Primary Antibodies
Secondary Antibodies
Proteins & Peptides
ELISA Kits
About Us
Contact Us
Sign In/Register
0
ISO 9001:2015 Certified
Live Customer Support
4.5/5 on Trustpilot
100% Quality Guarantee
Home
Primary Antibodies
TLR1 Antibodies
Anti-TLR1 Antibody (A48336)
Anti-TLR1 Antibody (A48336)
Overview
Specifications
Images
Enlarge Image
Enlarge Image
$780
Product Datasheet
Rabbit polyclonal antibody to TLR1 for ELISA, WB and IHC.
100% Guarantee
Price Match Guarantee
Product Size:
100µl
Quantity:
1
2
3
4
5
6
7
8
9
10
Add To Cart
Request a Quotation
Custom or Bulk Request
Shipping Information
Freight/Packing Charges:
$40
Dispatched from St. Louis, MO.
Lead Time: 6-9 business days.
Specifications
Name
Anti-TLR1 Antibody
Description
Rabbit polyclonal antibody to TLR1
Applications
ELISA
,
WB
,
IHC
Reactivity
Human, Mouse
Immunogen
Raised against a peptide corresponding to 16 amino acids near the amino terminus of human TLR1.
Host
Rabbit
Clonality
Polyclonal
Conjugate
Unconjugated
Purification
Ion exchange chromatography purified
Formulation
Supplied in phosphate-buffered saline with 0.02% Sodium Azide.
Storage
Shipped at 4°C. Upon delivery aliquot and store at -20°C. Avoid freeze/thaw cycles.
Synonyms
CD281, KIAA0012, TIL, Toll-like receptor 1, Toll/interleukin-1 receptor-like protein
Suitable Secondaries
Goat Anti-Rabbit IgG H&L Antibody (AP) (A294874)
Goat Anti-Rabbit IgG H&L Antibody (Biotin) (A294795)
Goat Anti-Rabbit IgG H&L Antibody (FITC) (A294887)
Goat Anti-Rabbit IgG H&L Antibody (HRP) (A294888)
See all Anti-Rabbit IgG Secondaries →
Disclaimer
This product is for research use only. It is not intended for diagnostic or therapeutic use.
Scientific Validation Data
Validation Data
(2)
Enlarge Image
Anti-TLR1 Antibody (A48336)
Western blot analysis of TLR1 in mouse spleen lysate with TLR1 antibody at (A) 1, (B) 2, and (C) 4 µg/mL.
Enlarge Image
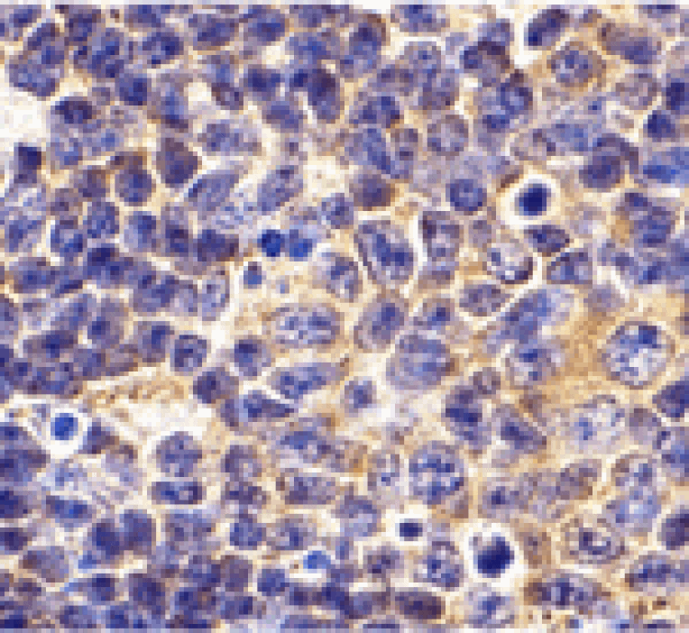
Immunohistochemistry - Anti-TLR1 Antibody (A48336)
Immunohistochemistry of TLR1 in mouse spleen tissue with TLR1 antibody at 10 µg/mL.
Publishing research using Anti-TLR1 Antibody (A48336)? Please
let us know
so that we can list the citation on this page.
Alternative products to Anti-TLR1 Antibody (A48336)
(3)
A35446
Anti-TLR1 Antibody
Rabbit polyclonal antibody to TLR1 for WB, IHC and ICC/IF.
A55138
Anti-TLR1 Antibody
Rabbit polyclonal antibody to TLR1 for ELISA, IHC, IP and WB.
A55139
Anti-TLR1 Antibody
Rabbit polyclonal antibody to TLR1 for ELISA, IHC, IP and WB.
(2)
A48892
Anti-TLR1 Antibody
Rabbit polyclonal antibody to TLR1 for ELISA, WB and ICC/IF.
(3)
A35446
Anti-TLR1 Antibody
Rabbit polyclonal antibody to TLR1 for WB, IHC and ICC/IF.
A55138
Anti-TLR1 Antibody
Rabbit polyclonal antibody to TLR1 for ELISA, IHC, IP and WB.
A55139
Anti-TLR1 Antibody
Rabbit polyclonal antibody to TLR1 for ELISA, IHC, IP and WB.
(2)
A48892
Anti-TLR1 Antibody
Rabbit polyclonal antibody to TLR1 for ELISA, WB and ICC/IF.
Proteins predicted to interact with TLR1
Predicted protein interactions based upon String database. Revelancy score correlates with probability of interaction.
TLR2 Antibodies
99.9% Relevancy Score
TLR6 Antibodies
99.9% Relevancy Score
MYD88 Antibodies
99.8% Relevancy Score
TLR4 Antibodies
99.6% Relevancy Score
TIRAP Antibodies
99.2% Relevancy Score
TLR10 Antibodies
98.9% Relevancy Score
CD36 Antibodies
96.8% Relevancy Score
MD2 Antibodies
95.7% Relevancy Score
SR-BI Antibodies
94.1% Relevancy Score
Top