Western Blot - Anti-Thrombospondin 1 Antibody (A11512)
Western blot analysis of extracts of Mouse liver, using Anti-Thrombospondin 1 Antibody (A11512) at 1:500 dilution. The secondary antibody was Goat Anti-Rabbit IgG H&L Antibody (HRP) at 1:10,000 dilution. Lysates/proteins were present at 25µg per lane. The blocking buffer used was 3% non-fat dry milk in TBST. Detection was with a ECL Basic Kit. Exposure time: 180s.
Western Blot - Anti-Thrombospondin 1 Antibody (A11512)
Western blot analysis of extracts of Rat lung, using Anti-Thrombospondin 1 Antibody (A11512) at 1:500 dilution. The secondary antibody was Goat Anti-Rabbit IgG H&L Antibody (HRP) at 1:10,000 dilution. Lysates/proteins were present at 25µg per lane. The blocking buffer used was 3% non-fat dry milk in TBST. Detection was with a ECL Basic Kit. Exposure time: 180s.
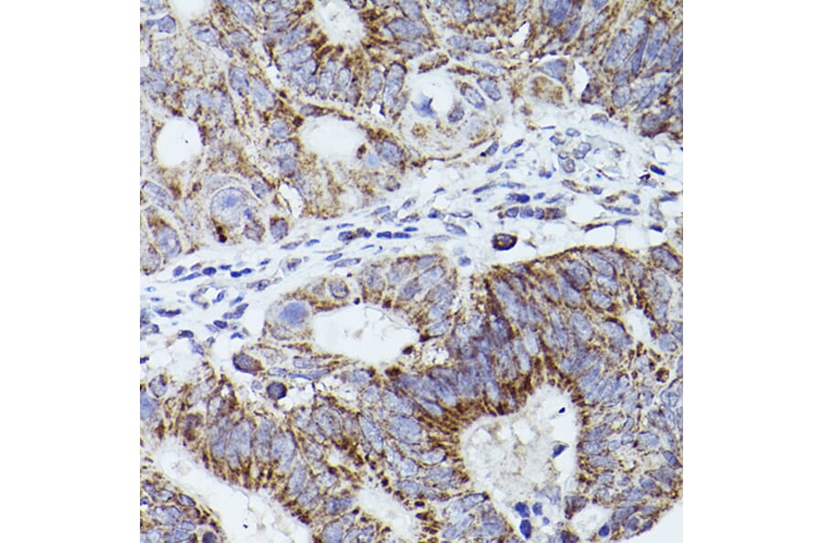
Immunohistochemistry analysis of paraffin-embedded human colon carcinoma tissue using Anti-Thrombospondin 1 Antibody (A11512) at a dilution of 1:50 (40x lens). Perform high pressure antigen retrieval with 10 mM citrate buffer pH 6.0 before commencing with IHC staining protocol.
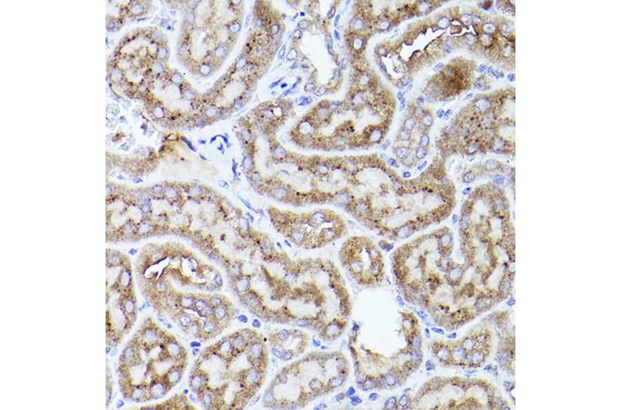
Immunohistochemistry analysis of paraffin-embedded mouse kidney using Anti-Thrombospondin 1 Antibody (A11512) at a dilution of 1:50 (40x lens). Perform high pressure antigen retrieval with 10 mM citrate buffer pH 6.0 before commencing with IHC staining protocol.
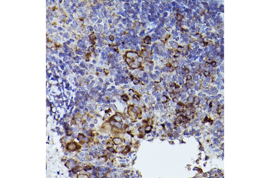
Immunohistochemistry analysis of paraffin-embedded mouse spleen using Anti-Thrombospondin 1 Antibody (A11512) at a dilution of 1:50 (40x lens). Perform high pressure antigen retrieval with 10 mM citrate buffer pH 6.0 before commencing with IHC staining protocol.
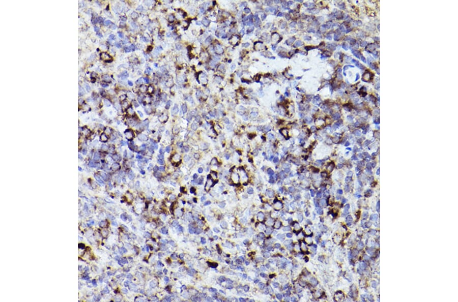
Immunohistochemistry analysis of paraffin-embedded rat spleen using Anti-Thrombospondin 1 Antibody (A11512) at a dilution of 1:50 (40x lens). Perform high pressure antigen retrieval with 10 mM citrate buffer pH 6.0 before commencing with IHC staining protocol.
Recombinant canis monoclonal antibody to Glycoprotein G for use as a research grade Rafivirumab bios for ELISA, Flow Cytometry, Functional Studies and in vivo Research.
Recombinant canis monoclonal antibody to Glycoprotein G for use as a research grade Rafivirumab bios for ELISA, Flow Cytometry, Functional Studies and in vivo Research.