ISO 9001:2015 Certified
Live Customer Support
4.5/5 on Trustpilot
100% Quality Guarantee

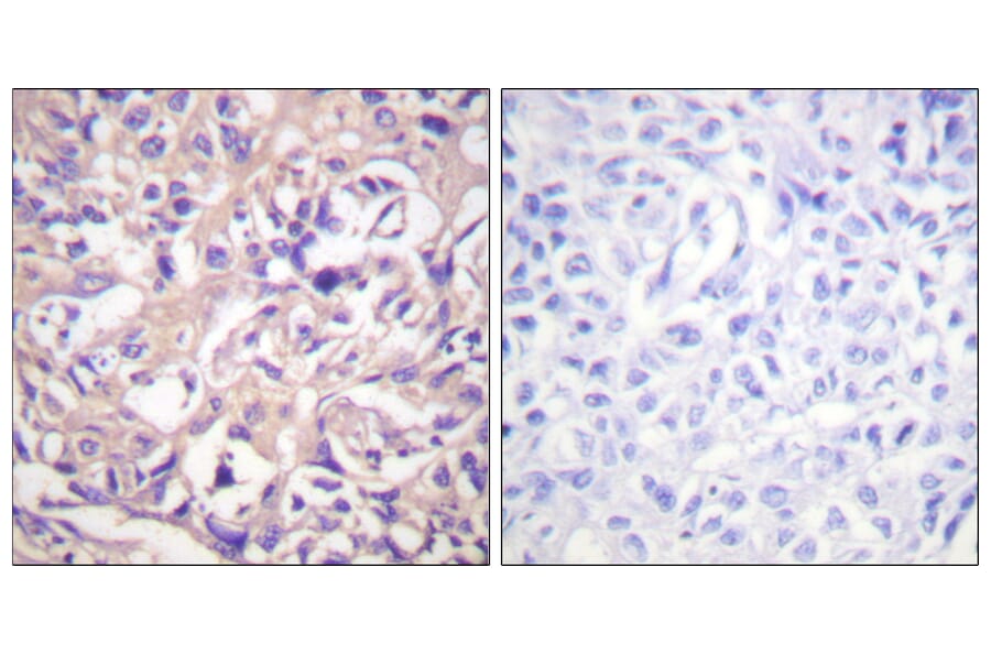
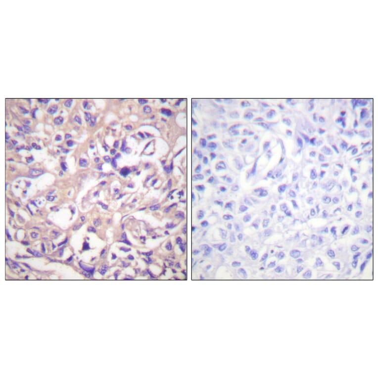
Anti-TK Antibody (A95644)

Rabbit polyclonal antibody to TK for WB, IHC, IF and ELISA.

Shipping Information

$40
Dispatched from St. Louis, MO.
Lead Time: 6-8 business days.
Name
Anti-TK Antibody
Description
Rabbit polyclonal antibody to TK.
Applications
WB, IHC, IF, ELISA
Dilutions
WB: 1:500~1:1000, IHC: 1:50~1:100, IF: 1:100~1:500, ELISA: 1:1000
Reactivity
Human, Mouse, Rat
Cross Reactivity
No reported cross-reactivity.
Immunogen
Synthetic peptide derived from human TK (amino acids 1-50).
Host
Rabbit
Clonality
Polyclonal
Isotype
IgG
Conjugate

Unconjugated

Purification
Purified from rabbit serum by antigen affinity chromatography using the immunizing peptide.
Molecular Weight
25kDa
Product Form
Liquid
Formulation
Supplied in Phosphate Buffered Saline (without Mg2+ and Ca2+), pH 7.4, with 150mM NaCl, 0.02% Sodium Azide, and 50% Glycerol.
Storage
Shipped at 4°C. Upon delivery aliquot and store at -20°C. Avoid freeze / thaw cycles.
Synonyms
Thymidine kinase, cytosolic, TK1
Disclaimer
This product is for research use only. It is not intended for diagnostic or therapeutic use.
Publishing research using Anti-TK Antibody (A95644)? Please let us know so that we can list the citation on this page.

Alternative products to Anti-TK Antibody (A95644)

Proteins predicted to interact with Thymidine Kinase 1

Predicted protein interactions based upon String database. Revelancy score correlates with probability of interaction.
99.1% Relevancy Score
97.1% Relevancy Score
93.1% Relevancy Score
92.1% Relevancy Score
92% Relevancy Score
91.4% Relevancy Score
89.8% Relevancy Score
88.5% Relevancy Score