Primary Antibodies
Secondary Antibodies
Proteins & Peptides
ELISA Kits
About Us
Contact Us
Sign In/Register
0
ISO 9001:2015 Certified
Live Customer Support
4.5/5 on Trustpilot
100% Quality Guarantee
Home
Primary Antibodies
TMEM161A Antibodies
Anti-TMEM161A Antibody (A45023)
Anti-TMEM161A Antibody (A45023)
Overview
Specifications
Images
Enlarge Image
$430
Product Datasheet
Rabbit polyclonal antibody to TMEM161A for IHC.
100% Guarantee
Price Match Guarantee
Product Size:
100µl
Quantity:
1
2
3
4
5
6
7
8
9
10
Add To Cart
Request a Quotation
Custom or Bulk Request
Shipping Information
Freight/Packing Charges:
$40
Dispatched from St. Louis, MO.
Lead Time: 6-9 business days.
Specifications
Name
Anti-TMEM161A Antibody
Description
Rabbit polyclonal antibody to TMEM161A
Specificity
The antibody detects endogenous levels of total TMEM161A protein.
Applications
IHC
Reactivity
Human
Immunogen
Fusion protein corresponding to residues near the N terminal of human transmembrane protein 161A
Host
Rabbit
Clonality
Polyclonal
Conjugate
Unconjugated
Purification
Antigen affinity purification.
Concentration
1.8 mg/mL
Formulation
Rabbit IgG in pH7.4 PBS, 0.05% NaN3, 40% Glycerol.
Storage
Shipped at 4°C. Upon delivery aliquot and store at -20°C. Avoid freeze/thaw cycles.
Synonyms
Adaptive response to oxidative stress protein 29, AROS-29, Transmembrane protein 161A
Suitable Secondaries
Goat Anti-Rabbit IgG H&L Antibody (AP) (A294874)
Goat Anti-Rabbit IgG H&L Antibody (Biotin) (A294795)
Goat Anti-Rabbit IgG H&L Antibody (FITC) (A294887)
Goat Anti-Rabbit IgG H&L Antibody (HRP) (A294888)
See all Anti-Rabbit IgG Secondaries →
Disclaimer
This product is for research use only. It is not intended for diagnostic or therapeutic use.
Scientific Validation Data
Validation Data
(1)
Enlarge Image
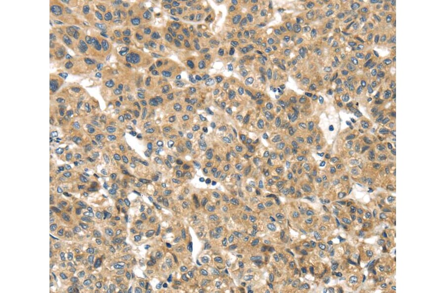
Immunohistochemistry - Anti-TMEM161A Antibody (A45023)
Immunohistochemical analysis of paraffin-embedded Human liver cancer tissue using #40157 at dilution 1/30.
Publishing research using Anti-TMEM161A Antibody (A45023)? Please
let us know
so that we can list the citation on this page.
Proteins predicted to interact with TMEM161A
Predicted protein interactions based upon String database. Revelancy score correlates with probability of interaction.
ARMC6 Antibodies
56.3% Relevancy Score
TMEM38A Antibodies
50.9% Relevancy Score
C11orf1 Antibodies
50.6% Relevancy Score
CASKIN2 Antibodies
49.4% Relevancy Score
RSAD1 Antibodies
47.5% Relevancy Score
JMJD4 Antibodies
44.6% Relevancy Score
DNA Polymerase delta, Catalytic Subunit Antibodies
43.8% Relevancy Score
TMEM214 Antibodies
42.9% Relevancy Score
TRMT2A Antibodies
42.6% Relevancy Score
Top