Primary Antibodies
Secondary Antibodies
Proteins & Peptides
ELISA Kits
About Us
Contact Us
Sign In/Register
0
ISO 9001:2015 Certified
Live Customer Support
4.5/5 on Trustpilot
100% Quality Guarantee
Home
Primary Antibodies
TMED3 Antibodies
Anti-TMED3 Antibody (A46329)
Anti-TMED3 Antibody (A46329)
Overview
Specifications
Images
Enlarge Image
$430
Product Datasheet
Rabbit polyclonal antibody to TMED3 for IHC.
100% Guarantee
Price Match Guarantee
Product Size:
100µl
Quantity:
1
2
3
4
5
6
7
8
9
10
Add To Cart
Request a Quotation
Custom or Bulk Request
Shipping Information
Freight/Packing Charges:
$40
Dispatched from St. Louis, MO.
Lead Time: 6-9 business days.
Specifications
Name
Anti-TMED3 Antibody
Description
Rabbit polyclonal antibody to TMED3
Specificity
The antibody detects endogenous levels of total TMED3 protein.
Applications
IHC
Reactivity
Human
Immunogen
Fusion protein corresponding to residues near the C terminal of human transmembrane emp24 protein transport domain containing 3
Host
Rabbit
Clonality
Polyclonal
Conjugate
Unconjugated
Purification
Antigen affinity purification.
Concentration
1.6 mg/mL
Formulation
Rabbit IgG in pH7.4 PBS, 0.05% NaN3, 40% Glycerol.
Storage
Shipped at 4°C. Upon delivery aliquot and store at -20°C. Avoid freeze/thaw cycles.
Synonyms
C15orf22, Membrane protein p24B, p24 family protein gamma-4, p24gamma4, p26, Transmembrane emp24 domain-containing protein 3
Suitable Secondaries
Goat Anti-Rabbit IgG H&L Antibody (AP) (A294874)
Goat Anti-Rabbit IgG H&L Antibody (Biotin) (A294795)
Goat Anti-Rabbit IgG H&L Antibody (FITC) (A294887)
Goat Anti-Rabbit IgG H&L Antibody (HRP) (A294888)
See all Anti-Rabbit IgG Secondaries →
Disclaimer
This product is for research use only. It is not intended for diagnostic or therapeutic use.
Scientific Validation Data
Validation Data
(1)
Enlarge Image
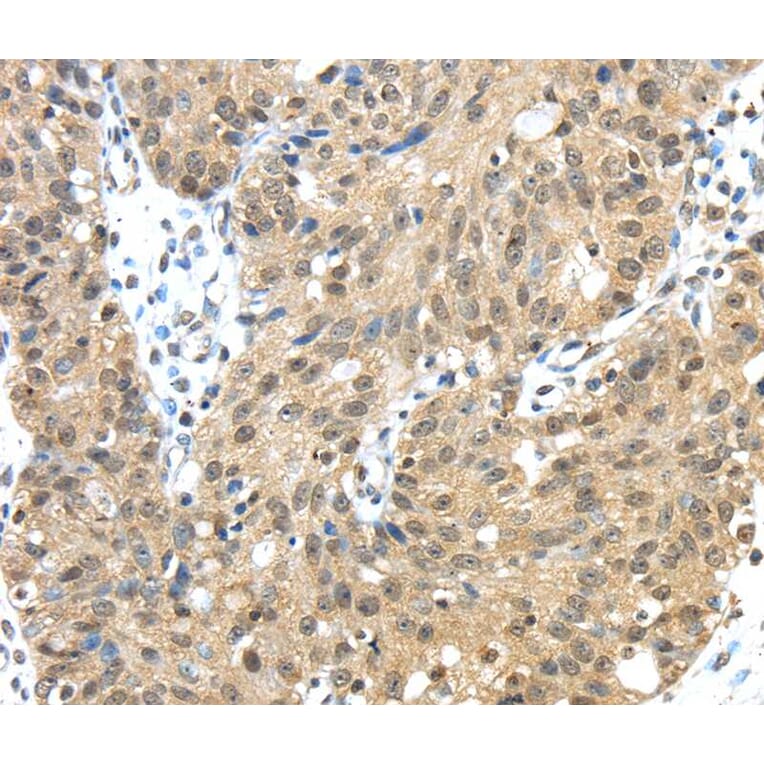
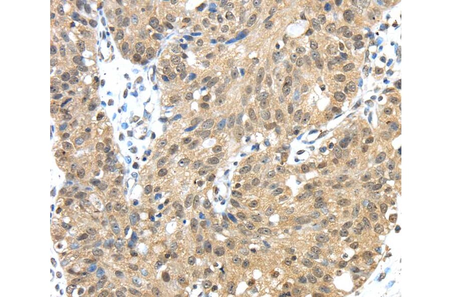
Immunohistochemistry - Anti-TMED3 Antibody (A46329)
Immunohistochemical analysis of paraffin-embedded Human breast cancer tissue using #40155 at dilution 1/30.
Publishing research using Anti-TMED3 Antibody (A46329)? Please
let us know
so that we can list the citation on this page.
Alternative products to Anti-TMED3 Antibody (A46329)
(5)
A308116
Anti-p26 Antibody
Rabbit polyclonal antibody to p26 for WB, IHC and ICC/IF.
(5)
A308116
Anti-p26 Antibody
Rabbit polyclonal antibody to p26 for WB, IHC and ICC/IF.
Proteins predicted to interact with TMED3
Predicted protein interactions based upon String database. Revelancy score correlates with probability of interaction.
TMP21 Antibodies
98% Relevancy Score
TMED2 Antibodies
96.6% Relevancy Score
TMED4 Antibodies
90% Relevancy Score
TMED9 Antibodies
89.6% Relevancy Score
beta COP Antibodies
75.7% Relevancy Score
ARCN1 Antibodies
75.4% Relevancy Score
COPE Antibodies
75.2% Relevancy Score
COPZ1 Antibodies
74.9% Relevancy Score
beta COP I Antibodies
74.5% Relevancy Score
Top