ISO 9001:2015 Certified
Live Customer Support
4.5/5 on Trustpilot
100% Quality Guarantee

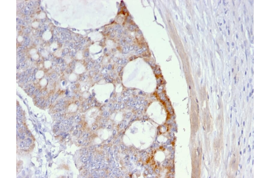
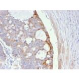
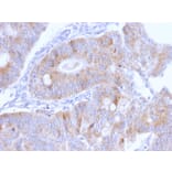
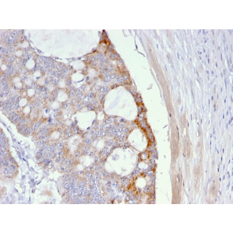
Anti-Thomsen-Friedenreich Antigen Antibody [A63-C/A9] (A251097)

Mouse monoclonal [A63-C/A9] antibody to Thomsen-Friedenreich Antigen for IF, IHC-Fr and IHC-P.

Alternative Formats and ConjugatesAlternative Formats

Shipping Information

$40
Dispatched from St. Louis, MO.
Lead Time: 5-8 business days.
Name
Anti-Thomsen-Friedenreich Antigen Antibody [A63-C/A9]
Description
Mouse monoclonal [A63-C/A9] antibody to Thomsen-Friedenreich Antigen.
Specificity
This antibody recognizes a disaccharide epitope, Gal 1-3GalNAc, of Thomsen-Friedenreich (TF) antigen. It is specific for both anomeric forms of the disaccharide (TF and TF , including related structures on the glycolipid) and shows no cross-reactivity with sialylated glycophorin. The Thomsen-Friedenreich antigen acts as an oncofetal antigen, with low expression in normal adult tissues but increasing to fetal levels of expression in hyperplasia or malignancy. It is considered as a pan-carcinoma marker. This MAb is capable to agglutinate desialylated red blood cells. During metastasis, the ability of malignant cells to form multicellular aggregates via homotypic or heterotypic aggregation and their adhesion to the endothelium are critical. The tumor-associated carbohydrate Thomsen-Friedenreich antigen (Gal-GalNAc) is involved in tumor cell adhesion and tissue invasion. It also causes an immune response, and overexpression of the antigen causes cancer cells to be more sensitive to natural killer cell lysis. The Thomsen-Friedenreich antigen is suppressed in normal healthy cells and represents one of the few chemically well-defined antigens associated with tumor malignancy. The presence of the Thomsen-Friedenreich antigen on the surface of cancer cells may result from a divergence from the normal pathway for O-linked glycosylation in these cells, most likely caused by inappropriate localization of the enzymes involved in synthesis of the disaccharide.
Applications
IF, IHC-Fr, IHC-P
Dilutions
IF: 1-2 µg/ml, IHC-Fr: 1-2 µg/ml
Reactivity
Human, Mouse, Rat
Immunogen
Neuraminidase-treated human red blood cells.
Host
Mouse
Clonality
Monoclonal
Clone ID
A63-C/A9
Isotype
IgM
Light Chains
kappa
Conjugate

Unconjugated

Concentration
200 µg/ml
Product Form
Liquid
Formulation
Supplied in 10mM Phosphate Buffered Saline with 0.05% BSA and 0.05% Sodium Azide.
Storage
Shipped at 4°C. Upon delivery aliquot and store at -20°C. Avoid freeze / thaw cycles.
General Notes
This monoclonal antibody is also available in a different formulation without BSA and Sodium Azide - Anti-Thomsen-Friedenreich Antigen Antibody [A63-C/A9] - BSA and Azide free (A254374).
Isotype Controls
Disclaimer
This product is for research use only. It is not intended for diagnostic or therapeutic use.
Publishing research using Anti-Thomsen-Friedenreich Antigen Antibody [A63-C/A9] (A251097)? Please let us know so that we can list the citation on this page.

Alternative products to Anti-Thomsen-Friedenreich Antigen Antibody [A63-C/A9] (A251097)