ISO 9001:2015 Certified
Live Customer Support
4.5/5 on Trustpilot
100% Quality Guarantee

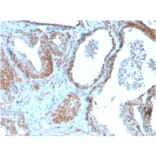
Anti-TIGIT Antibody [TIGIT/3106] - BSA and Azide free (A251611)

Mouse monoclonal [TIGIT/3106] antibody to TIGIT for ELISA and IHC-P.

Alternative Formats and ConjugatesAlternative Formats

Shipping Information

$40
Dispatched from St. Louis, MO.
Lead Time: 5-8 business days.
Name
Anti-TIGIT Antibody [TIGIT/3106] - BSA and Azide free
Description
Mouse monoclonal [TIGIT/3106] antibody to TIGIT.
Specificity
TIGIT is a checkpoint inhibitor which binds with high affinity to the poliovirus receptor (PVR), causing increased IL10 secretion, decreased IL12B secretion. TIGIT binding to PVR also causes the suppression of T cell activation by promoting the generation of mature immuno-regulatory dendritic cells. It is expressed at low levels on natural killer (NK) cells, as well as peripheral memory and regulatory CD4+ T cells. At the protein level, it is upregulated following the activation of these cells. Functionally, TIGIT is similar to CTLA4. The ligands for TIGIT include CD155 (signal abrogation) and CD226 (signal stimulation). It has been demonstrated to be upregulated on T cells in many cancers and is a immuno-oncology target for therapy.
Applications
ELISA, IHC-P
Dilutions
IHC-P: 1-2 µg/ml
Reactivity
Human
Immunogen
Recombinant fragment, around amino acids 22-141, of human TIGIT protein. The exact sequence is proprietary.
Host
Mouse
Clonality
Monoclonal
Clone ID
TIGIT/3106
Isotype
IgG2b
Light Chains
kappa
Conjugate

Unconjugated

Purification
Protein A/G chromatography.
Concentration
1 mg/ml
Molecular Weight
26 kDa
Product Form
Liquid
Formulation
Supplied in 10mM Phosphate Buffered Saline; without Sodium Azide and carrier free.
Storage
Shipped at 4°C. Upon delivery aliquot and store at -20°C. Avoid freeze / thaw cycles.
General Notes
This monoclonal antibody is also available in a different formulation with BSA and Sodium Azide - Anti-TIGIT Antibody [TIGIT/3106] (A248429).
Synonyms
T-cell immunoreceptor with Ig and ITIM domains, V-set and immunoglobulin domain-containing protein 9, V-set and transmembrane domain-containing protein 3, VSIG9, VSTM3
Disclaimer
This product is for research use only. It is not intended for diagnostic or therapeutic use.
Publishing research using Anti-TIGIT Antibody [TIGIT/3106] - BSA and Azide free (A251611)? Please let us know so that we can list the citation on this page.

Alternative products to Anti-TIGIT Antibody [TIGIT/3106] - BSA and Azide free (A251611)

Proteins predicted to interact with TIGIT

Predicted protein interactions based upon String database. Revelancy score correlates with probability of interaction.
99.9% Relevancy Score
99.9% Relevancy Score
99.9% Relevancy Score
98.6% Relevancy Score
97.8% Relevancy Score
97.5% Relevancy Score
97.3% Relevancy Score
97.3% Relevancy Score
95.5% Relevancy Score