ISO 9001:2015 Certified
Live Customer Support
4.5/5 on Trustpilot
100% Quality Guarantee

Anti-TMEM8C Antibody (A306150)

This product is discontinued

Anti-TMEM8C Antibody (A306150) has been discontinued and is no longer available.

View all available products.

Name
Anti-TMEM8C Antibody
Description
Rabbit polyclonal antibody to TMEM8C.
Applications
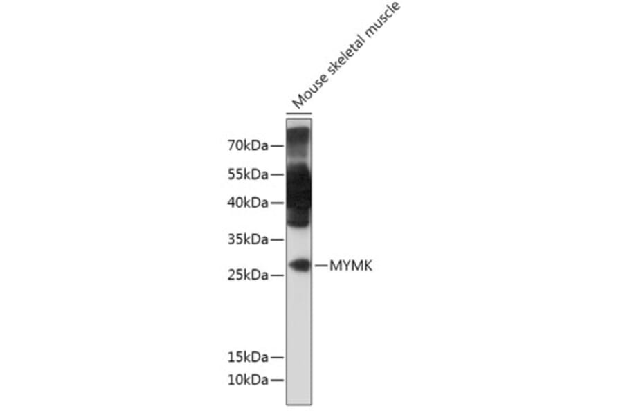
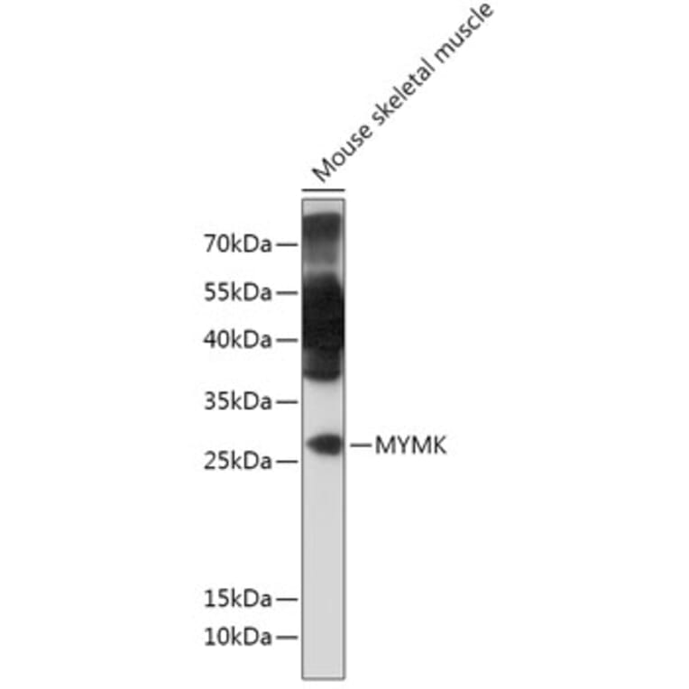
WB
Dilutions
WB: 1:500-1:2,000
Reactivity
Mouse, Rat
Immunogen
A synthetic peptide corresponding to a sequence within amino acids 100-200 of human MYMK (NP_001073952.1).
Sequence
GVLTIAVRIYHDRWGYGVYSGPIGTAILIIAAKWLQKMKEKKGLYPDKSVYTQQIGPGLCFGALALMLRFFFEDWDYTYVHSFYHCALAMSFVLLLPKVNK
Host
Rabbit
Clonality
Polyclonal
Isotype
IgG
Conjugate

Unconjugated

Purification
Affinity purification.
Molecular Weight
27 kDa
Product Form
Liquid
Formulation
Supplied in Phosphate Buffered Saline, pH 7.3, with 50% Glycerol and 0.01% Thiomersal.
Storage
Shipped at 4°C. Upon delivery aliquot and store at -20°C. Avoid freeze / thaw cycles.
Disclaimer
This product is for research use only. It is not intended for diagnostic or therapeutic use.