3 for WB and IHC.
100% Guarantee
Price Match Guarantee
Product Size:
50µl
100µl
Quantity:
1
2
3
4
5
6
7
8
9
10
Add To Cart
Request a Quotation
Custom or Bulk Request
Shipping Information
Freight/Packing Charges:
$40
Dispatched from St. Louis, MO.
Lead Time: 6-9 business days.
Specifications
Name
Anti-TGF β3 Antibody
Description
Rabbit polyclonal antibody to TGF β3
Specificity
The antibody detects endogenous levels of total TGF β3 protein.
Applications
WB
,
IHC
Reactivity
Human, Mouse, Rat
Immunogen
Synthesized peptide derived from human TGF β3.
Host
Rabbit
Clonality
Polyclonal
Conjugate
Unconjugated
Purification
The antibody was affinity-purified from rabbit antiserum by affinity-chromatography using epitope-specific immunogen.
Concentration
1.0 mg/mL
Formulation
Rabbit IgG in phosphate buffered saline (without Mg2+ and Ca2+), pH 7.4, 150mM NaCl, 0.02% sodium azide and 50% glycerol.
Storage
Shipped at 4°C. Upon delivery aliquot and store at -20°C. Avoid freeze/thaw cycles.
Suitable Secondaries
Goat Anti-Rabbit IgG H&L Antibody (AP) (A294874)
Goat Anti-Rabbit IgG H&L Antibody (Biotin) (A294795)
Goat Anti-Rabbit IgG H&L Antibody (FITC) (A294887)
Goat Anti-Rabbit IgG H&L Antibody (HRP) (A294888)
See all Anti-Rabbit IgG Secondaries →
Disclaimer
This product is for research use only. It is not intended for diagnostic or therapeutic use.
Scientific Validation Data
Validation Data
(2)
Enlarge Image
Anti-TGF β3 Antibody (A36802)
Western blot analysis of extracts from COS7 cells, using TGF β3 antibody #33498.
Enlarge Image
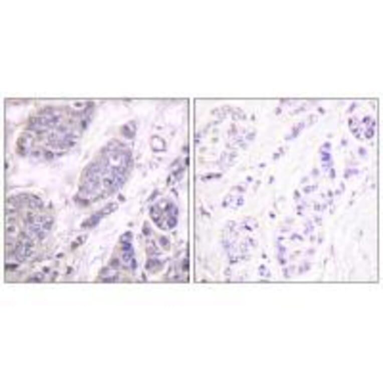
Immunohistochemistry - Anti-TGF β3 Antibody (A36802)
Immunohistochemical analysis of paraffin-embedded human breast carcinoma tissue using TGF β3 antibody #33498.
Publishing research using Anti-TGF β3 Antibody (A36802)? Please
let us know
so that we can list the citation on this page.
Top