Primary Antibodies
Secondary Antibodies
Proteins & Peptides
ELISA Kits
About Us
Contact Us
Sign In/Register
0
ISO 9001:2015 Certified
Live Customer Support
4.5/5 on Trustpilot
100% Quality Guarantee
Home
Primary Antibodies
TGFBI Antibodies
Anti-TGFBI Antibody (A37599)
Anti-TGFBI Antibody (A37599)
Overview
Specifications
Images
Enlarge Image
Enlarge Image
Enlarge Image
Enlarge Image
$415
Product Datasheet
Rabbit polyclonal antibody to TGFBI for WB and IHC.
100% Guarantee
Price Match Guarantee
Product Size:
50µl
100µl
Quantity:
1
2
3
4
5
6
7
8
9
10
Add To Cart
Request a Quotation
Custom or Bulk Request
Shipping Information
Freight/Packing Charges:
$40
Dispatched from St. Louis, MO.
Lead Time: 6-9 business days.
Specifications
Name
Anti-TGFBI Antibody
Description
Rabbit polyclonal antibody to TGFBI
Specificity
The antibody detects endogenous level of total TGFBI protein.
Applications
WB
,
IHC
Reactivity
Human, Mouse, Rat
Immunogen
Recombinant protein of human TGFBI.
Host
Rabbit
Clonality
Polyclonal
Conjugate
Unconjugated
Purification
Antibodies were purified by affinity purification using immunogen.
Concentration
1.0 mg/mL
Formulation
Supplied in phosphate-buffered saline (without Mg²? and Ca²?), pH 7.4, containing 150 mM NaCl, 0.02% sodium azide, and 50% glycerol.
Storage
Shipped at 4°C. Upon delivery aliquot and store at -20°C. Avoid freeze/thaw cycles.
Synonyms
Beta ig-h3, BIGH3, Kerato-epithelin, RGD-CAP, RGD-containing collagen-associated protein, Transforming growth factor-beta-induced protein ig-h3
Suitable Secondaries
Goat Anti-Rabbit IgG H&L Antibody (AP) (A294874)
Goat Anti-Rabbit IgG H&L Antibody (Biotin) (A294795)
Goat Anti-Rabbit IgG H&L Antibody (FITC) (A294887)
Goat Anti-Rabbit IgG H&L Antibody (HRP) (A294888)
See all Anti-Rabbit IgG Secondaries →
Disclaimer
This product is for research use only. It is not intended for diagnostic or therapeutic use.
Scientific Validation Data
Validation Data
(4)
Enlarge Image
Anti-TGFBI Antibody (A37599)
Western blot analysis of extracts of various cell lines, using TGFBI antibody.
Enlarge Image
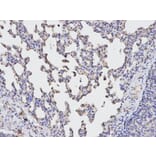
Immunohistochemistry - Anti-TGFBI Antibody (A37599)
Immunohistochemical analysis of paraffin-embedded rat lung using TGFBI antibody at dilution of 1: 100 (200x lens).
Enlarge Image
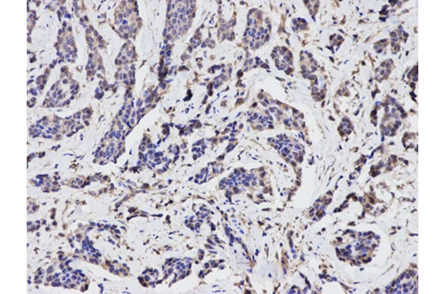
Immunohistochemistry - Anti-TGFBI Antibody (A37599)
Immunohistochemical analysis of paraffin-embedded human breast cancer using TGFBI antibody at dilution of 1: 100 (200x lens).
Enlarge Image
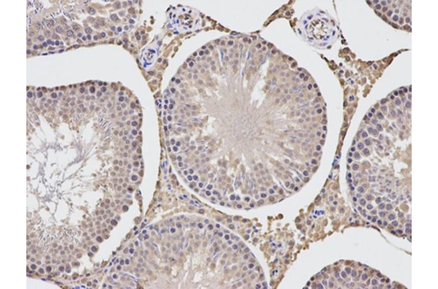
Immunohistochemistry - Anti-TGFBI Antibody (A37599)
Immunohistochemical analysis of paraffin-embedded rat testis using TGFBI antibody at dilution of 1: 100 (200x lens).
Publishing research using Anti-TGFBI Antibody (A37599)? Please
let us know
so that we can list the citation on this page.
Alternative products to Anti-TGFBI Antibody (A37599)
(7)
A14064
Anti-TGFBI Antibody
Rabbit polyclonal antibody to TGFBI for WB, IHC and ICC/IF.
(3)
A84753
Anti-TGFBI Antibody
Goat polyclonal antibody to TGFBI for ELISA, WB, IHC and IF.
(3)
A305475
Anti-TGFBI Antibody [ARC0757]
Rabbit monoclonal [ARC0757] antibody to TGFBI for WB and IHC.
A306671
Anti-TGFBI Antibody [ARC52500]
Rabbit monoclonal [ARC52500] antibody to TGFBI for WB.
(7)
A14064
Anti-TGFBI Antibody
Rabbit polyclonal antibody to TGFBI for WB, IHC and ICC/IF.
(3)
A84753
Anti-TGFBI Antibody
Goat polyclonal antibody to TGFBI for ELISA, WB, IHC and IF.
(3)
A305475
Anti-TGFBI Antibody [ARC0757]
Rabbit monoclonal [ARC0757] antibody to TGFBI for WB and IHC.
A306671
Anti-TGFBI Antibody [ARC52500]
Rabbit monoclonal [ARC52500] antibody to TGFBI for WB.
Proteins predicted to interact with TGFBI
Predicted protein interactions based upon String database. Revelancy score correlates with probability of interaction.
Fibronectin Antibodies
99.5% Relevancy Score
TGIF2 Antibodies
89% Relevancy Score
NDUFS2 Antibodies
87.6% Relevancy Score
TGIF2LY Antibodies
85.4% Relevancy Score
TGIF2LX Antibodies
84.9% Relevancy Score
Biglycan Antibodies
82.1% Relevancy Score
Decorin Antibodies
79.4% Relevancy Score
Integrin beta 3 Antibodies
77.1% Relevancy Score
MMP9 Antibodies
73.8% Relevancy Score
Top