ISO 9001:2015 Certified
Live Customer Support
4.5/5 on Trustpilot
100% Quality Guarantee

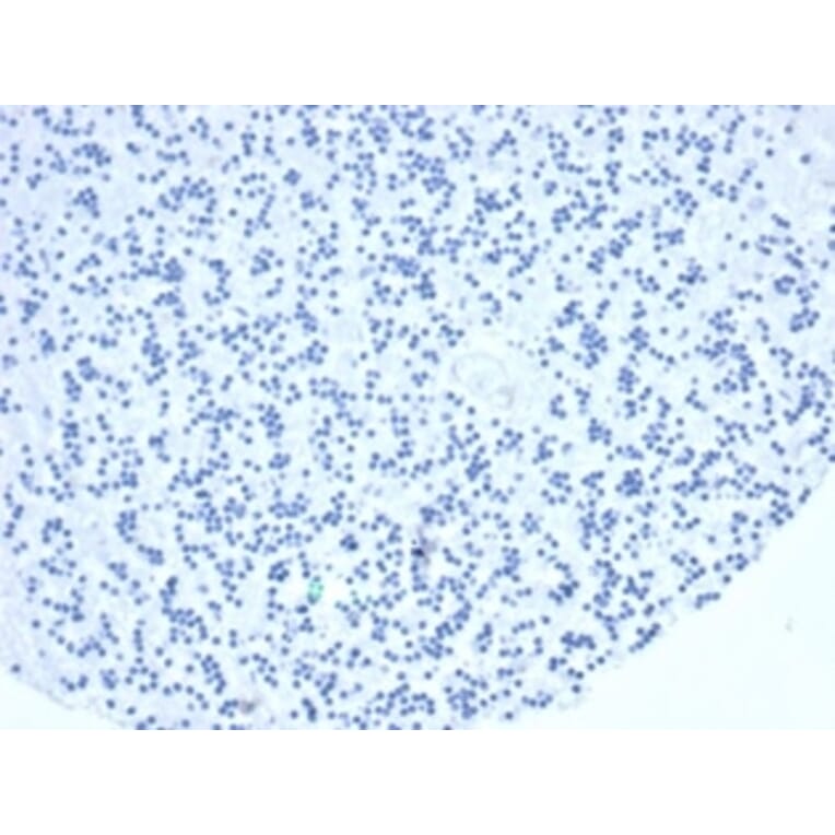
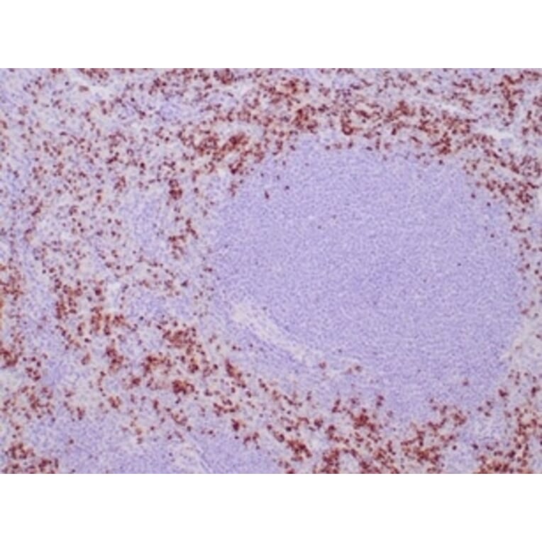
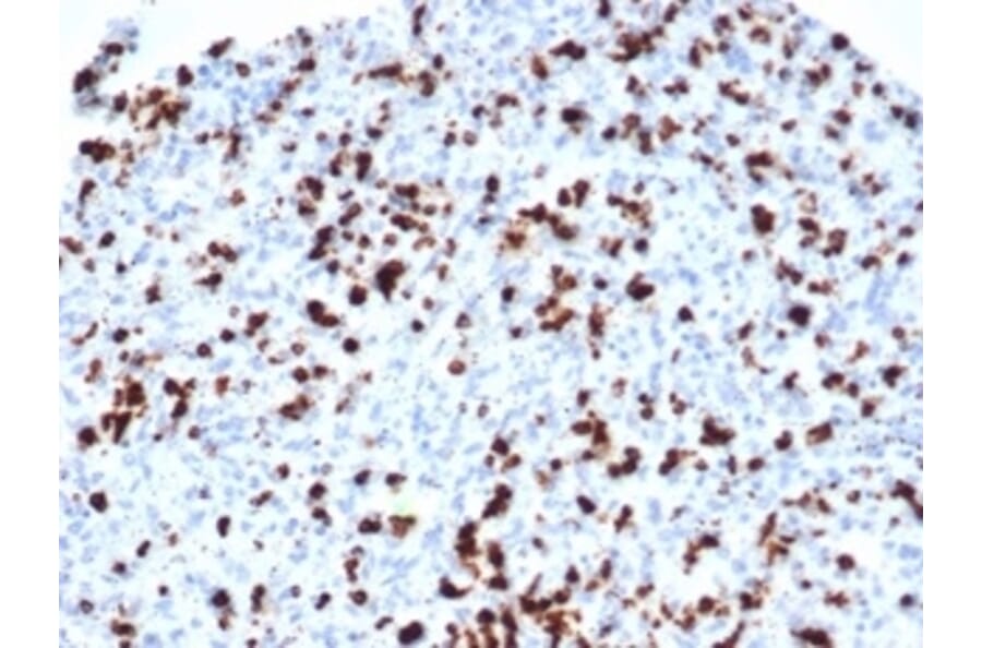
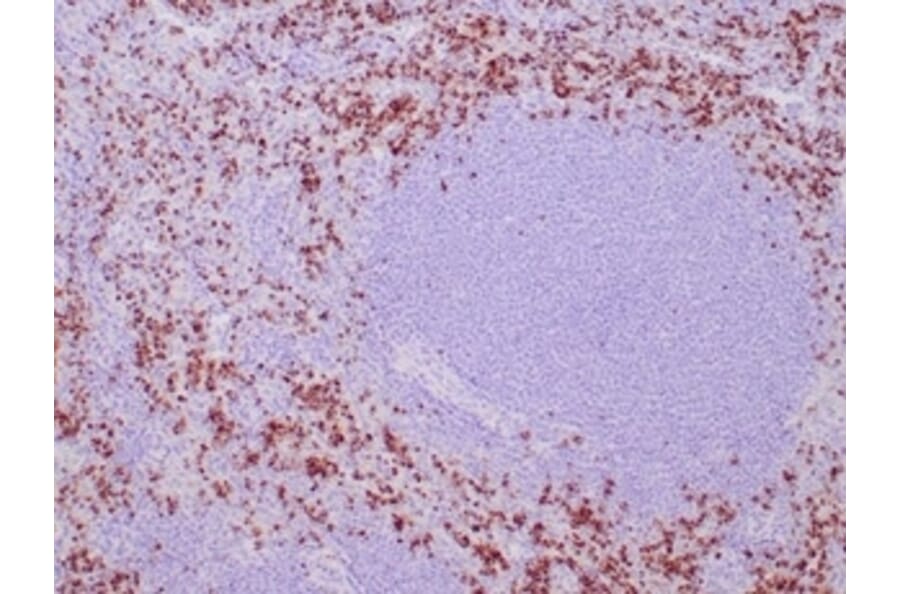
Recombinant Anti-TIA1 Antibody [TIA1/1352R] - BSA and Azide free (A278659)

