ISO 9001:2015 Certified
Live Customer Support
4.5/5 on Trustpilot
100% Quality Guarantee

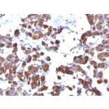
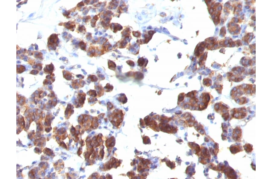
Anti-Thyroglobulin Antibody [TGB04 + TGB05] - BSA and Azide free (A253288)

Mouse monoclonal [TGB04 + TGB05] antibody to Thyroglobulin for Flow Cytometry and IHC-P.

Alternative Formats and ConjugatesAlternative Formats

Shipping Information

$40
Dispatched from St. Louis, MO.
Lead Time: 5-8 business days.
Name
Anti-Thyroglobulin Antibody [TGB04 + TGB05] - BSA and Azide free
Description
Mouse monoclonal [TGB04 + TGB05] antibody to Thyroglobulin.
Specificity
Thyroglobulin is a 660kDa dimeric pre-protein with mutiple glycosylation sites. It is produced by and processed within the thyroid gland to produce the hormone thyroxine and triiodothyronine. Prior to forming dimers, thyroglobulin monomers undergo conformational maturation in the endoplasmic reticulation. The vast majority of follicular carcinomas of the thyroid will give positive immunoreactivity for anti-thyroglobulin even though sometimes only focally. Poorly differentiated carcinomas of the thyroid are frequently anti-thyroglobulin negative. Adenocarcinomas of other-than-thyroid origin do not react with this antibody. This antibody is useful in identification of thyroid carcinoma of the papillary and follicular types. Presence of thyroglobulin in metastatic lesions establishes the thyroid origin of tumor. Anti-thyroglobulin, combined with anti-calcitonin, can identify medullary carcinomas of the thyroid. Furthermore, anti-thyroglobulin, combined with anti-TTF1, can be a reliable marker to differentiate between primary thyroid and lung neoplasms.
Applications
Flow Cytometry, IHC-P
Dilutions
Flow Cytometry: 0.5-1 µg/million cells, IHC-P: 1-2 µg/ml
Reactivity
Human, Mouse, Rat
Immunogen
Human thyroid follicular cells.
Host
Mouse
Clonality
Oligoclonal
Clone ID
TGB04 + TGB05
Isotype
IgG1, kappa + IgG1, kappa
Conjugate

Unconjugated

Purification
Protein A/G chromatography.
Concentration
1 mg/ml
Molecular Weight
660 kDa (dimeric Form)
Product Form
Liquid
Formulation
Supplied in 10mM Phosphate Buffered Saline; without Sodium Azide and carrier free.
Storage
Shipped at 4°C. Upon delivery aliquot and store at -20°C. Avoid freeze / thaw cycles.
General Notes

Please note, this product is an oligoclonal antibody; it is a cocktail of monoclonal antibodies that have been carefully selected. Oligoclonal antibodies not only have the specificity and batch-to-batch consistency of a monoclonal antibody, but they also have the advantage of the sensitivity of a polyclonal antibody due to their ability to recognize multiple epitopes on an antigen.

This oligoclonal antibody is also available in a different formulation with BSA and Sodium Azide - Anti-Thyroglobulin Antibody [TGB04 + TGB05] (A250108).

Synonyms
Tg
Disclaimer
This product is for research use only. It is not intended for diagnostic or therapeutic use.
Publishing research using Anti-Thyroglobulin Antibody [TGB04 + TGB05] - BSA and Azide free (A253288)? Please let us know so that we can list the citation on this page.

Alternative products to Anti-Thyroglobulin Antibody [TGB04 + TGB05] - BSA and Azide free (A253288)

Proteins predicted to interact with Thyroglobulin

Predicted protein interactions based upon String database. Revelancy score correlates with probability of interaction.
98.5% Relevancy Score
97.2% Relevancy Score
97.2% Relevancy Score
96.6% Relevancy Score
94.9% Relevancy Score
93.3% Relevancy Score
92.3% Relevancy Score
91.2% Relevancy Score