ISO 9001:2015 Certified
Live Customer Support
4.5/5 on Trustpilot
100% Quality Guarantee

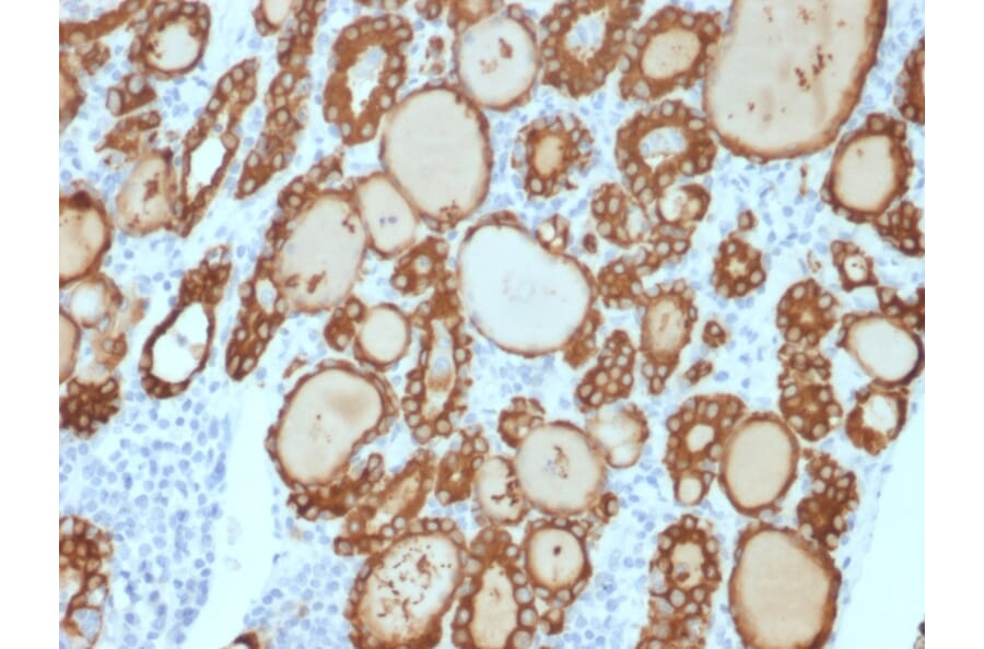
Recombinant Anti-Thyroid Peroxidase Antibody [TPO/3813R] - BSA and Azide free (A253385)

Recombinant rabbit monoclonal [TPO/3813R] antibody to Thyroid Peroxidase for IHC-P.

Alternative Formats and ConjugatesAlternative Formats

Shipping Information

$40
Dispatched from St. Louis, MO.
Lead Time: 5-8 business days.
Name
Anti-Thyroid Peroxidase Antibody [TPO/3813R] - BSA and Azide free
Description
Recombinant rabbit monoclonal [TPO/3813R] antibody to Thyroid Peroxidase.
Specificity
Thyroperoxidase (TPO) is a 933-amino acid, type I transmembrane glycoprotein that plays a key role in thyroid gland function and autoimmunity. It is present as a dimer on the apical surface of thyroid follicular cells. TPO functions in the iodination of tyrosine residues in thyroglobulin and phenoxy-ester formation between pairs of iodinated tyrosines to generate the thyroid hormones, thyroxine and triiodothyronine. Mutations in this gene are associated with several disorders of thyroid hormonogenesis, including congenital hypothyroidism, congenital goiter, and thyroid hormone organification defect IIA.Malignant thyroid tumors exhibit an anomaly in TPO resulting in lower affinity for anti-TPO. This antibody may aid in the differentiation between benign and malignant thyroid tumors.
Applications
IHC-P
Dilutions
IHC-P: 1-2 µg/ml
Reactivity
Human
Immunogen
Recombinant fragment, around amino acids 685-804, of human TPO protein. The exact sequence is proprietary.
Host
Rabbit
Clonality
Monoclonal
Clone ID
TPO/3813R
Isotype
IgG
Conjugate

Unconjugated

Purification
Protein A/G chromatography.
Concentration
1 mg/ml
Molecular Weight
100 kDa
Product Form
Liquid
Formulation
Supplied in 10mM Phosphate Buffered Saline; without Sodium Azide and carrier free.
Storage
Shipped at 4°C. Upon delivery aliquot and store at -20°C. Avoid freeze / thaw cycles.
General Notes
This monoclonal antibody is also available in a different formulation with BSA and Sodium Azide - Anti-Thyroid Peroxidase Antibody [TPO/3813R] (A250205).
Synonyms
TPO
Disclaimer
This product is for research use only. It is not intended for diagnostic or therapeutic use.
Publishing research using Recombinant Anti-Thyroid Peroxidase Antibody [TPO/3813R] - BSA and Azide free (A253385)? Please let us know so that we can list the citation on this page.

Alternative products to Anti-Thyroid Peroxidase Antibody [TPO/3813R] - BSA and Azide free (A253385)

Proteins predicted to interact with Thyroid Peroxidase

Predicted protein interactions based upon String database. Revelancy score correlates with probability of interaction.
98.5% Relevancy Score
97.1% Relevancy Score
94.6% Relevancy Score
92.4% Relevancy Score
91.8% Relevancy Score
91.4% Relevancy Score
91.1% Relevancy Score
90.9% Relevancy Score