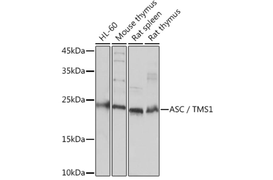
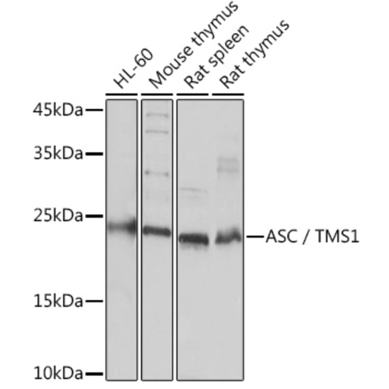
Western blot analysis of extracts of various cell lines, using Anti-TMS1/ASC Antibody (A88925) at 1:3,000 dilution. The secondary antibody was Goat Anti-Rabbit IgG H&L Antibody (HRP) at 1:10,000 dilution. Lysates/proteins were present at 25µg per lane. The blocking buffer used was 3% non-fat dry milk in TBST. Detection was with a ECL Basic Kit. Exposure time: 10s.
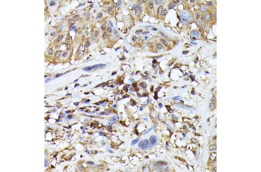
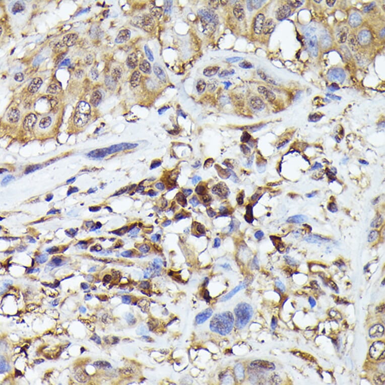
Immunohistochemistry analysis of paraffin-embedded human esophageal cancer using Anti-TMS1/ASC Antibody (A88925) at a dilution of 1:200 (40x lens). Perform high pressure antigen retrieval with 10 mM citrate buffer pH 6.0 before commencing with IHC staining protocol.
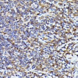
Immunohistochemistry analysis of paraffin-embedded human tonsil using Anti-TMS1/ASC Antibody (A88925) at a dilution of 1:200 (40x lens). Perform high pressure antigen retrieval with 10 mM citrate buffer pH 6.0 before commencing with IHC staining protocol.
Immunofluorescence analysis of C6 cells using Anti-TMS1/ASC Antibody (A88925) at a dilution of 1:100 (40x lens). DAPI was used to stain the cell nuclei (blue).
Immunofluorescence analysis of NIH-3T3 cells using Anti-TMS1/ASC Antibody (A88925) at a dilution of 1:100 (40x lens). DAPI was used to stain the cell nuclei (blue).
Immunofluorescence analysis of U-2 OS cells using Anti-TMS1/ASC Antibody (A88925) at a dilution of 1:100 (40x lens). DAPI was used to stain the cell nuclei (blue).
Immunoprecipitation analysis of 200µg extracts of rat lung using 3µg of Anti-TMS1/ASC Antibody (A88925). This Western blot was performed on the immunoprecipitate using Anti-TMS1/ASC Antibody (A88925) at a dilution of 1:1000.