ISO 9001:2015 Certified
Live Customer Support
4.5/5 on Trustpilot
100% Quality Guarantee

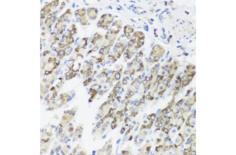
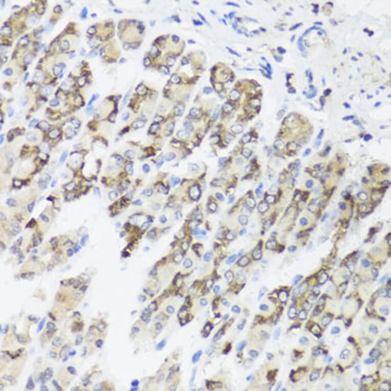
Anti-TIMM10B Antibody (A12264)

Rabbit polyclonal antibody to TIMM10B for WB and IHC.

Shipping Information

$40
Dispatched from St. Louis, MO.
Lead Time: 7-10 business days.
Name
Anti-TIMM10B Antibody
Description
Rabbit polyclonal antibody to TIMM10B.
Applications
WB, IHC
Dilutions
WB: 1:500-1:2,000, IHC: 1:50-1:100
Reactivity
Human, Mouse
Immunogen
Recombinant fusion protein containing a sequence corresponding to amino acids 1-103 of human TIMM10B (NP_036324.1).
Sequence
MERQQQQQQQLRNLRDFLLVYNRMTELCFQRCVPSLHHRALDAEEEACLHSCAGKLIHSNHRLMAAYVQLMPALVQRRIADYEAASAVPGVAAEQPGVSPSGS
Host
Rabbit
Clonality
Polyclonal
Isotype
IgG
Conjugate

Unconjugated

Purification
Affinity purification.
Concentration
Lot Specific
Molecular Weight
24 kDa
Product Form
Liquid
Formulation
Supplied in Phosphate Buffered Saline, pH 7.3, with 50% Glycerol and 0.02% Sodium Azide.
Storage
Shipped at 4°C. Upon delivery aliquot and store at -20°C. Avoid freeze/thaw cycles.
Synonyms
Fracture callus protein 1, Mitochondrial import inner membrane translocase subunit Tim10 B, Mitochondrial import inner membrane translocase subunit Tim9 B, Tim10b, TIM9B, TIMM9B
Disclaimer
This product is for research use only. It is not intended for diagnostic or therapeutic use.
Publishing research using Anti-TIMM10B Antibody (A12264)? Please let us know so that we can list the citation on this page.

Proteins predicted to interact with FXC1

Predicted protein interactions based upon String database. Revelancy score correlates with probability of interaction.
99.9% Relevancy Score
99.9% Relevancy Score
99.8% Relevancy Score
99.7% Relevancy Score
92% Relevancy Score
86.1% Relevancy Score
82.9% Relevancy Score
81.1% Relevancy Score
79.4% Relevancy Score