ISO 9001:2015 Certified
Live Customer Support
4.5/5 on Trustpilot
100% Quality Guarantee

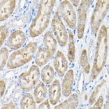
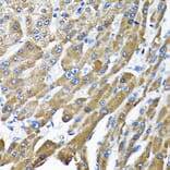
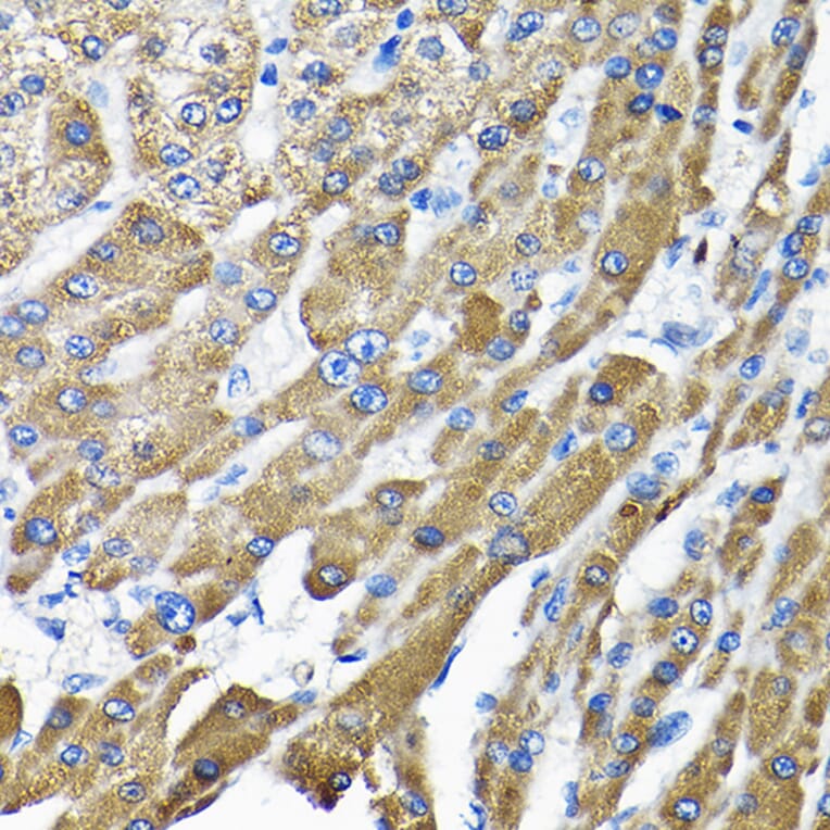
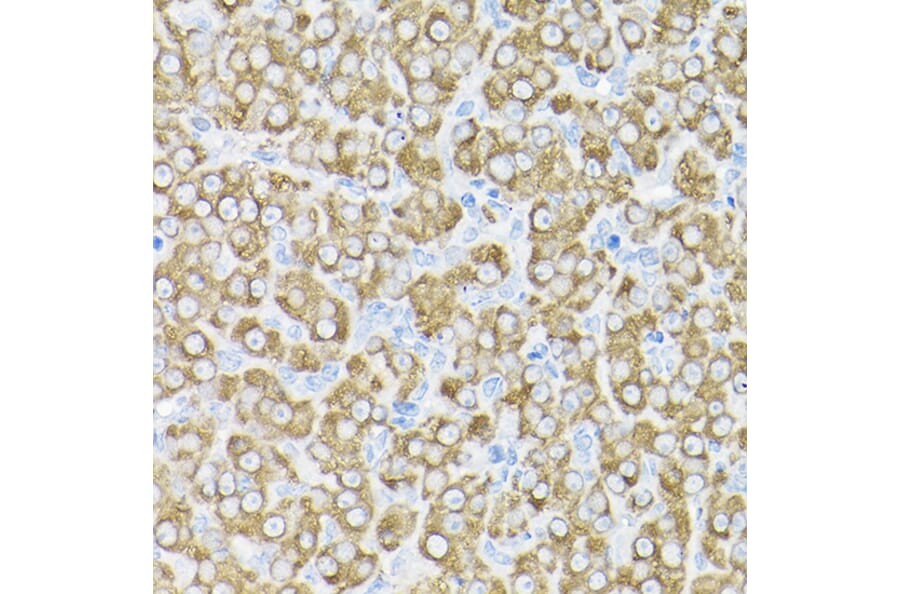
Anti-THUMPD3 Antibody (A11309)

Rabbit polyclonal antibody to THUMPD3 for WB and IHC.

Shipping Information

$40
Dispatched from St. Louis, MO.
Lead Time: 7-10 business days.
Name
Anti-THUMPD3 Antibody
Description
Rabbit polyclonal antibody to THUMPD3.
Applications
WB, IHC
Dilutions
WB: 1:500-1:2,000, IHC: 1:50-1:200
Reactivity
Human, Mouse, Rat
Immunogen
Recombinant fusion protein containing a sequence corresponding to amino acids 1-250 of human THUMPD3 (NP_056268.2).
Sequence
MCDIEEATNQLLDVNLHENQKSVQVTESDLGSESELLVTIGATVPTGFEQTAADEVREKLGSSCKISRDRGKIYFVISVESLAQVHCLRSVDNLFVVVQEFQDYQFKQTKEEVLKDFEDLAGKLPWSNPLKVWKINASFKKKKAKRKKINQNSSKEKINNGQEVKIDQRNVKKEFTSHALDSHILDYYENPAIKEDVSTLIGDDLASCKDETDESSKEETEPQVLKFRVTCNRAGEKHCFTSNEAARDFG
Host
Rabbit
Clonality
Polyclonal
Isotype
IgG
Conjugate

Unconjugated

Purification
Affinity purification.
Concentration
Lot Specific
Molecular Weight
57 kDa
Product Form
Liquid
Formulation
Supplied in Phosphate Buffered Saline, pH 7.3, with 50% Glycerol and 0.02% Sodium Azide.
Storage
Shipped at 4°C. Upon delivery aliquot and store at -20°C. Avoid freeze/thaw cycles.
Synonyms
THUMP domain-containing protein 3, tRNA (guanine(6)-N2)-methyltransferase THUMP3
Disclaimer
This product is for research use only. It is not intended for diagnostic or therapeutic use.
Publishing research using Anti-THUMPD3 Antibody (A11309)? Please let us know so that we can list the citation on this page.

Proteins predicted to interact with THUMPD3

Predicted protein interactions based upon String database. Revelancy score correlates with probability of interaction.
73.2% Relevancy Score
62.3% Relevancy Score
57.7% Relevancy Score
55.5% Relevancy Score
53.8% Relevancy Score
53.7% Relevancy Score
53% Relevancy Score
52.1% Relevancy Score