Primary Antibodies
Secondary Antibodies
Proteins & Peptides
ELISA Kits
About Us
Contact Us
Sign In/Register
0
ISO 9001:2015 Certified
Live Customer Support
4.5/5 on Trustpilot
100% Quality Guarantee
Home
Primary Antibodies
TNFAIP3 Antibodies
Anti-TNFAIP3 Antibody [TNFAIP3/2813] (A250158)
Anti-TNFAIP3 Antibody [TNFAIP3/2813] (A250158)
Overview
Specifications
Images
Enlarge Image
Enlarge Image
$545
Product Datasheet
Mouse monoclonal [TNFAIP3/2813] antibody to TNFAIP3 for IHC-P.
100% Guarantee
Price Match Guarantee
Product Size:
100µg
Quantity:
1
2
3
4
5
6
7
8
9
10
Add To Cart
Request a Quotation
Custom or Bulk Request
Alternative Formats and Conjugates
Alternative Formats
Carrier Free and Preservative Free
Shipping Information
Freight/Packing Charges:
$40
Dispatched from St. Louis, MO.
Lead Time: 5-8 business days.
Specifications
Name
Anti-TNFAIP3 Antibody [TNFAIP3/2813]
Description
Mouse monoclonal [TNFAIP3/2813] antibody to TNFAIP3.
Applications
IHC-P
Dilutions
IHC-P: 1-2 µg/ml
Reactivity
Human
Immunogen
Recombinant fragment, around amino acids 241-356, of human TNFAIP3 protein. The exact sequence is proprietary.
Host
Mouse
Clonality
Monoclonal
Clone ID
TNFAIP3/2813
Isotype
IgG2c
Light Chains
kappa
Conjugate
Unconjugated
Purification
Protein A/G chromatography.
Concentration
200 µg/ml
Molecular Weight
90 kDa
Product Form
Liquid
Formulation
Supplied in 10mM Phosphate Buffered Saline with 0.05% BSA and 0.05% Sodium Azide.
Storage
Shipped at 4°C. Upon delivery aliquot and store at -20°C. Avoid freeze / thaw cycles.
General Notes
This monoclonal antibody is also available in a different formulation without BSA and Sodium Azide -
Anti-TNFAIP3 Antibody [TNFAIP3/2813] - BSA and Azide free (A253338)
.
Synonyms
OTU domain-containing protein 7C, OTUD7C, Putative DNA-binding protein A20, TNF alpha-induced protein 3, Tumor necrosis factor alpha-induced protein 3, Zinc finger protein A20
Suitable Secondaries
Goat Anti-Mouse IgG H&L Antibody (AP) (A301438)
Goat Anti-Mouse IgG H&L Antibody (Biotin) (A301439)
Goat Anti-Mouse IgG H&L Antibody (FITC) (A301669)
Goat Anti-Mouse IgG H&L Antibody (HRP) (A301445)
See all Anti-Mouse IgG Secondaries →
Disclaimer
This product is for research use only. It is not intended for diagnostic or therapeutic use.
Scientific Validation Data
Validation Data
(2)
Enlarge Image
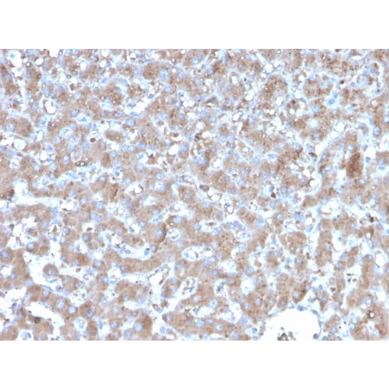
Immunohistochemistry - Anti-TNFAIP3 Antibody [TNFAIP3/2813] (A250158)
Immunohistochemical analysis of formalin-fixed, paraffin-embedded human hepatocellular carcinoma using Anti-TNFAIP3 Antibody [TNFAIP3/2813].
Enlarge Image
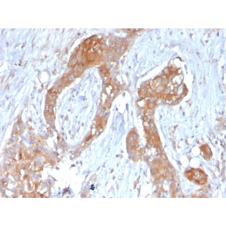
Immunohistochemistry - Anti-TNFAIP3 Antibody [TNFAIP3/2813] (A250158)
Immunohistochemical analysis of formalin-fixed, paraffin-embedded human breast carcinoma using Anti-TNFAIP3 Antibody [TNFAIP3/2813].
