Primary Antibodies
Secondary Antibodies
Proteins & Peptides
ELISA Kits
About Us
Contact Us
Sign In/Register
0
ISO 9001:2015 Certified
Live Customer Support
4.5/5 on Trustpilot
100% Quality Guarantee
Home
Primary Antibodies
TMP21 Antibodies
Anti-TMP21 Antibody (A47899)
Anti-TMP21 Antibody (A47899)
Overview
Specifications
Images
Enlarge Image
Enlarge Image
$780
Product Datasheet
Rabbit polyclonal antibody to TMP21 for ELISA, WB and IHC.
100% Guarantee
Price Match Guarantee
Product Size:
100µl
Quantity:
1
2
3
4
5
6
7
8
9
10
Add To Cart
Request a Quotation
Custom or Bulk Request
Shipping Information
Freight/Packing Charges:
$40
Dispatched from St. Louis, MO.
Lead Time: 6-9 business days.
Specifications
Name
Anti-TMP21 Antibody
Description
Rabbit polyclonal antibody to TMP21
Applications
ELISA
,
WB
,
IHC
Reactivity
Human, Mouse, Rat
Immunogen
Raised against a 18 amino acid peptide from near the center of human TMP21.
Host
Rabbit
Clonality
Polyclonal
Conjugate
Unconjugated
Purification
Affinity chromatography purified via peptide column
Formulation
Supplied in phosphate-buffered saline with 0.02% Sodium Azide.
Storage
Shipped at 4°C. Upon delivery aliquot and store at -20°C. Avoid freeze/thaw cycles.
Synonyms
21 kDa transmembrane-trafficking protein, Protein TMED10, S31I125, S31III125, TMED10, Tmp-21-I, Transmembrane emp24 domain-containing protein 10, Transmembrane protein Tmp21
Suitable Secondaries
Goat Anti-Rabbit IgG H&L Antibody (AP) (A294874)
Goat Anti-Rabbit IgG H&L Antibody (Biotin) (A294795)
Goat Anti-Rabbit IgG H&L Antibody (FITC) (A294887)
Goat Anti-Rabbit IgG H&L Antibody (HRP) (A294888)
See all Anti-Rabbit IgG Secondaries →
Disclaimer
This product is for research use only. It is not intended for diagnostic or therapeutic use.
Scientific Validation Data
Validation Data
(2)
Enlarge Image
Anti-TMP21 Antibody (A47899)
Western blot analysis of TMP21 in mouse brain tissue lysate with TMP21 antibody at (A) 0.5, (B) 1 and (C) 2 µg/mL.
Enlarge Image
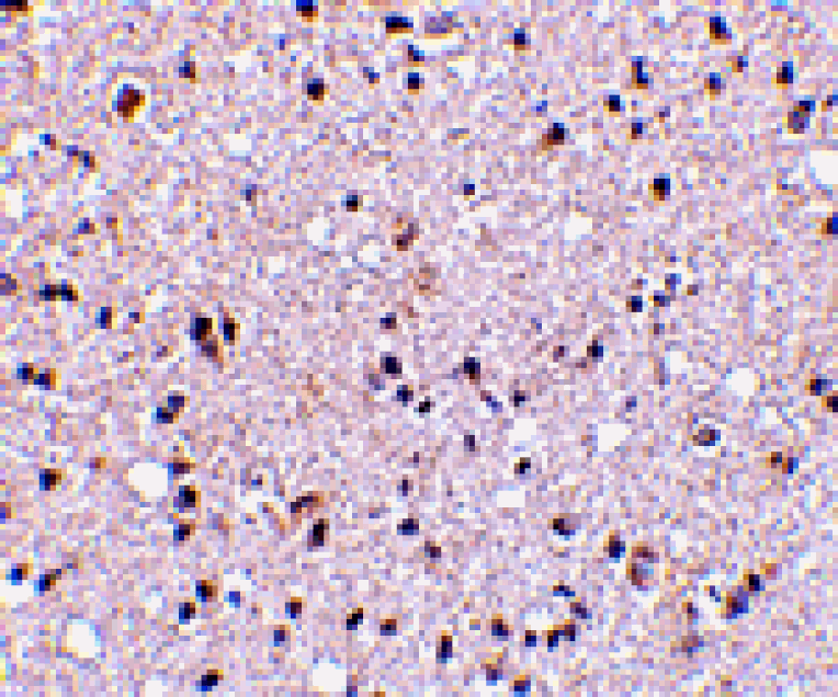
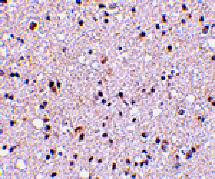
Immunohistochemistry - Anti-TMP21 Antibody (A47899)
Immunohistochemistry of TMP21 in human brain tissue with TMP21 antibody at 5 µg/mL.
Publishing research using Anti-TMP21 Antibody (A47899)? Please
let us know
so that we can list the citation on this page.
Alternative products to Anti-TMP21 Antibody (A47899)
(2)
A47898
Anti-TMP21 Antibody
Rabbit polyclonal antibody to TMP21 for ELISA, WB and IHC.
A92862
Anti-TMP21 Antibody
Rabbit polyclonal antibody to TMP21 for WB, IHC and ICC/IF.
A42528
Anti-TMED10 Antibody
Rabbit polyclonal antibody to TMED10 for WB, ICC/IF and IHC.
A31592
Anti-TMED10 Antibody
Rabbit polyclonal antibody to TMED10 for WB and IHC.
(2)
A285969
Anti-TMP21 Antibody
Goat polyclonal antibody to TMP21 for ELISA, IF and Flow Cytometry.
(2)
A47898
Anti-TMP21 Antibody
Rabbit polyclonal antibody to TMP21 for ELISA, WB and IHC.
A92862
Anti-TMP21 Antibody
Rabbit polyclonal antibody to TMP21 for WB, IHC and ICC/IF.
A42528
Anti-TMED10 Antibody
Rabbit polyclonal antibody to TMED10 for WB, ICC/IF and IHC.
A31592
Anti-TMED10 Antibody
Rabbit polyclonal antibody to TMED10 for WB and IHC.
(2)
A285969
Anti-TMP21 Antibody
Goat polyclonal antibody to TMP21 for ELISA, IF and Flow Cytometry.
See all TMP21 Antibodies
Proteins predicted to interact with TMP21
Predicted protein interactions based upon String database. Revelancy score correlates with probability of interaction.
TMED2 Antibodies
99.9% Relevancy Score
TMED9 Antibodies
99.9% Relevancy Score
Nicastrin Antibodies
99.7% Relevancy Score
APH1a Antibodies
99.6% Relevancy Score
TMED4 Antibodies
99.3% Relevancy Score
PEN2 Antibodies
99.2% Relevancy Score
Presenilin 1 Antibodies
98% Relevancy Score
TMED3 Antibodies
98% Relevancy Score
beta COP I Antibodies
93.2% Relevancy Score
Top