Recombinant rabbit monoclonal [TIA1/1352R] antibody to TIA1 for IHC-P.

Alternative Formats and ConjugatesAlternative Formats

Shipping Information

$40
Dispatched from St. Louis, MO.
Lead Time: 5-8 business days.
Name
Anti-TIA1 Antibody [TIA1/1352R] - BSA and Azide free
Description
Recombinant rabbit monoclonal [TIA1/1352R] antibody to TIA1.
Specificity
The T cell intracellular antigen 1 (TIA 1) is a 17 kDa cytoplasmic granule associated protein also designated as GMP 17, for granule membrane protein of 17 kDa. The GMP 17/TIA 1 molecule is expressed in cells possessing cytolytic potential and could be involved in the signaling cascade of Fas (CD95) mediated apoptosis. Within hematopoietic cell lines, the TIA1/1352R monoclonal antibody reacts with about 90% of CD16+, 50 60% of CD8+, and less than 10% of CD4+ normal peripheral blood lymphocytes. It reacts with almost all monocytes and granulocytes. This antibody also reacts with CD4+ activated T cell clones, activated NK cell clones, and Con activated thymocytes, but not with B lymphocytes or B cell lines. TIA1 antibody labels cytotoxic T cells and natural killer cells (NK cells). It is also expressed in T-cell lymphoma, large granular lymphocyte (LGL) leukemia and hairy cell leukemia. TIA1 expression in T-cell malignancies may help in differentiating LGL leukemia (high expression) from T-cell lymphocytosis and other T-cell diseases (low expression). TIA1 may also be used to label tumor-infiltrating lymphocytes in the study of immune response to malignancies.
Applications
IHC-P
Dilutions
IHC-P: 1-2 µg/ml
Reactivity
Human
Immunogen
Human bone marrow malignant cells from a non B, non T acute leukemia.
Host
Rabbit
Clonality
Monoclonal
Clone ID
TIA1/1352R
Isotype
IgG
Conjugate

Unconjugated

Purification
Protein A chromatography.
Concentration
1 mg/ml
Molecular Weight
40 kDa
Product Form
Liquid
Formulation
Supplied in 10mM Phosphate Buffered Saline; without Sodium Azide and carrier free.
Storage
Shipped at 4°C. Upon delivery aliquot and store at -20°C. Avoid freeze / thaw cycles.
General Notes
This monoclonal antibody is also available in a different formulation with BSA and Sodium Azide - Anti-TIA1 Antibody [TIA1/1352R] (A278071).
Synonyms
Cytotoxic granule associated RNA binding protein TIA1, Nucleolysin TIA-1 isoform p40, p40-TIA-1, RNA-binding protein TIA-1, T-cell-restricted intracellular antigen-1, TIA-1
Disclaimer
This product is for research use only. It is not intended for diagnostic or therapeutic use.
Publishing research using Recombinant Anti-TIA1 Antibody [TIA1/1352R] - BSA and Azide free (A278659)? Please let us know so that we can list the citation on this page.

Alternative products to Anti-TIA1 Antibody [TIA1/1352R] - BSA and Azide free (A278659)

Proteins predicted to interact with TIA1

Predicted protein interactions based upon String database. Revelancy score correlates with probability of interaction.
99.8% Relevancy Score
98.3% Relevancy Score
97.6% Relevancy Score
97.5% Relevancy Score
96.6% Relevancy Score
93.8% Relevancy Score
93.4% Relevancy Score
92.7% Relevancy Score
90.4% Relevancy Score