Publishing research using Anti-TNFAIP3 Antibody [TNFAIP3/2813] (A250158)? Please
let us know
so that we can list the citation on this page.
Alternative products to Anti-TNFAIP3 Antibody [TNFAIP3/2813] (A250158)
(4)
A97833
Anti-TNAP3 Antibody
Rabbit polyclonal antibody to TNAP3 for WB, IF and ELISA.
(3)
A30004
Anti-TNFAIP3 Antibody
Rabbit polyclonal antibody to TNFAIP3 for WB, IHC, ICC and IF.
(5)
A13892
Anti-TNFAIP3 Antibody
Rabbit polyclonal antibody to TNFAIP3 for WB and IHC.
(3)
A34860
Anti-TNFAIP3 Antibody
Rabbit polyclonal antibody to TNFAIP3 for WB, IHC and IF.
(2)
A47479
Anti-TNFAIP3 Antibody
Rabbit polyclonal antibody to TNFAIP3 for E, WB and IHC.
(2)
A47480
Anti-TNFAIP3 Antibody
Rabbit polyclonal antibody to TNFAIP3 for E, WB and IHC.
A54635
Anti-TNFAIP3 Antibody
Rabbit polyclonal antibody to TNFAIP3 for ELISA and WB.
A27863
Anti-TNFAIP3 Antibody
Rabbit polyclonal antibody to TNFAIP3 for WB and IF.
(2)
A308131
Anti-TNFAIP3 Antibody [ARC0355]
Rabbit monoclonal [ARC0355] antibody to TNFAIP3 for WB and IHC.
A91987
Anti-TNFAIP3 Antibody
Rabbit polyclonal antibody to TNFAIP3 for WB and ICC/IF.
(2)
A253338
Anti-TNFAIP3 Antibody [TNFAIP3/2813] - BSA and Azide free
Mouse monoclonal [TNFAIP3/2813] antibody to TNFAIP3 for IHC-P.
(4)
A97833
Anti-TNAP3 Antibody
Rabbit polyclonal antibody to TNAP3 for WB, IF and ELISA.
(3)
A30004
Anti-TNFAIP3 Antibody
Rabbit polyclonal antibody to TNFAIP3 for WB, IHC, ICC and IF.
(5)
A13892
Anti-TNFAIP3 Antibody
Rabbit polyclonal antibody to TNFAIP3 for WB and IHC.
(3)
A34860
Anti-TNFAIP3 Antibody
Rabbit polyclonal antibody to TNFAIP3 for WB, IHC and IF.
(2)
A47479
Anti-TNFAIP3 Antibody
Rabbit polyclonal antibody to TNFAIP3 for E, WB and IHC.
(2)
A47480
Anti-TNFAIP3 Antibody
Rabbit polyclonal antibody to TNFAIP3 for E, WB and IHC.
A54635
Anti-TNFAIP3 Antibody
Rabbit polyclonal antibody to TNFAIP3 for ELISA and WB.
A27863
Anti-TNFAIP3 Antibody
Rabbit polyclonal antibody to TNFAIP3 for WB and IF.
(2)
A308131
Anti-TNFAIP3 Antibody [ARC0355]
Rabbit monoclonal [ARC0355] antibody to TNFAIP3 for WB and IHC.
A91987
Anti-TNFAIP3 Antibody
Rabbit polyclonal antibody to TNFAIP3 for WB and ICC/IF.
(2)
A253338
Anti-TNFAIP3 Antibody [TNFAIP3/2813] - BSA and Azide free
Mouse monoclonal [TNFAIP3/2813] antibody to TNFAIP3 for IHC-P.
See all TNFAIP3 Antibodies
Proteins predicted to interact with TNFAIP3
Predicted protein interactions based upon String database. Revelancy score correlates with probability of interaction.
TNF alpha Antibodies
99.9% Relevancy Score
TNIP1 Antibodies
99.9% Relevancy Score
TRAF6 Antibodies
99.8% Relevancy Score
TNIP2 Antibodies
99.8% Relevancy Score
TNFR1 Antibodies
99.8% Relevancy Score
TAX1BP1 Antibodies
99.6% Relevancy Score
Ubiquitin Antibodies
99.5% Relevancy Score
RIP Antibodies
99.2% Relevancy Score
IKK gamma Antibodies
98% Relevancy Score
Top