ISO 9001:2015 Certified
Live Customer Support
4.5/5 on Trustpilot
100% Quality Guarantee

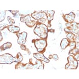
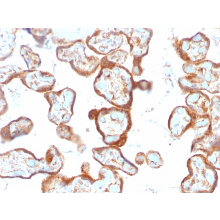
Anti-Thymidine Phosphorylase Antibody [SPM322] - BSA and Azide free (A251565)

Mouse monoclonal [SPM322] antibody to Thymidine Phosphorylase for WB, IP and IHC-P.

Alternative Formats and ConjugatesAlternative Formats

Shipping Information

$40
Dispatched from St. Louis, MO.
Lead Time: 5-8 business days.
Name
Anti-Thymidine Phosphorylase Antibody [SPM322] - BSA and Azide free
Description
Mouse monoclonal [SPM322] antibody to Thymidine Phosphorylase.
Specificity
This antibody recognizes a protein (amino acid 482) of 55kDa (in vivo 110kDa homodimer), identified as platelet-derived endothelial growth factor (PD-ECGF), same as thymidine phosphorylase (TP) or gliostatin. In the presence of inorganic orthophosphate, it catalyzes the reversible phospholytic cleavage of thymidine and deoxyuridine to their corresponding bases and 2-deoxyribose-1-phosphate. It is both chemotactic and mitogenic for endothelial cells and a non-heparin binding angiogenic factor present in platelets. Its enzymatic activity is crucial for angiogenic activity (metabolite is angiogenic). Higher levels of serum TP/PD-ECGF are observed in cancer patients. It is also involved in transformation of fluoropyrimidines, cytotoxic agents used in the treatment of a variety of malignancies, into active cytotoxic metabolites (e.g. 5-deoxy-5-fluorouridine to 5-FU). High intra-cellular levels of TP/PD-ECGF are associated with increased chemosensitivity to such antimetabolites.
Applications
WB, IP, IHC-P
Dilutions
WB: 1-2 µg/ml, IP: 0.5-1 µg / 500 µg protein lysate, IHC-P: 1-2 µg/ml
Reactivity
Human, Mouse, Rat
Immunogen
Recombinant full-length human Thymidine Phosphorylase protein.
Host
Mouse
Clonality
Monoclonal
Clone ID
SPM322
Isotype
IgG1
Light Chains
kappa
Conjugate

Unconjugated

Purification
Protein A/G chromatography.
Concentration
1 mg/ml
Molecular Weight
55 kDa
Product Form
Liquid
Formulation
Supplied in 10mM Phosphate Buffered Saline; without Sodium Azide and carrier free.
Storage
Shipped at 4°C. Upon delivery aliquot and store at -20°C. Avoid freeze / thaw cycles.
General Notes
This monoclonal antibody is also available in a different formulation with BSA and Sodium Azide - Anti-Thymidine Phosphorylase Antibody [SPM322] (A248383).
Synonyms
ECGF1, Gliostatin, PD-ECGF, Platelet-derived endothelial cell growth factor, TdRPase, TP, TYMP
Disclaimer
This product is for research use only. It is not intended for diagnostic or therapeutic use.
Publishing research using Anti-Thymidine Phosphorylase Antibody [SPM322] - BSA and Azide free (A251565)? Please let us know so that we can list the citation on this page.

Alternative products to Anti-Thymidine Phosphorylase Antibody [SPM322] - BSA and Azide free (A251565)

Proteins predicted to interact with Thymidine Phosphorylase

Predicted protein interactions based upon String database. Revelancy score correlates with probability of interaction.
99.9% Relevancy Score
99.7% Relevancy Score
99.7% Relevancy Score
99.6% Relevancy Score
98.1% Relevancy Score
94.8% Relevancy Score
93.1% Relevancy Score
92.7% Relevancy Score