Primary Antibodies
Secondary Antibodies
Proteins & Peptides
ELISA Kits
About Us
Contact Us
Sign In/Register
0
ISO 9001:2015 Certified
Live Customer Support
4.5/5 on Trustpilot
100% Quality Guarantee
Home
Primary Antibodies
TIGAR Antibodies
Anti-TIGAR Antibody (A47903)
Anti-TIGAR Antibody (A47903)
Overview
Specifications
Images
Enlarge Image
Enlarge Image
$780
Product Datasheet
Rabbit polyclonal antibody to TIGAR for ELISA, WB and IHC.
100% Guarantee
Price Match Guarantee
Product Size:
100µl
Quantity:
1
2
3
4
5
6
7
8
9
10
Add To Cart
Request a Quotation
Custom or Bulk Request
Shipping Information
Freight/Packing Charges:
$40
Dispatched from St. Louis, MO.
Lead Time: 6-9 business days.
Specifications
Name
Anti-TIGAR Antibody
Description
Rabbit polyclonal antibody to TIGAR
Applications
ELISA
,
WB
,
IHC
Reactivity
Human, Mouse, Rat
Immunogen
Raised against a 18 amino acid peptide from near the center of human TIGAR.
Host
Rabbit
Clonality
Polyclonal
Conjugate
Unconjugated
Purification
Affinity chromatography purified via peptide column
Formulation
Supplied in phosphate-buffered saline with 0.02% Sodium Azide.
Storage
Shipped at 4°C. Upon delivery aliquot and store at -20°C. Avoid freeze/thaw cycles.
Synonyms
C12orf5, Fructose-2,6-bisphosphatase TIGAR, TP53-induced glycolysis and apoptosis regulator, TP53-induced glycolysis regulatory phosphatase
Suitable Secondaries
Goat Anti-Rabbit IgG H&L Antibody (AP) (A294874)
Goat Anti-Rabbit IgG H&L Antibody (Biotin) (A294795)
Goat Anti-Rabbit IgG H&L Antibody (FITC) (A294887)
Goat Anti-Rabbit IgG H&L Antibody (HRP) (A294888)
See all Anti-Rabbit IgG Secondaries →
Disclaimer
This product is for research use only. It is not intended for diagnostic or therapeutic use.
Scientific Validation Data
Validation Data
(2)
Enlarge Image
Anti-TIGAR Antibody (A47903)
Western blot analysis of TIGAR in EL4 cell lysate with TIGAR antibody at (A) 0.5, (B) 1 and (C) 2 µg/mL.
Enlarge Image
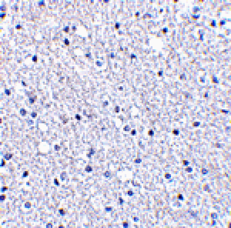
Immunohistochemistry - Anti-TIGAR Antibody (A47903)
Immunohistochemistry of TIGAR in human brain tissue with TIGAR antibody at 2.5 µg/mL.
Publishing research using Anti-TIGAR Antibody (A47903)? Please
let us know
so that we can list the citation on this page.
Alternative products to Anti-TIGAR Antibody (A47903)
(4)
A306725
Anti-TIGAR Antibody
Rabbit polyclonal antibody to TIGAR for WB and ICC/IF.
(2)
A47904
Anti-TIGAR Antibody
Rabbit polyclonal antibody to TIGAR for ELISA, WB and IHC.
(2)
A45164
Anti-C12orf5 Antibody
Rabbit polyclonal antibody to C12orf5 for IHC.
A46466
Anti-TIGAR Antibody
Rabbit polyclonal antibody to TIGAR for IHC.
(4)
A306725
Anti-TIGAR Antibody
Rabbit polyclonal antibody to TIGAR for WB and ICC/IF.
(2)
A47904
Anti-TIGAR Antibody
Rabbit polyclonal antibody to TIGAR for ELISA, WB and IHC.
(2)
A45164
Anti-C12orf5 Antibody
Rabbit polyclonal antibody to C12orf5 for IHC.
A46466
Anti-TIGAR Antibody
Rabbit polyclonal antibody to TIGAR for IHC.
Proteins predicted to interact with TIGAR
Predicted protein interactions based upon String database. Revelancy score correlates with probability of interaction.
p53 Antibodies
98.1% Relevancy Score
PFKM Antibodies
97.9% Relevancy Score
Hexokinase II Antibodies
97.5% Relevancy Score
PFKFB3 Antibodies
97.2% Relevancy Score
PFKFB2 Antibodies
96.9% Relevancy Score
PFKFB1 Antibodies
96.4% Relevancy Score
FBP2 Antibodies
95.9% Relevancy Score
PFKP Antibodies
95.8% Relevancy Score
PFKL Antibodies
95.7% Relevancy Score
Top