Primary Antibodies
Secondary Antibodies
Proteins & Peptides
ELISA Kits
About Us
Contact Us
Sign In/Register
0
ISO 9001:2015 Certified
Live Customer Support
4.5/5 on Trustpilot
100% Quality Guarantee
Home
Primary Antibodies
THBS4 Antibodies
Anti-THBS4 Antibody (A100638)
Anti-THBS4 Antibody (A100638)
Overview
Specifications
Images
Enlarge Image
Enlarge Image
$200
Product Datasheet
Rabbit polyclonal antibody to THBS4 for IHC and ELISA.
100% Guarantee
Price Match Guarantee
Product Size:
10µg
100µg
Quantity:
1
2
3
4
5
6
7
8
9
10
Add To Cart
Request a Quotation
Custom or Bulk Request
Shipping Information
Freight/Packing Charges:
$40
Dispatched from St. Louis, MO.
Lead Time: 6-8 business days.
Specifications
Name
Anti-THBS4 Antibody
Description
Rabbit polyclonal antibody to THBS4.
Applications
IHC
,
ELISA
Dilutions
IHC: 1:50~1:100, ELISA: 1:20000
Reactivity
Human
Immunogen
Synthetic peptide derived from human THBS4 (amino acids 561-610).
Host
Rabbit
Clonality
Polyclonal
Isotype
IgG
Conjugate
Unconjugated
Purification
Purified from rabbit serum by antigen affinity chromatography using the immunizing peptide.
Molecular Weight
105kDa
Product Form
Liquid
Formulation
Supplied in Phosphate Buffered Saline (without Mg2+ and Ca2+), pH 7.4, with 150mM NaCl, 0.02% Sodium Azide, and 50% Glycerol.
Storage
Shipped at 4°C. Upon delivery aliquot and store at -20°C. Avoid freeze / thaw cycles.
Synonyms
Thrombospondin-4, TSP4
Isotype Controls
Rabbit IgG (A82272)
Rabbit IgG (A17360)
Suitable Secondaries
Goat Anti-Rabbit IgG H&L Antibody (AP) (A294874)
Goat Anti-Rabbit IgG H&L Antibody (Biotin) (A294795)
Goat Anti-Rabbit IgG H&L Antibody (FITC) (A294887)
Goat Anti-Rabbit IgG H&L Antibody (HRP) (A294888)
See all Anti-Rabbit IgG Secondaries →
Disclaimer
This product is for research use only. It is not intended for diagnostic or therapeutic use.
Scientific Validation Data
Validation Data
(2)
Enlarge Image
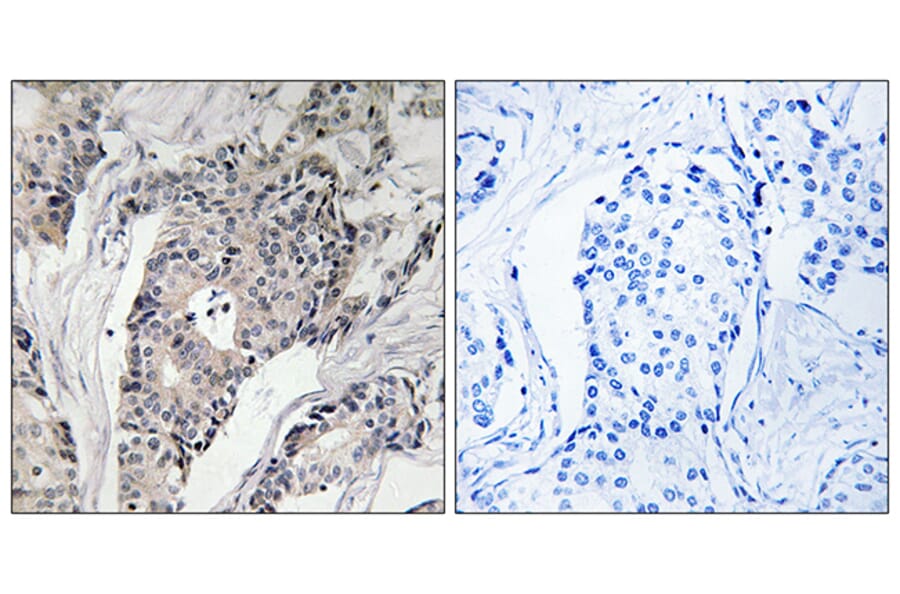
Immunohistochemistry - Anti-THBS4 Antibody (A100638)
Immunohistochemical analysis of paraffin-embedded human breast carcinoma using Anti-THBS4 Antibody. The right hand panel represents a negative control, where the antibody was pre-incubated with the immunising peptide.
Enlarge Image
Western Blot - Anti-THBS4 Antibody (A100638)
Western blot analysis of 293T lysis using Anti-THBS4 Antibody.
Publishing research using Anti-THBS4 Antibody (A100638)? Please
let us know
so that we can list the citation on this page.
Alternative products to Anti-THBS4 Antibody (A100638)
A49510
Anti-THBS4 Antibody
Rabbit polyclonal antibody to THBS4 for E and WB.
A87798
Anti-THBS4 Antibody
Rabbit polyclonal antibody to THBS4 for WB.
A49510
Anti-THBS4 Antibody
Rabbit polyclonal antibody to THBS4 for E and WB.
A87798
Anti-THBS4 Antibody
Rabbit polyclonal antibody to THBS4 for WB.
Proteins predicted to interact with THBS4
Predicted protein interactions based upon String database. Revelancy score correlates with probability of interaction.
CD47 Antibodies
96% Relevancy Score
CD36 Antibodies
96% Relevancy Score
Syndecan 1 Antibodies
94.6% Relevancy Score
Integrin beta 3 Antibodies
92.3% Relevancy Score
ATF6 Antibodies
91.8% Relevancy Score
Integrin beta 1 Antibodies
91.8% Relevancy Score
Syndecan 4 Antibodies
91.8% Relevancy Score
Integrin alpha V Antibodies
91.3% Relevancy Score
Integrin alpha 3 Antibodies
91.3% Relevancy Score
Top