Primary Antibodies
Secondary Antibodies
Proteins & Peptides
ELISA Kits
About Us
Contact Us
Sign In/Register
0
ISO 9001:2015 Certified
Live Customer Support
4.5/5 on Trustpilot
100% Quality Guarantee
Home
Primary Antibodies
TGM7 Antibodies
Anti-TGM7 Antibody (A47044)
Anti-TGM7 Antibody (A47044)
Overview
Specifications
Images
Enlarge Image
Enlarge Image
$430
Product Datasheet
Rabbit polyclonal antibody to TGM7 for IHC.
100% Guarantee
Price Match Guarantee
Product Size:
100µl
Quantity:
1
2
3
4
5
6
7
8
9
10
Add To Cart
Request a Quotation
Custom or Bulk Request
Shipping Information
Freight/Packing Charges:
$40
Dispatched from St. Louis, MO.
Lead Time: 6-9 business days.
Specifications
Name
Anti-TGM7 Antibody
Description
Rabbit polyclonal antibody to TGM7
Specificity
The antibody detects endogenous levels of total TGM7 protein.
Applications
IHC
Reactivity
Human
Immunogen
Synthetic peptide of human TGM7
Host
Rabbit
Clonality
Polyclonal
Conjugate
Unconjugated
Purification
Antigen affinity purification.
Concentration
1.9 mg/mL
Formulation
Rabbit IgG in pH7.4 PBS, 0.05% NaN3, 40% Glycerol.
Storage
Shipped at 4°C. Upon delivery aliquot and store at -20°C. Avoid freeze/thaw cycles.
Synonyms
EC:2.3.2.13, Protein-glutamine gamma-glutamyltransferase Z, TG(Z, TGase Z, TGase-7, TGZ, Transglutaminase Z, Transglutaminase-7
Suitable Secondaries
Goat Anti-Rabbit IgG H&L Antibody (AP) (A294874)
Goat Anti-Rabbit IgG H&L Antibody (Biotin) (A294795)
Goat Anti-Rabbit IgG H&L Antibody (FITC) (A294887)
Goat Anti-Rabbit IgG H&L Antibody (HRP) (A294888)
See all Anti-Rabbit IgG Secondaries →
Disclaimer
This product is for research use only. It is not intended for diagnostic or therapeutic use.
Scientific Validation Data
Validation Data
(2)
Enlarge Image
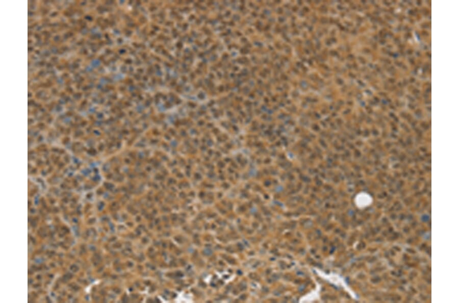
Immunohistochemistry - Anti-TGM7 Antibody (A47044)
Immunohistochemical analysis of paraffin-embedded Human lung cancer tissue using #43168 at dilution 1/30.
Enlarge Image
Immunohistochemistry - Anti-TGM7 Antibody (A47044)
Immunohistochemical analysis of paraffin-embedded Human ovarian cancer tissue using #43168 at dilution 1/30.
Publishing research using Anti-TGM7 Antibody (A47044)? Please
let us know
so that we can list the citation on this page.
Alternative products to Anti-TGM7 Antibody (A47044)
(2)
A84898
Anti-TGM7 Antibody
Goat polyclonal antibody to TGM7 for ELISA, WB and IHC.
A49714
Anti-TGM7 Antibody
Rabbit polyclonal antibody to TGM7 for ELISA and WB.
(2)
A84898
Anti-TGM7 Antibody
Goat polyclonal antibody to TGM7 for ELISA, WB and IHC.
A49714
Anti-TGM7 Antibody
Rabbit polyclonal antibody to TGM7 for ELISA and WB.
Proteins predicted to interact with TGM7
Predicted protein interactions based upon String database. Revelancy score correlates with probability of interaction.
KLHL6 Antibodies
48.7% Relevancy Score
ZMYM3 Antibodies
45.9% Relevancy Score
Dematin Antibodies
34.9% Relevancy Score
CD47 Antibodies
33.7% Relevancy Score
TBL1 Antibodies
30% Relevancy Score
CSMD3 Antibodies
29% Relevancy Score
GJB6 Antibodies
28.9% Relevancy Score
BIRC6 Antibodies
27.1% Relevancy Score
FAM5C Antibodies
27% Relevancy Score
Top