ISO 9001:2015 Certified
Live Customer Support
4.5/5 on Trustpilot
100% Quality Guarantee

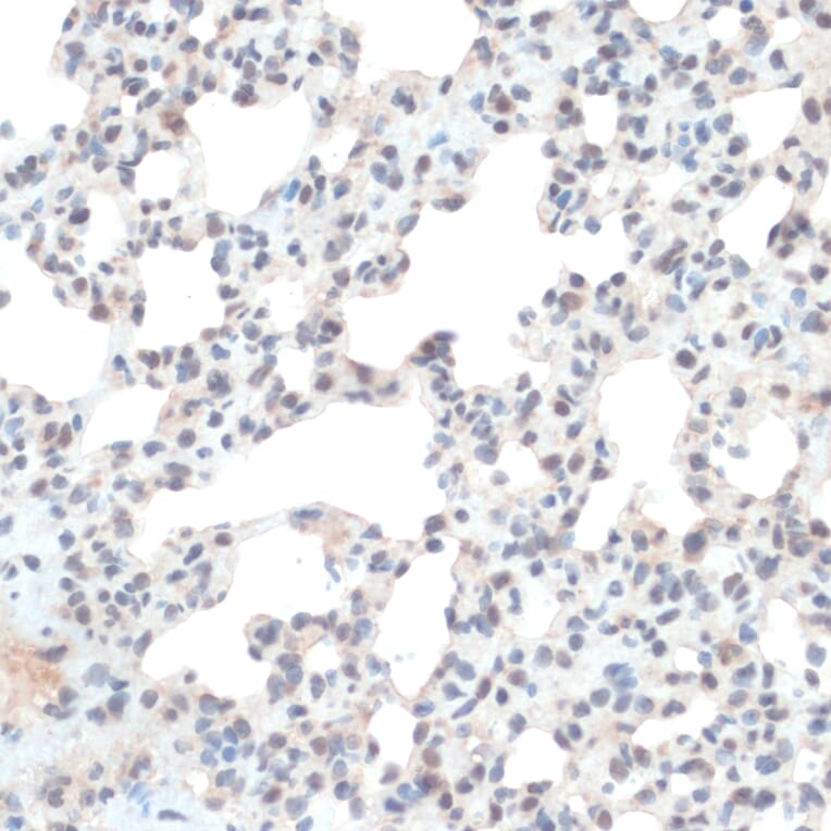
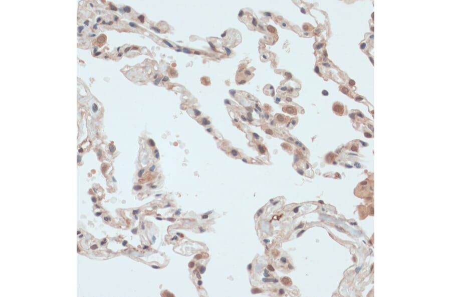
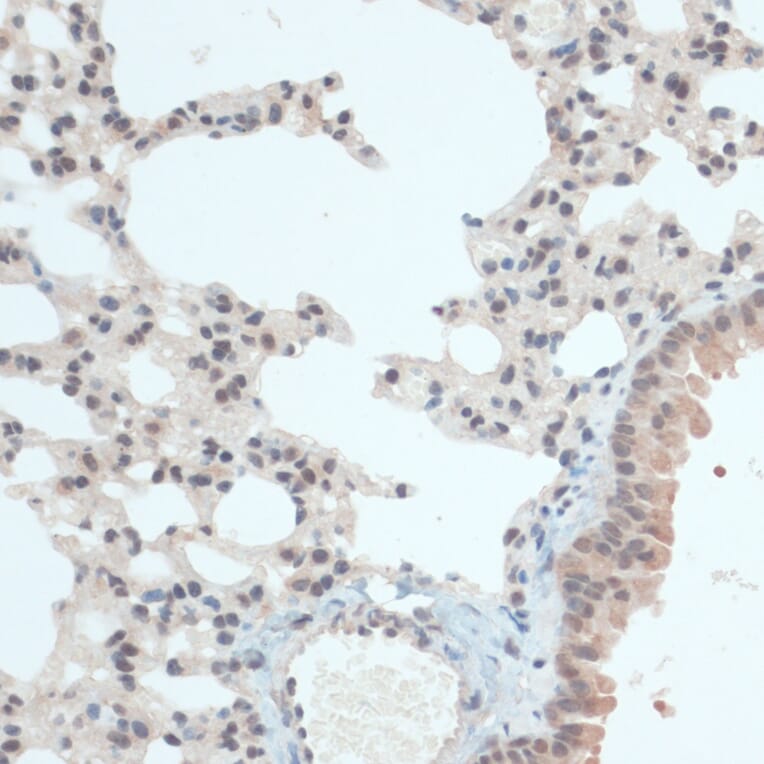
Anti-Thioredoxin / TRX Antibody (A91578)

This product is discontinued

Anti-Thioredoxin / TRX Antibody (A91578) has been discontinued and is no longer available.

View all Primary Antibodies.

Name
Anti-Thioredoxin / TRX Antibody
Description
Rabbit polyclonal antibody to Thioredoxin / TRX.
Applications
WB, IHC, ICC/IF
Dilutions
WB: 1:500-1:2,000, IHC: 1:50-1:200, ICC/IF: 1:50-1:200
Reactivity
Human, Mouse, Rat
Immunogen
A synthetic peptide corresponding to a sequence within amino acids 20 to the C-terminus of human Thioredoxin 1 (Trx1/Thioredoxin 1 (Trx1/TXN)) (NP_003320.2).
Sequence
DKLVVVDFSATWCGPCKMIKPFFHSLSEKYSNVIFLEVDVDDCQDVASECEVKCMPTFQFFKKGQKVGEFSGANKEKLEATINELV
Host
Rabbit
Clonality
Polyclonal
Isotype
IgG
Conjugate

Unconjugated

Purification
Affinity purification.
Molecular Weight
12 kDa
Product Form
Liquid
Formulation
Supplied in Phosphate Buffered Saline, pH 7.3, with 50% Glycerol and 0.02% Sodium Azide.
Storage
Shipped at 4°C. Upon delivery aliquot and store at -20°C. Avoid freeze / thaw cycles.
Synonyms
ADF, ATL derived factor, ATL-derived factor, DKFZp686B1993, MGC61975, SASP, Surface associated sulphydryl protein, Surface-associated sulphydryl protein, testicular tissue protein Li 199, Thioredoxin, thioredoxin delta 3, THIO_HUMAN, TRDX, Trx, TRX 1, TRX1, TXN, TXN delta 3, TXN protein, zgc:92903
Disclaimer
This product is for research use only. It is not intended for diagnostic or therapeutic use.

Alternative products to Anti-Thioredoxin / TRX Antibody (A91578)